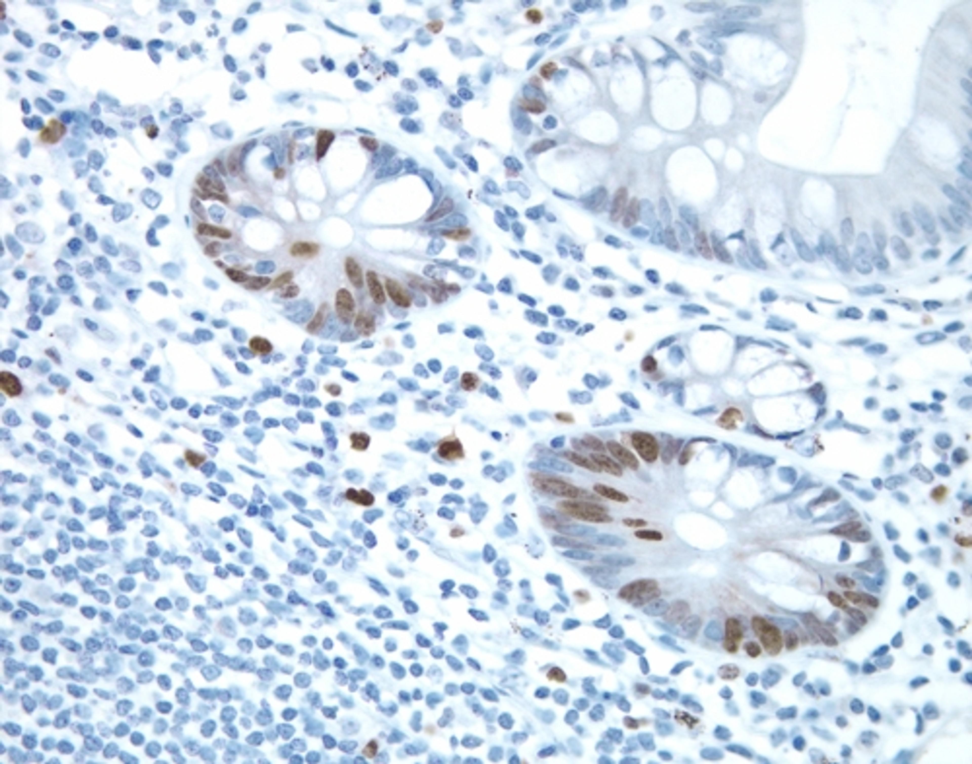
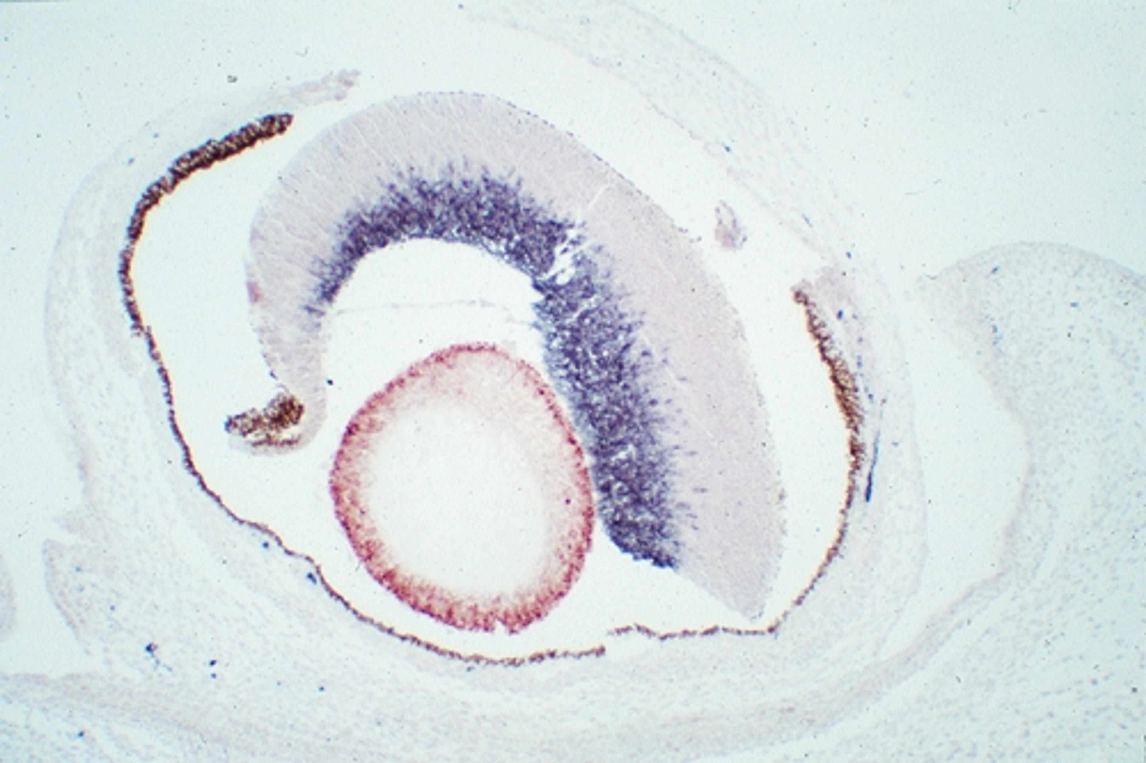
VECTASTAIN® ABC SYSTEMS
Vector Laboratories Inc.VECTASTAIN® ABC detection systems use macromolecular, preformed Avidin-Biotin Complexes (ABC complexes) to produce high sensitivity, low background, reproducible staining due to the form and number of active enzyme molecules comprising the ABC reagents.










