Search results for "molecular microbiology"
Selected Filters:
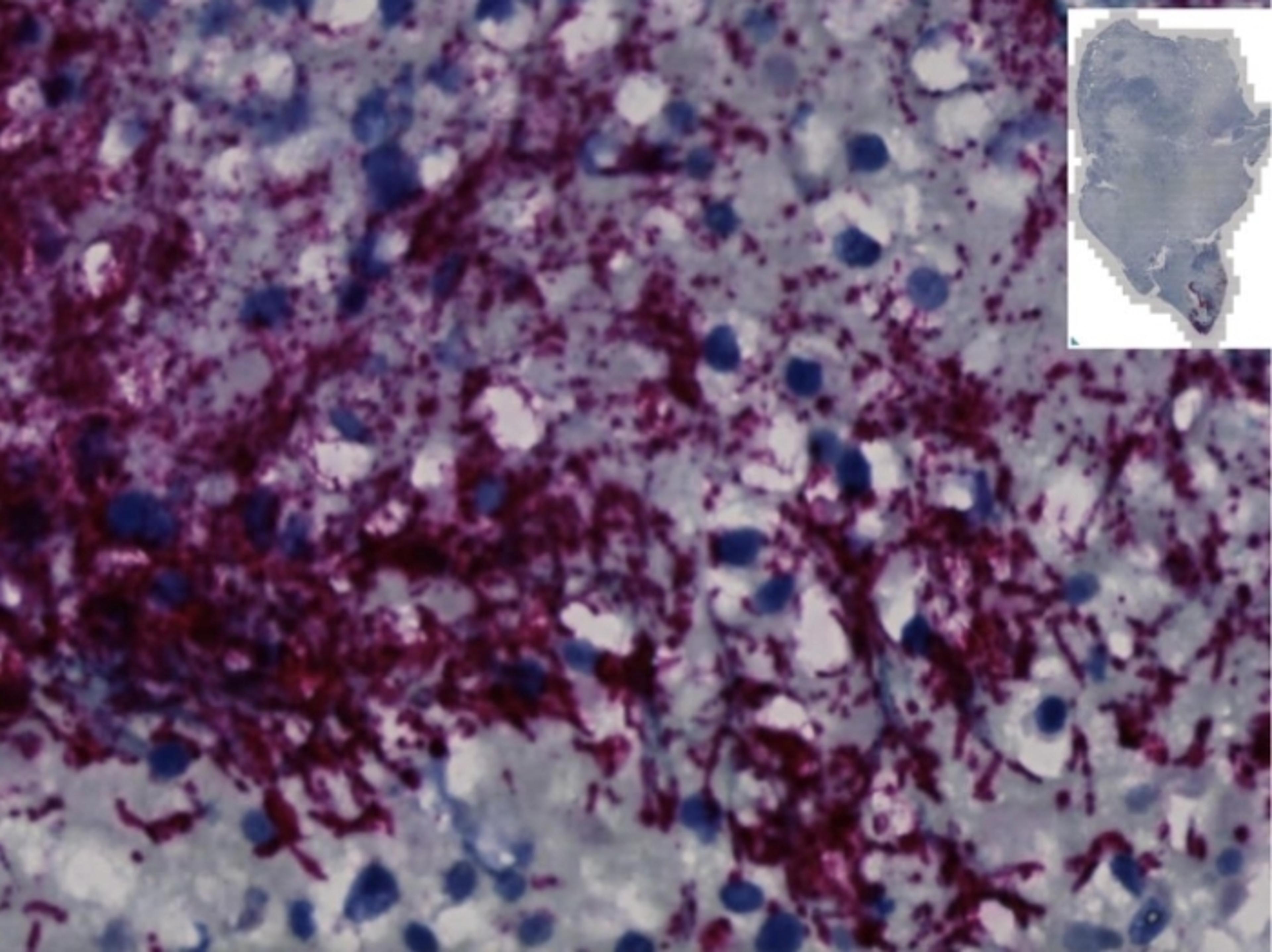
Bacteria subtype could assist in early colorectal cancer screening
A study suggests that a subtype of Fusobacterium nucleatum underlies colorectal cancer growth in humans and could be useful in screening and treatments
The ultimate guide to microplate reader solutions
Single Assay Beads from Evik Diagnostics
Full scan quantitative analysis of semivolatile organic compounds
Whole slide imaging on a microscope
Extraordinary advances in sepsis diagnosis and monitoring: Revolutionizing care
Learn about remarkable advances in sepsis diagnosis and monitoring over the past 25 years as we highlight some of the most notable breakthroughs.
Bruker Launches MALDI Biotyper Sirius at ASM Microbe Conference
Introduction of new MALDI Biotyper sirius™ system with additional negative-ion mode to support MALDI research and RUO validation studies, e.g. for colistin-resistance testing
Beckman Coulter is first diagnostics company to offer workflow automation specifically for mid-volume laboratories
Labs processing 2,000 to 5,000 tests a day can finally enjoy the benefits of Total Laboratory Automation (TLA) with a compact workflow-automation solution that fits needs
AMSBIO announces custom chimeric antigen receptor T cell (CAR-T) service
These CAR-T cell therapies are designed to be used in the treatment of hematological malignancies
Validation of anti-COVID-19 drugs using the diagnostic tools of the future
Find out how LC-MS technology is being used to quantify the experimental drug remdesivir
Ares Genetics and BGI Group collaborate for Coronavirus testing
Collaboration aims to aid in the distribution of next-generation sequencing and PCR testing kits for 2019-nCoV
Accurate ligand high-affinity determination
Johan Engström, Senior Scientist at Gyros Protein Technologies, discusses the challenges of measuring high-affinity interactions of ligands in cancer immunotherapy


















