ATRX
ATRX Rabbit Polyclonal Antibody
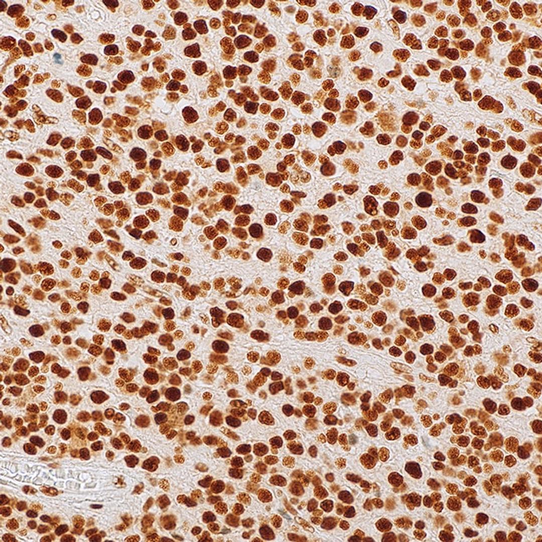
Diffuse gliomas are classified based on histological and molecular features to achieve an integrated diagnosis. Molecular diagnostic markers include IDH mutation, 1p/19q co-deletion, and TP53 mutation. ATRX is a chromatin remodeling protein and its mutation status may be used as a molecular diagnostic marker within the diffuse glioma classification algorithm. Anti-ATRX is used to identify mutant ATRX by a loss of ATRX expression in neoplastic cells when compared with internal positive controls (endothelial cells, glia, and neurons). Grade II/III astrocytoma classification includes IDH mutant, ATRX mutant, and 1p/19q retention, while grade II/III oligodendroglioma includes IDH mutant, ATRX wildtype, and 1p/19q co-deletion; p53 expression may also serve as an aid in diagnosis. ATRX mutation is frequently, but not always, mutually exclusive with 1p/19q co-deletion.



















