Product & ReviewsAntibodies
Aha1 antibody
Product Details
- Cat. No.
- orb67360
- Type
- Primary Antibody
- Clonality
- Monoclonal
- Host
- Rat

The supplier does not provide quotations for this antibody through SelectScience. You can search for similar antibodies in our Antibody Directory.
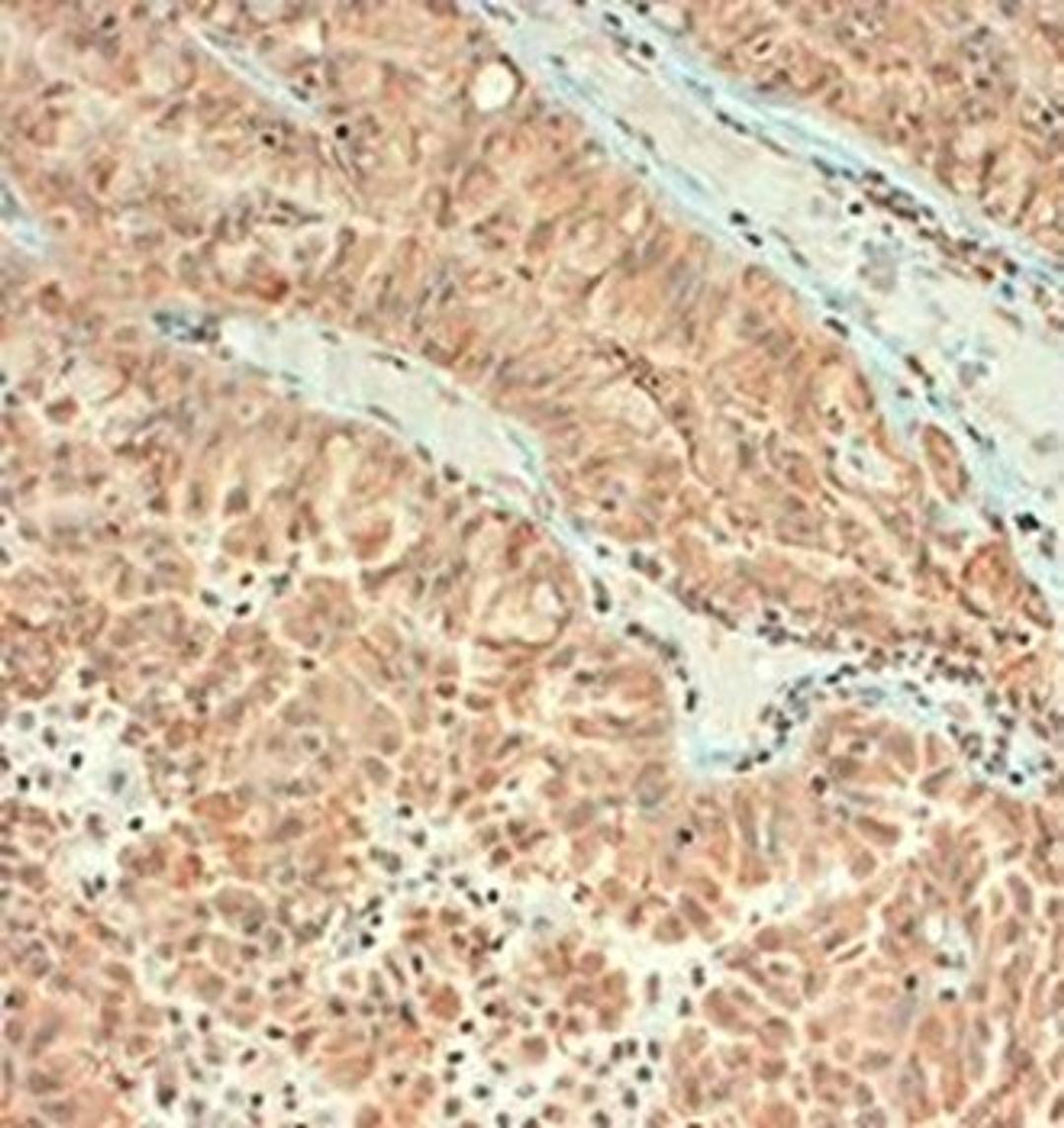
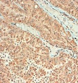
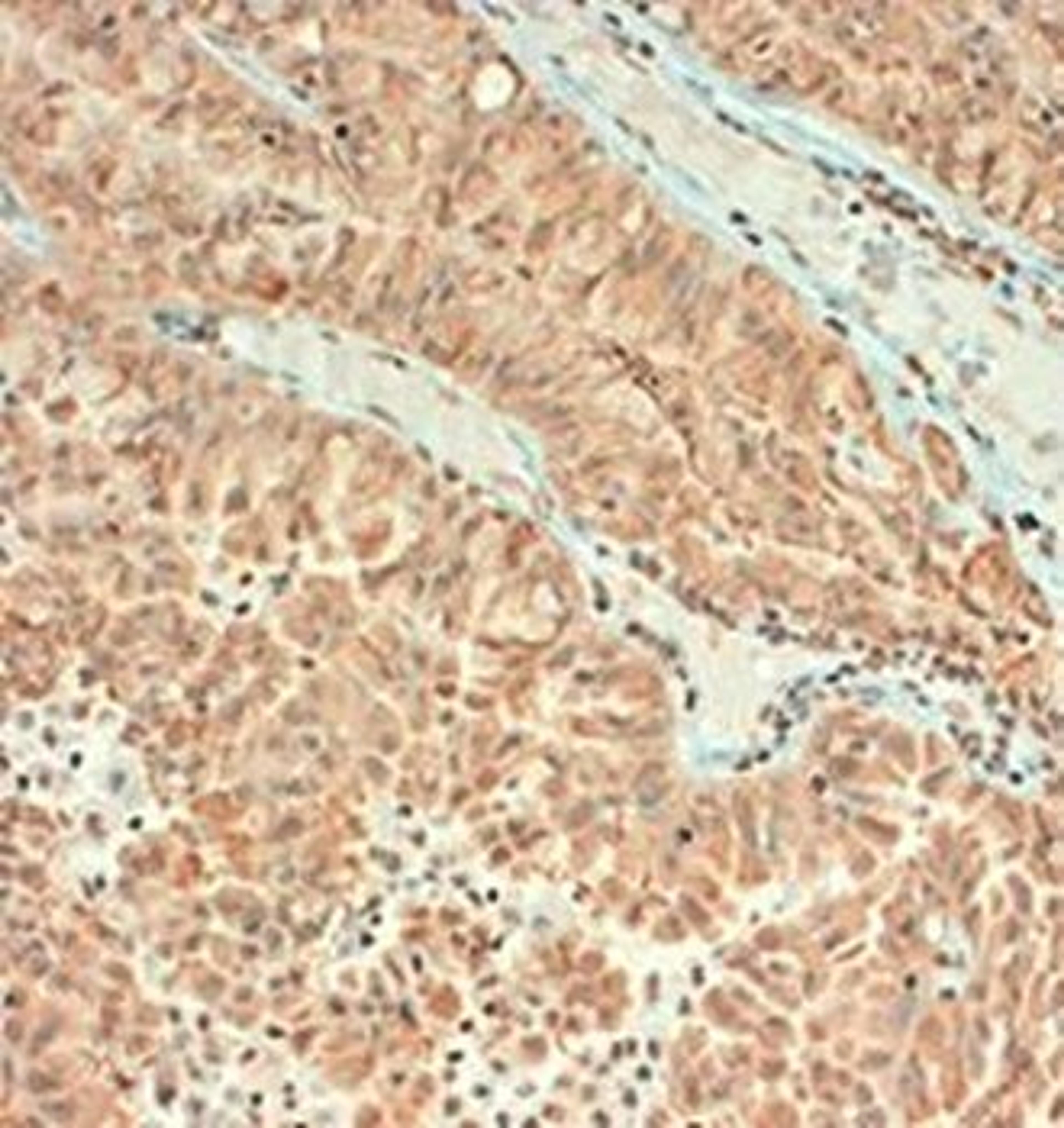
Description
Rat monoclonal to Aha1. ~38kDa. Can run up to 45kDa on SDS Page.
Biological Information
- Clonality: Monoclonal
- Host: Rat
- Reactivity: Human, Mouse
- Clone: 25F2.D9
- Isotype: IgG2a Kappa
Handling
- Quantity: 100 µg
- Storage: At -20°C for one year. After reconstitution at 4°C for two weeks. It can also be aliquotted and stored frozen at -20°C for a longer time.
- Buffer: PBS, 50% glycerol, 0.09% sodium azide
Applications
- ELISA (ELISA)
- Immunofluorescence (Paraffin-Embedded Sections) (IF (P))
- Immunohistochemistry (Paraffin-Embedded Sections) (IHC (P))
- Immunoprecipitation (IP)
- Western Blotting (WB)


