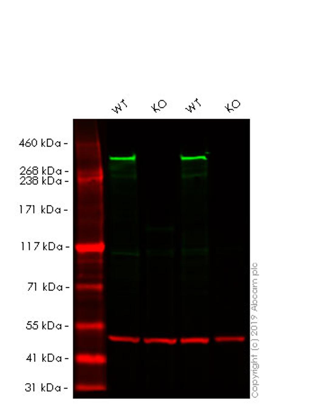
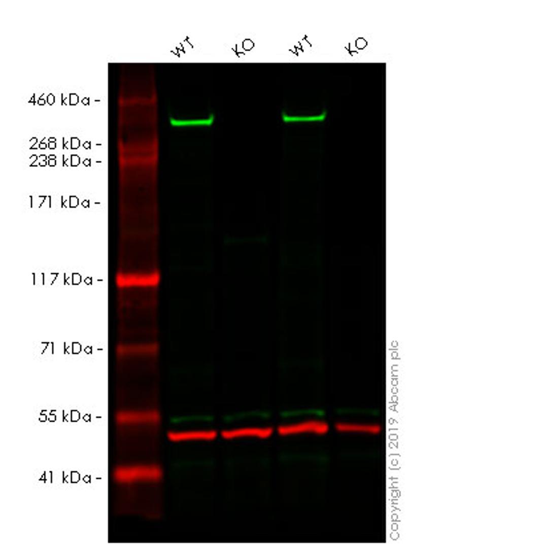
Human HTT knockout HeLa cell line
Knockout achieved by using CRISPR/Cas9, Homozygous: 1 bp deletion in exon 21

The supplier does not provide quotations for this product through SelectScience. You can search for similar products in our Product Directory.
Cell line: HeLa
Number of cells: 1x106 cells/vial, 1 mL
Cell type: Epithelial
Tissue type: Cervix
Disease: Adenocarcinoma
Organism: Human
Gender: Female
Antibiotic resistance: Puromycin 1 µg/ml
Adherent: Yes
STR analysis: Amelogenin X D5S818: 11, 12 D13S317: 12, 13.3 D7S820: 8, 12 D16S539: 9, 10 vWA: 16, 18 TH01: 7 TPOX: 8,12 CSF1PO: 9, 10
Passage number: <20
Biosafety level: 2
Viability: ~90%
Mycoplasma free: Yes
Storage: Shipped on dry ice. Store in liquid nitrogen.
Buffer constituents: 8.7% DMSO, 2% cellulose, methyl ether





















