IDH1 R132H (MRQ-67)
IDH1 R132H (MRQ-67) Rabbit Monoclonal Antibody
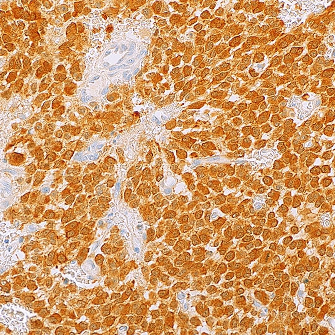
Isocitrate dehydrogenase 1 (IDH1) functions as an enzyme in the Krebs (citric acid) cycle and is biologically active in the cytoplasmic and peroxisomal compartments under normal conditions. The occurrence of heterozygous missense mutations at an arginine residue at codon 132 (R132) within the coding region for the substrate binding site of IDH1 has been described to promote oncogenesis in several malignancies.1 Of the identified mutant variants, a histidine substitution (R132H) is one of the more frequently observed point mutations in certain tumor groups of gliomas.2 Mutations involving IDH1 have been implicated as early events during gliomagenesis and IDH1 mutation status was incorporated into the 2016 WHO Classification of Tumors of the Central Nervous System as a new parameter for sub-classifying diffuse astrocytic and oligodendrogliomal tumors.3,4 Immunohistochemical identification of IDH1 R132H immunoreactivity can be used as a tool in screening tumors that may be harboring this mutation, such as low grade diffuse and anaplastic astrocytomas, oligodendrogliomas, and secondary glioblastomas.



















