Product & ReviewsAntibodies
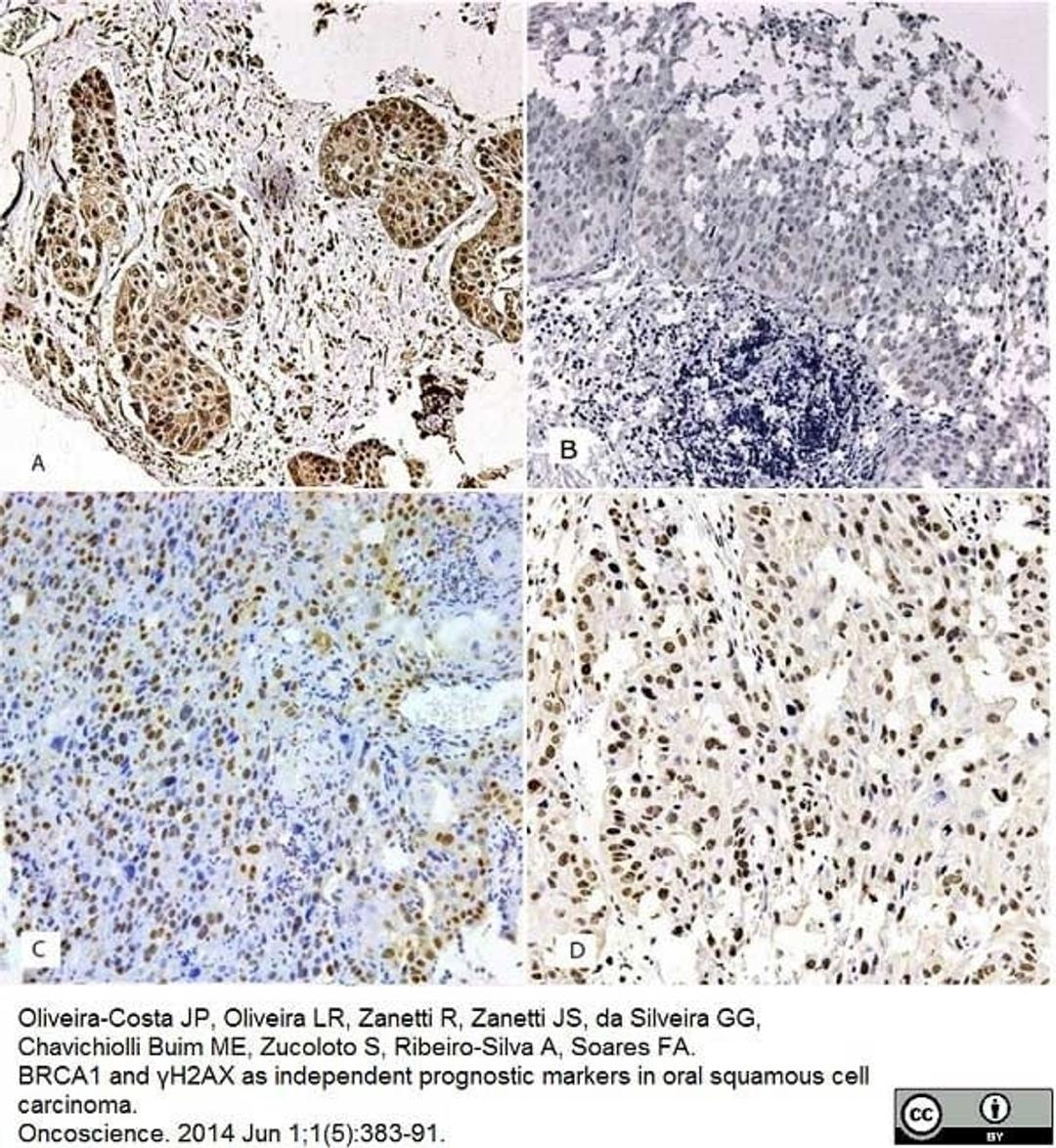
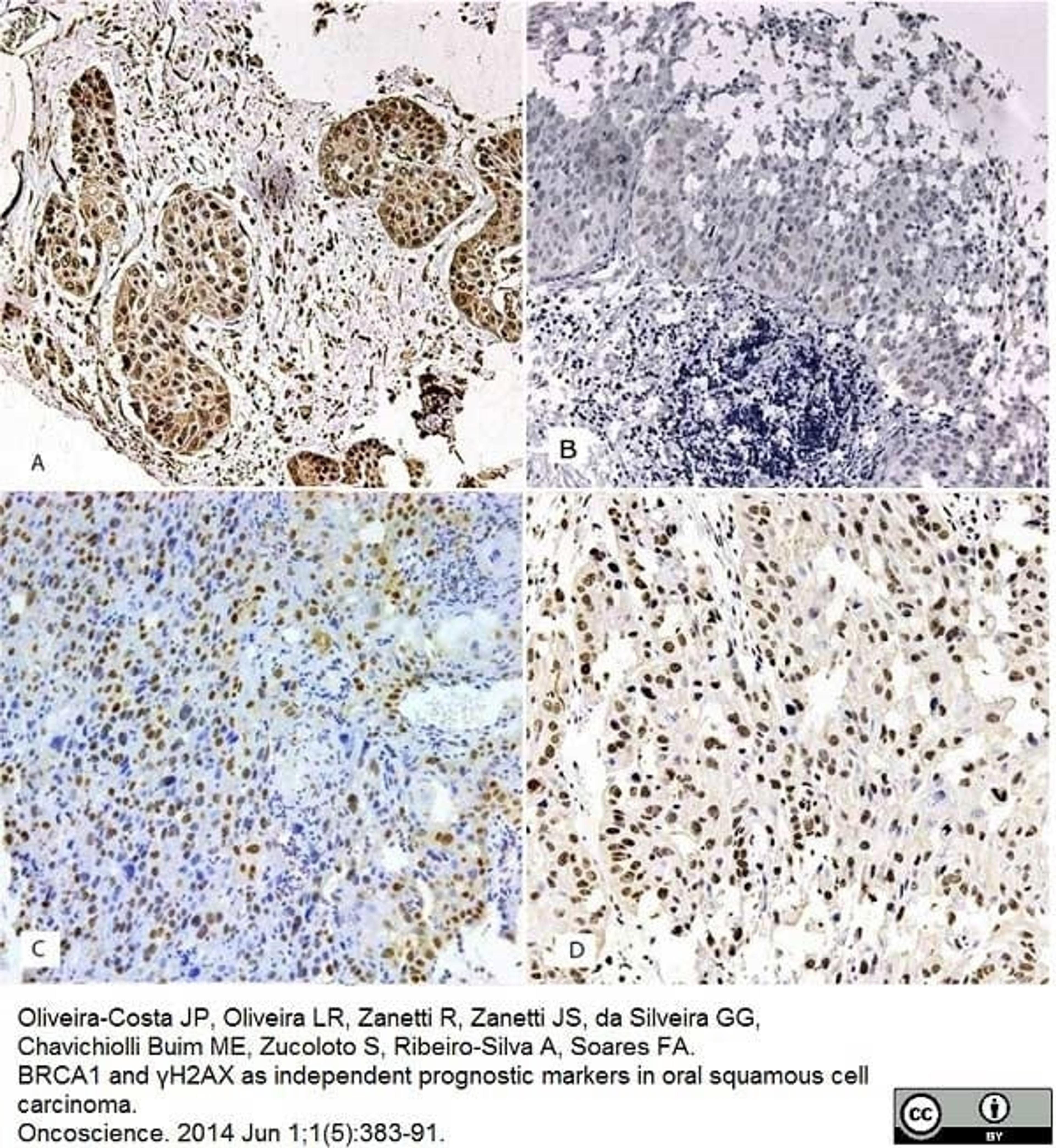
BRCA1
Product Details
- Cat. No.
- MCA1683GT
- Type
- Primary Antibody
- Clonality
- Monoclonal
- Host
- Mouse

The supplier does not provide quotations for this antibody through SelectScience. You can search for similar antibodies in our Antibody Directory.
Description
MOUSE ANTI HUMAN BRCA1 (N-TERMINAL)
Biological Information
- Clonality: Monoclonal
- Host: Mouse
Handling
- Quantity: 50 µg


