Product & ReviewsAntibodies
5HT2A Receptor antibody
Product Details
- Cat. No.
- orb10009
- Type
- Primary Antibody
- Clonality
- Polyclonal
- Host
- Rabbit

The supplier does not provide quotations for this antibody through SelectScience. You can search for similar antibodies in our Antibody Directory.
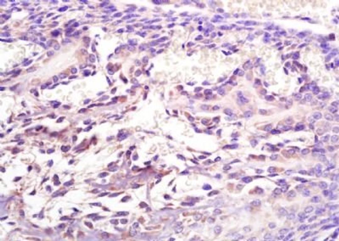
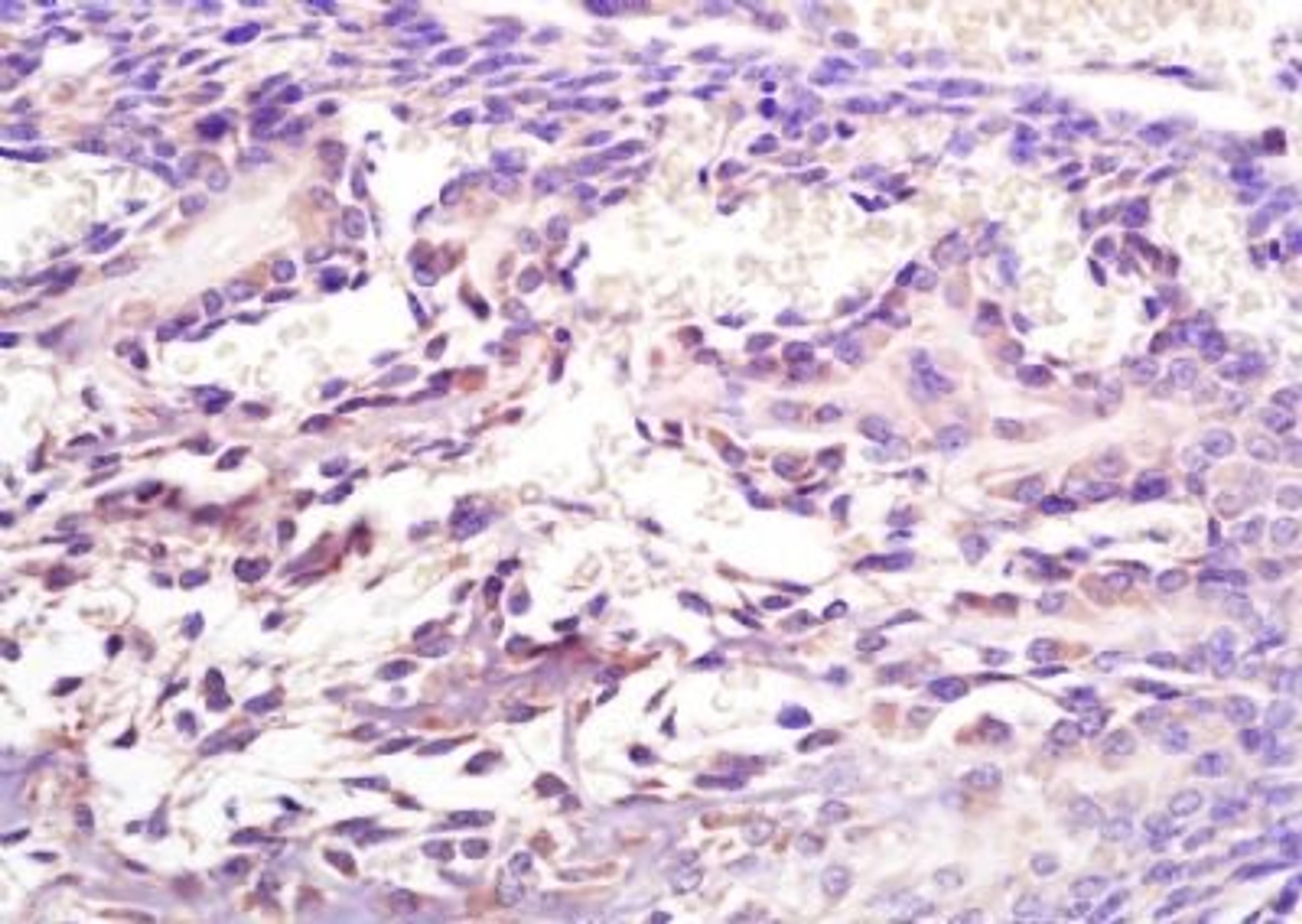
Description
Rabbit polyclonal to 5-HTR2B
Biological Information
- Clonality: Polyclonal
- Host: Rabbit
- Isotype: IgG
- Gene: 87
Handling
- Quantity: 100 µg, 200 µg
- Storage: Store at 4°C for up to two weeks. For long term storage, aliquot and store at -20°C, avoid freeze/thaw cycles.
- Buffer: 10 mM PBS, pH 7.4 with 10 mg/ml BSA, 0.03% Proclin 300 and 25% glycerol


