Product & ReviewsAntibodies
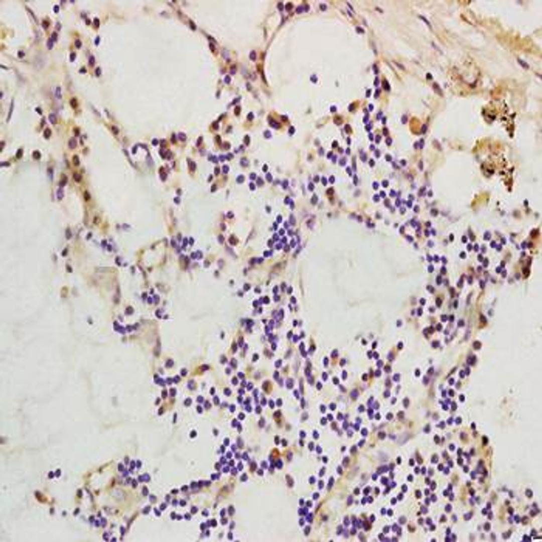
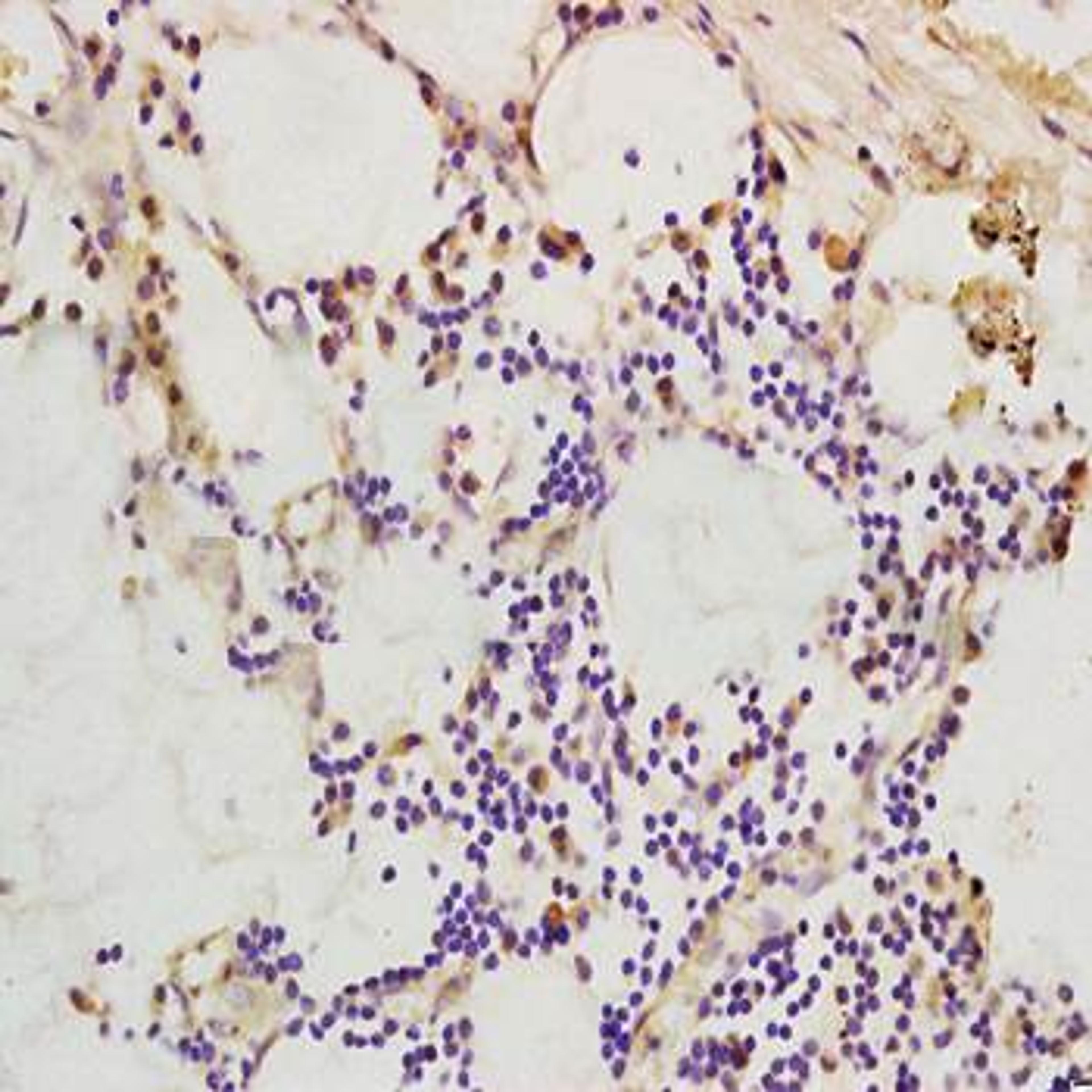
Asymmetric DiMethyl-Histone H3-R26 antibody
Product Details
- Cat. No.
- orb137155
- Type
- Primary Antibody
- Clonality
- Polyclonal
- Host
- Rabbit

The supplier does not provide quotations for this antibody through SelectScience. You can search for similar antibodies in our Antibody Directory.
Description
Rabbit polyclonal antibody to Asymmetric DiMethyl-Histone H3-R26
Biological Information
- Clonality: Polyclonal
- Host: Rabbit
- Reactivity: Human, Mammalian, Mouse
- Isotype: IgG
Handling
- Quantity: 100 µl
- Storage: Aliquot and store at -20°C or -80°C. Avoid repeated freeze/thaw cycles.
- Buffer: Rabbit IgG in phosphate buffered saline (without Mg2+ and Ca2+), pH 7.4, 150mM NaCl, 0.02% sodium azide and 50% glycerol.
Applications
- Immunofluorescence (Paraffin-Embedded Sections) (IF (P))
- Immunoprecipitation (IP)
- Western Blotting (WB)


