AMSBIO antibody shows promise in breast cancer research
The custom monoclonal antibody reveals potential HER2+ breast cancer target
18 Sept 2023

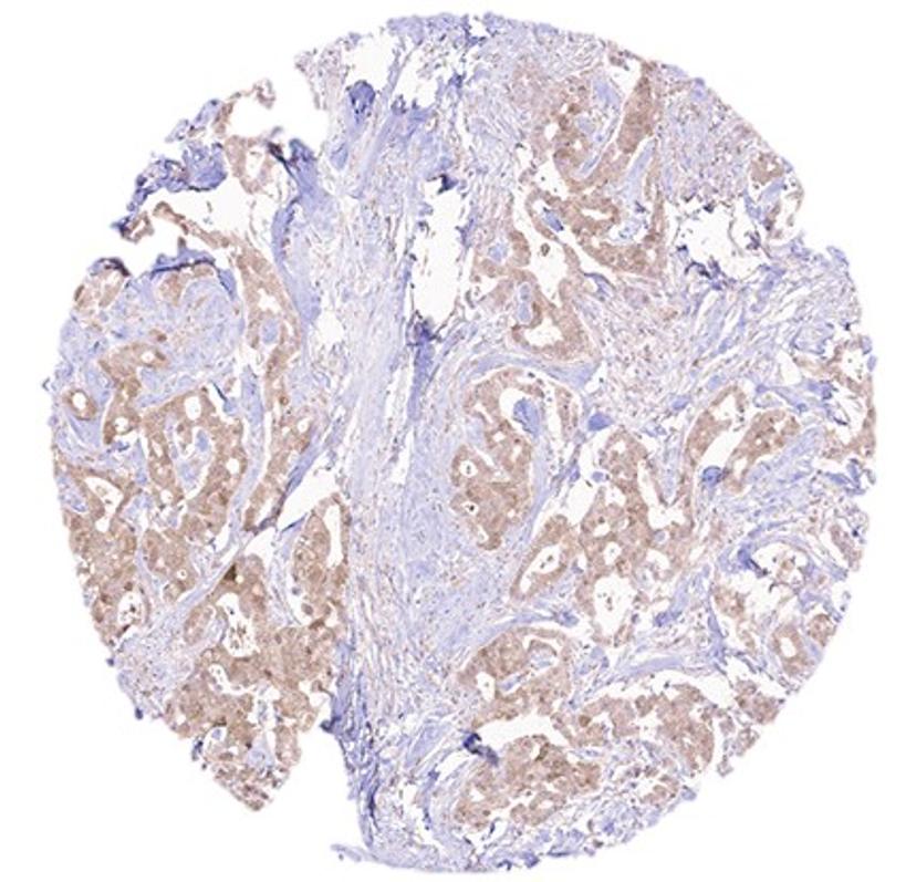
AMSBIO has supplied a custom monoclonal antibody (mAB) to researchers at the TU Dortmund in Germany to unravel the role of EDI3 in breast cancer development, its regulation by HER2 signaling, and its potential as a therapeutic target.
Characterized by the overexpression of the human epidermal growth factor Receptor 2 (HER2), HER2+ breast cancer is a highly aggressive disease subtype. While HER2-targeted treatments have improved patient outcomes for this form of cancer, acquired and inherent resistance to these treatments remains a challenge, prompting investigations into alternative therapeutic targets.
The team of researchers, led by Dr. Rosemarie Marchan, has conducted an extensive study to explore the clinical relevance of EDI3 - a glycerophosphodiesterase enzyme involved in choline metabolism, in HER2 + breast cancer, using the custom mAB against EID3 prepared and supplied by AMSBIO.
Dr Marchan commented, “We have tested many off-the-shelf antibodies over the years, with little to no success. We have also contracted companies to create a custom antibody for us, but again with limited success. Therefore, we are very thankful that a few years ago, we were able to get a great antibody against EID3 from AMSBIO. Using this precious antibody our team has been able to demonstrate that inhibiting EDI3 in ER-HER2+ breast cancer cells resistant to HER2-targeted therapy reduces viability and tumor growth”.
