Product & ReviewsAntibodies

Anti-12 Lipoxygenase/ALOX12 Antibody Picoband™

Product Details

Cat. No.
A02275-1
Type
Primary Antibody
Clonality
Polyclonal
Host
Rabbit
Boster Bio

The supplier does not provide quotations for this antibody through SelectScience. You can search for similar antibodies in our  Antibody Directory.

Description

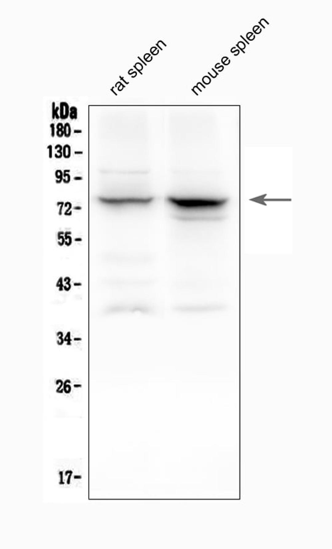
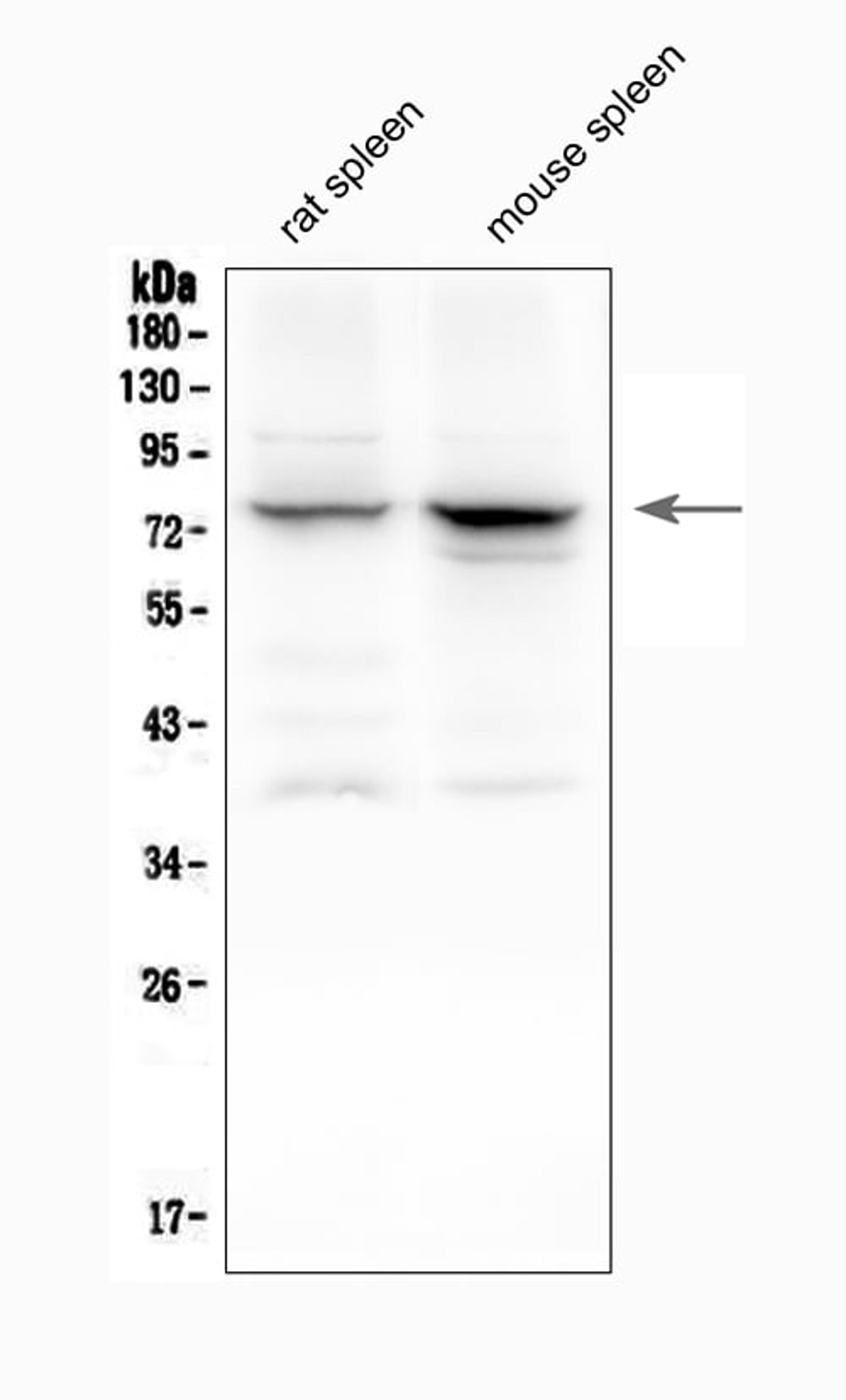
Boster Bio Anti-12 Lipoxygenase/ALOX12 Antibody Picoband™ catalog # A02275-1. Tested in WB applications. This antibody reacts with Mouse, Rat.

Biological Information

  • Clonality: Polyclonal
  • Host: Rabbit

Handling

  • Storage: Store at -20˚C for one year from date of receipt. After reconstitution, at 4˚C for one month. It can also be aliquotted and stored frozen at -20˚C for six months. Avoid repeated freeze-thaw cycles.

Applications

    Specificity rating
    Sensitivity rating
    Quality rating
    Be the first to leave a review

    Product Overview

    Links