Clinical webinar of the month: Scopio digital morphology
This month’s webinar explores digitization and context in full-field morphological hematology
2 Jul 2024

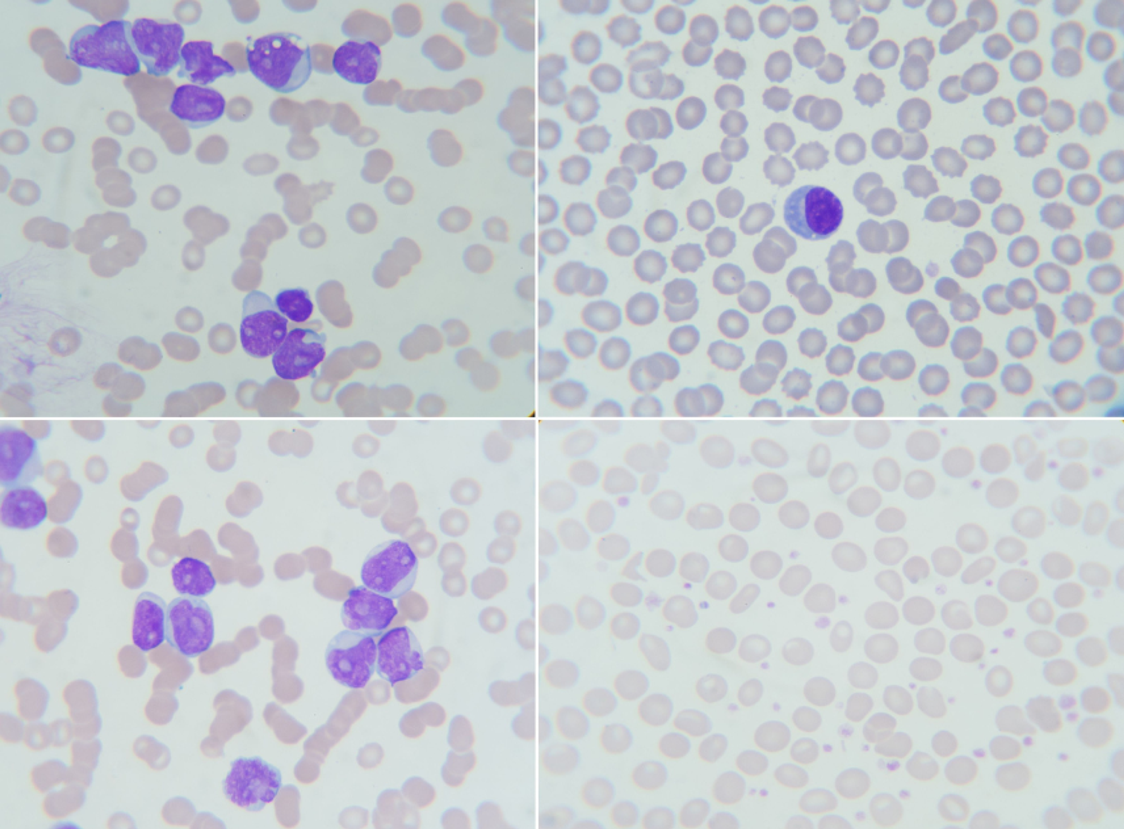
Blood film showing white cell leukemia morphology. Image @123rf
Every month, our editors select one clinical webinar to highlight to our community of clinical laboratory scientists, biomedical scientists, medical laboratory professionals and other healthcare professionals. This month, our highlighted webinar is titled:
Making science out of art: Digitization and context in full-field morphological hematology
Traditionally, hematologists have relied on their keen eye and expertise to assess blood smears under a microscope visually, a skill honed through years of practice. This ‘art form’ of morphology review is crucial for identifying abnormalities in blood cells, which can point toward various medical conditions.
However, with advancements in technology, digitized images of blood smears are becoming increasingly common. This allows for more objective analysis, data sharing, and the potential for automation using artificial intelligence. The shift towards digitization raises an important question: Does it diminish the importance of context in diagnosis?
In this webinar, Dr. Wendy Erber, Professor at UWA Medical School and Dr. Amy Meitus, chief product officer at Scopio Labs discuss the ideal approach for assessing blood smears and how this lies in combining the strengths of both art and science.

Dr. Wendy Erber, Professor at UWA Medical School, discusses cell morphology as an art.
Key learning objectives
- Understand the clinical context surrounding a blood sample; the clues and insights that make a difference in reaching an accurate diagnosis
- Gain insight into an expert review of exemplar cases that illustrate why “the company cells keep" is key to confident diagnosis
- Discover a new perspective on why contextual awareness remains the cornerstone of morphological hematology and why its integration with full-field digitization holds immense promise for the future of this vital medical field
Who should attend?
- Hematologists
- Hematopathologists
- Lab managers and directors
- Lab technicians
- Anyone with a professional interest in advancing patient care by improving efficiency and accuracy in the hematology lab setting
Certificate of attendance
All webinar participants can request a certificate of attendance, including a learning outcomes summary, for continuing education purposes.
SelectScience® clinical webinars can be added to HCPC and IBMS portfolios as evidence of CPD. For each webinar, attendees can download a certificate of attendance to add to their portfolios. Each webinar has a list of key learning objectives that can be used to help with reflective practice.