Product & ReviewsAntibodies
BMPR2 antibody
Product Details
- Cat. No.
- orb33598
- Type
- Primary Antibody
- Clonality
- Polyclonal
- Host
- Rabbit

The supplier does not provide quotations for this antibody through SelectScience. You can search for similar antibodies in our Antibody Directory.
Description
Rabbit polyclonal antibody to BMPs (bone morphogenetic protein) are involved in endochondral bone formation and embryogenesis. BMPR2 encodes a member of the (BMP) receptor family of transmembrane serine/threonine kinases. It is a widely expressed receptor; with high mRNA expression during development in many tissues.
Biological Information
- Clonality: Polyclonal
- Host: Rabbit
- Reactivity: Human, Mouse, Rat
- Clone: NULL
- Conjugate: Unconjugated
- Isotype: IgG
- Gene: 659
Handling
- Quantity: 100 ?g; 200 ?g
- Storage: Store at 4°C for up to two weeks. For long term storage; aliquot and store at -20°C; avoid freeze/thaw cycles
- Buffer: 10 mM PBS; 0.02% sodium azide
Applications
- ELISA (ELISA)
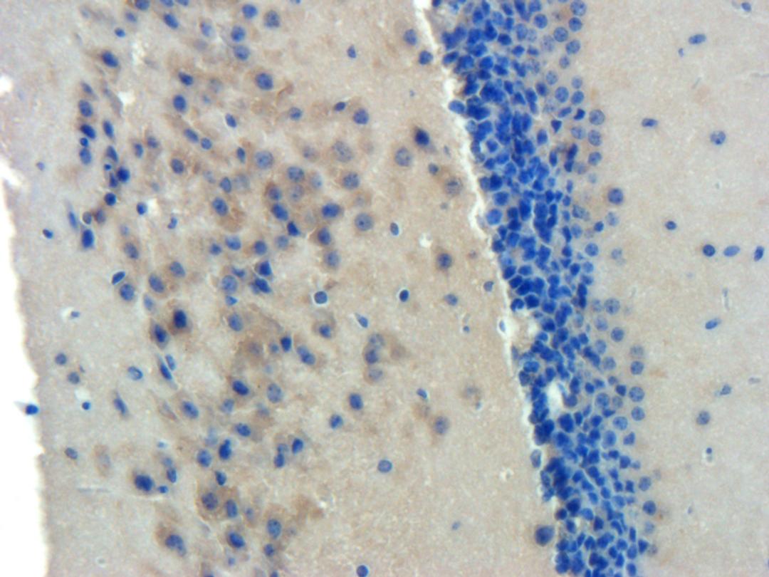
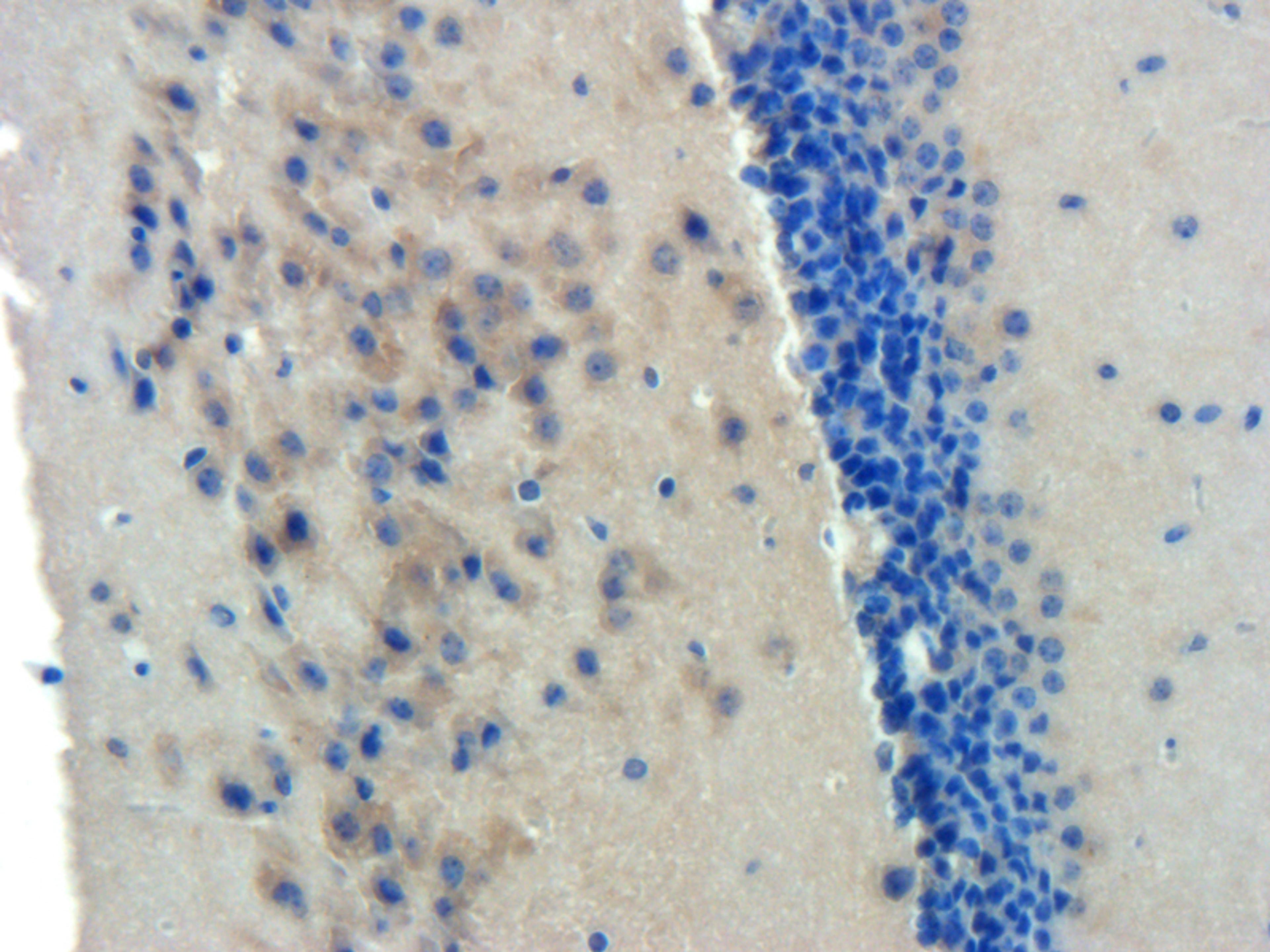
- Immunohistochemistry (Paraffin-Embedded Sections) (IHC (P))
- Western Blotting (WB)


