Product & ReviewsAntibodies
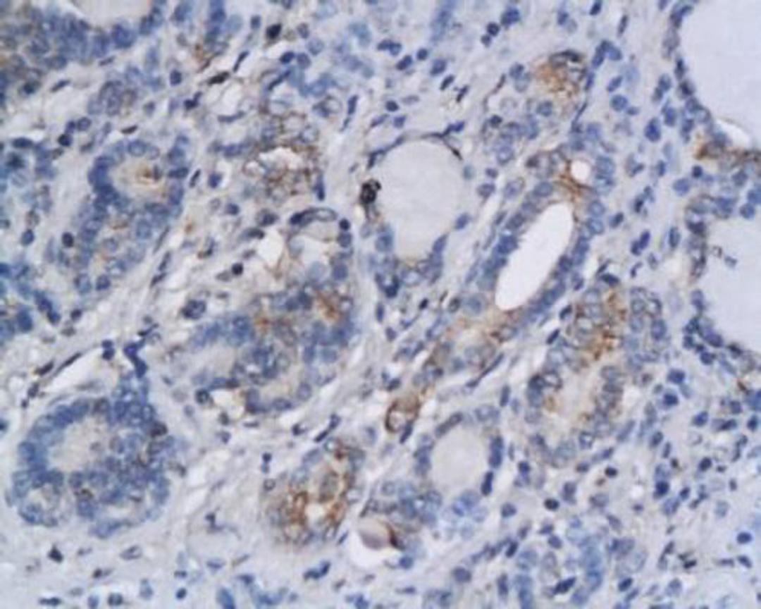
Aryl Hydrocarbon Receptor antibody
Product Details
- Cat. No.
- orb4234
- Type
- Primary Antibody
- Clonality
- Polyclonal
- Host
- Rabbit

The supplier does not provide quotations for this antibody through SelectScience. You can search for similar antibodies in our Antibody Directory.
Description
Rabbit polyclonal to Aryl Hydrocarbon Receptor
Biological Information
- Clonality: Polyclonal
- Host: Rabbit
- Reactivity: Human, Mouse, Rat
- Isotype: IgG
Handling
- Quantity: 100 μg
- Storage: Store at 4°C for up to two weeks. For long term storage, aliquot and store at -20°C, avoid freeze/thaw cycles.
- Buffer: 0.01M TBS (pH7.4), 0.5% BSA, 0.015% ProClin™ 300 and 25% glycerol
- Specificity: 4
Applications
- ELISA (ELISA)
- Immunofluorescence (IF)
- Immunohistochemistry (Paraffin-Embedded Sections) (IHC (P))
Working well.
Application Area:
Immunohistochemistry
I used this antibody for immunohistochemistry using human and organotypic 3D skin, and found this Ab was working. This antibody recognized AHR in both cytoplasm and nucleus. I used 1:150 dilution as a primary Ab.
Review Date: 17 Dec 2019 | Biorbyt


