How to Choose an Antibody that Works
In this interview, Dr. Hüseyin Besir, Head of PROGEN’s R&D, discusses the factors that affect antibody performance and reveals what influences the antibody’s quality
13 Jun 2018

• Tell us about your role at PROGEN.
As Head of PROGEN’s R&D department, I am responsible for the optimization of existing antibodies as well as for the development of new methods to detect, purify and quantify proteins. I utilize my strong background in protein biochemistry and molecular biology in academic research and product development on a daily basis, to create specific and selective immunochemical tools that reliably analyze proteins in various research settings.
• How has your experience been from using antibodies in the lab as a scientist to now overseeing antibody development at PROGEN?
I knew from my time as scientist in the lab that antibodies generally needed testing in your own set-up to ensure that they work, and that not every antibody against a certain antigen performs the same way in a given experiment. Now, working as a developer of antibodies, I focus both on product quality and reliability of the antibody in a specific application as well as creating an understanding amongst customers that every antibody needs proper testing and optimization in its own system.

• Give us an overview of PROGEN’s antibodies.
The majority of PROGEN’s 500+ antibodies are mouse monoclonal and polyclonal guinea pig antibodies against antigens in cell biology, microbiology or infectious diseases. Most of them have been generated by renowned research groups in the Heidelberg research cluster (e.g. University of Heidelberg or DKFZ). From the beginning, they have been tested and selected for applications like ELISA, immunohistochemistry on tissue sections, immunocytochemistry on different cell lines, or on western blot. Moreover, PROGEN offers antibodies against commonly used epitope and fusion protein tags as well as secondary antibodies for mouse, rabbit and guinea pig to facilitate the immunochemistry workflow in research labs.
• Did you say PROGEN offers ELISA tests as well?
All antibodies are available as single reagents but PROGEN also sells ELISA test. Our ELISAs for the quantitation of adeno-associated virus (AAV) titers are extremely useful for the determination of AAV vectors that become increasingly important in gene therapy research and development. We also have a small portfolio of in vitro diagnostic (IVD) ELISA tests for infectious diseases based on our antibodies against pathogens or disease-specific IgGs.
• If you were to advise our readers, what are the top considerations when choosing an antibody?
There are obviously quite a few things one should consider, but I would have to pick application, quality, value for money and peers’ experience as top considerations:
1. Application: Think about the goal of your experiment and define the properties that your antibody needs to have. There is rarely an antibody that performs perfectly in every experiment that you have in mind. You might have to decide between two different antibodies for the same target for different applications (e.g. for immunohistochemistry and western blot).
2. Quality: Make sure that the antibody is quality controlled and from a certified manufacturer. Ideally, positive/negative controls are offered to enable reliable results. Look in publications for previous use or ask the manufacturer for application-specific data.
3. Value for money: The price of an antibody is not necessarily linked to its quality or applicability for a certain method. Rather rely on data from the manufacturer or the literature that show the performance for your planned method.
4. Experience: Talk to experienced people: Colleagues, supervisors, or scientific support teams of companies can provide useful advice, especially in small but critical details.
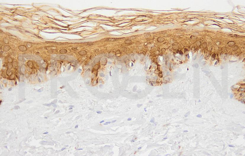
• What factors affect an antibody’s performance?
The performance of an antibody is dependent on its antigen specificity and selectivity, its cross-species reactivity, but also on application-specific limitations. An antibody that performs well in immunohistochemistry might not work in western blot and vice versa. Ideally, an antibody is tested and validated for different methods with clear proof of specificity and reliable performance in a given application. In addition to standard quality control procedures, we have therefore started a quality initiative that provides relevant performance data for different applications. PROGEN’s innovative antibody validation by epitope mapping has been highly commended by CiteAb in the 2018 award. We have also started to offer specifically tested cell lysates as positive western blot controls for some antibodies, to enable dependable results in this application.
Think about the goal of your experiment and define the properties that your antibody needs to have. There is rarely an antibody that performs perfectly in every experiment that you have in mind.
Dr. Hüseyin Besir Head of PROGEN's R&D
• How does antibody quality affect experiments?
Quality criteria, such as purity, concentration and storage stability are important factors that affect every experiment. Another essential aspect for the generation of reproducible data is the lot-to-lot consistency of polyclonal antibodies that have been generated in different animals. As a certified manufacturer of IVD (DIN ISO 13485), PROGEN’s meticulous quality management process also covers research antibodies, which ensures premium quality as well as a high lot-to-lot consistency and traceability of our products.
• How do you ensure the quality of your antibodies?
At PROGEN, we do a number of things. These include:
1. Quality control: Every new antibody lot has to pass our thorough in-house quality control; for immunohistochemistry testing, we work with highly experienced external partners.
2. Validation: Rigorous antibody validation is the standard at PROGEN. We use control sera as well as innovative techniques such as peptide mapping to validate our antibodies and to build a solid database for their application-specific performance.
3. Publications: Most of our antibodies are market-proven since 1983. The high number of peer-reviewed publications using our antibodies provide evidence for their premium quality.
4. Innovation: We are constantly exploring new methods to generate even better antibodies, e.g. using recombinant techniques.
5. Passion for Research: Our experienced, Ph.D.-level staff is in constant exchange with the market to provide advice on applications and to gather feedback that goes into product optimization and development. Because we know that experimenters need antibodies that simply work – time after time.
• What are your future projects at PROGEN?
Our R&D pipeline at PROGEN is currently heavily filled, so we are looking forward to bringing new high-quality antibody-based products to market that will benefit the scientific community.







