Molecular Pathology Laboratory Network, Inc. selects HALO AP to deliver comprehensive reference laboratory services and biopharma laboratory support
AI-powered solution to enhance diagnostic efficiency, streamline clinical trials, and improve patient outcomes across global pathology networks
8 Jan 2025
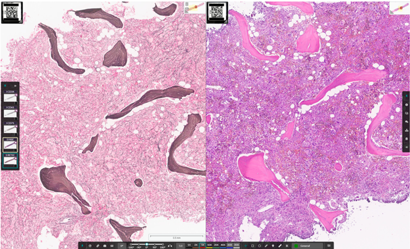
Myelofibrosis case with reticulin staining (left) and H&E (right)
Indica Labs has announced that Molecular Pathology Laboratory Network, Inc. (MPLN), a leader in laboratory medicine, hematopathology, and solid tumor oncology testing, has selected the HALO AP® platform from Indica Labs to deliver digital pathology services to both clinical reference labs and biopharma clients. HALO AP® is now in the final stages of clinical validation in MPLN’s CAP/CLIA-certified laboratory, where it is being prepared for initial deployment as a laboratory developed test (LDT) in the setting of urothelial bladder cancer and myeloid neoplasms. Additional disease indications will be validated in HALO AP® as LDTs in a stepwise manner once the initial indications are fully deployed.
HALO AP® is an AI-powered, pathologist-driven digital pathology platform that enables primary diagnosis and other routine workflows in anatomic pathology. The platform is CE-IVDR marked and has all the tools pathologists need to conduct accurate, standardized diagnostic evaluation in a future-ready environment capable of deploying off-the-shelf, third-party AI and image analysis tools. In addition, HALO AP® streamlines second opinion requests and consultations, and facilitates management of clinical trials within a unified platform.
“With the deployment of HALO AP®, our in-house pathologists and those that are part of our key opinion leader (KOL) network in the US, EU, and APAC regions are able to easily collaborate on cases and perform centralized pathology assessment without the need to ship precious patient material at risk of damage or loss in transit,” said Dr. Ravyn Duncan, Vice President, Scientific Operations and Research of MPLN. “Our goal with digital pathology is to improve diagnostic efficiency while maintaining regulatory compliance and providing the highest standard of patient care. Real-time collaboration through digital pathology enables us to deliver diagnoses faster and eliminates disparate access to leading pathology experts, ultimately benefitting patient outcomes.”
With MPLN’s dedication to advanced diagnostic testing, the addition of HALO AP® into their portfolio strengthens the commitment to patient care. HALO AP® deployment within a dedicated, secure cloud environment and integration with MPLN’s proprietary laboratory information system will streamline pathology services from accessioning through reporting. This will result in significant time savings achieved through reduced pathology processing, specimen handling, and simplified case review of thousands of slides each year.
In addition to deploying HALO AP® for primary diagnosis, MPLN will also deploy the platform to comprehensively manage clinical trials for biopharma clients. Broadening access to digital pathology is a cost-effective solution for clinical trial sites around the globe, saving hundreds of thousands of dollars each year in specimen logistics.
“Our scientific team has found the HALO AP® platform to be feature-rich and capable of fulfilling our digital pathology needs. Using HALO AP®, we aim to consolidate our second-opinion pathology reviews on a single, integrated digital pathology system that provides consistent, high-quality image management and distribution,” said Dr. Roger Hubbard, MPLN Chief Executive Officer. “We are excited to explore using the HALO AP® platform further, using HALO AI in hematopathology applications to develop complex analysis algorithms and streamline workflows.”
“We’re excited to work with MPLN on implementing digital pathology workflows,” said Eric Runde, Chief Operating Officer at Indica Labs. “The team will be well positioned for future expansion of their deployment to include AI-based image analysis, as HALO AP® can integrate any AI algorithm.”
Want the latest science news straight to your inbox? Become a SelectScience member for free today>>