Product & ReviewsAntibodies
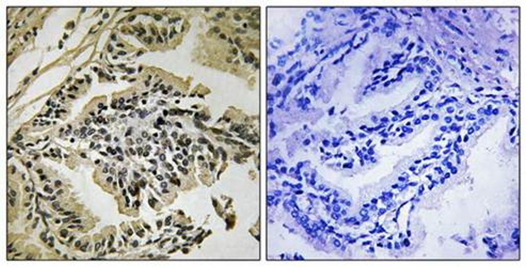
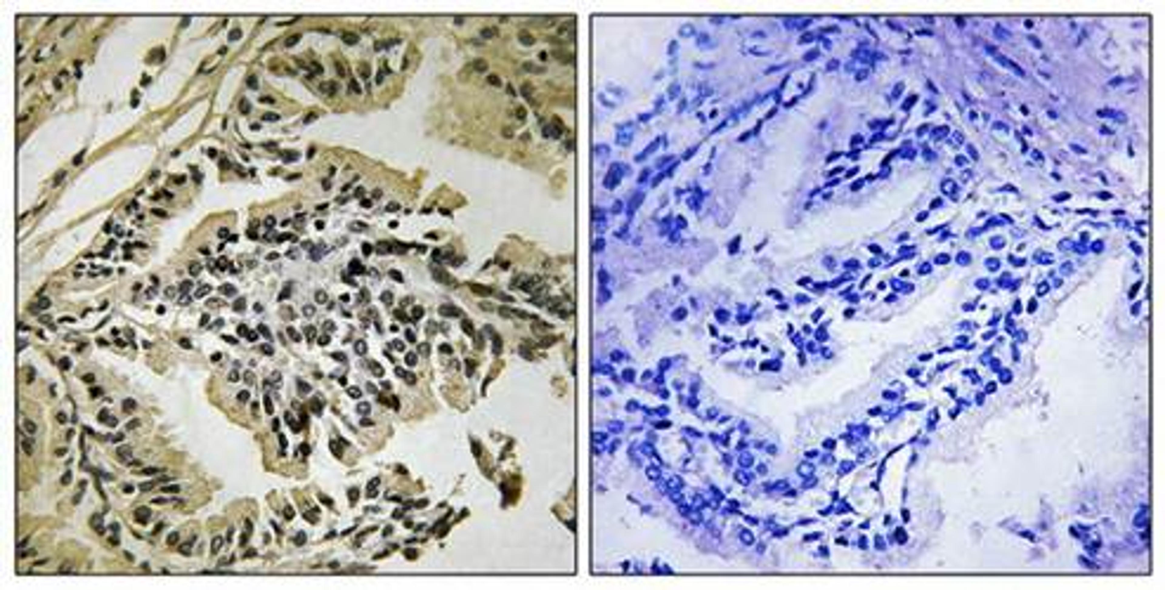
APOBEC3C antibody
Product Details
- Cat. No.
- orb12790
- Type
- Primary Antibody
- Clonality
- Polyclonal
- Host
- Rabbit

The supplier does not provide quotations for this antibody through SelectScience. You can search for similar antibodies in our Antibody Directory.
Description
Rabbit polyclonal antibody to APOBEC3C
Biological Information
- Clonality: Polyclonal
- Host: Rabbit
- Reactivity: Human
- Isotype: IgG
- Gene: 3315
Handling
- Quantity: 100 µl, 200 µl, 50 µl
- Storage: Store at -20°C. Avoid freeze / thaw cycles
- Buffer: PBS with 0.02% sodium azide, 50% glycerol, pH7.3.
Applications
- Immunofluorescence (Paraffin-Embedded Sections) (IF (P))
- Western Blotting (WB)


