Product & ReviewsAntibodies
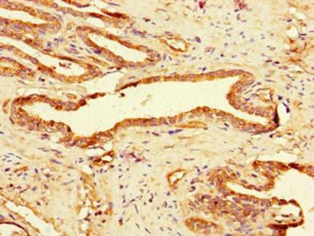
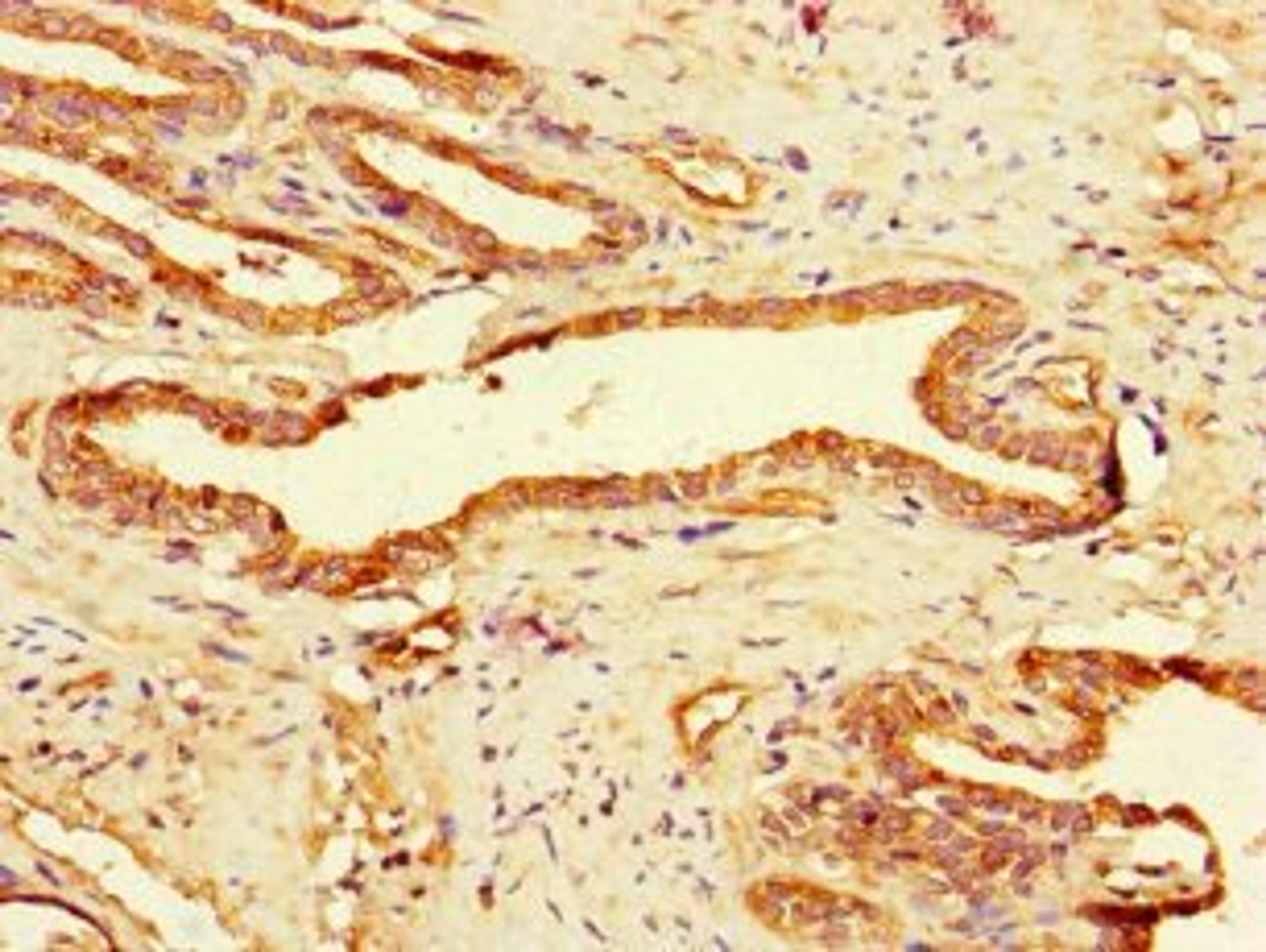
C9 antibody (Biotin)
Product Details
- Cat. No.
- orb41684
- Type
- Primary Antibody
- Clonality
- Polyclonal
- Host
- Rabbit

The supplier does not provide quotations for this antibody through SelectScience. You can search for similar antibodies in our Antibody Directory.
Description
Rabbit polyclonal antibody against C9 conjugated to Biotin.
Biological Information
- Clonality: Polyclonal
- Host: Rabbit
- Reactivity: Human
- Isotype: IgG
Handling
- Quantity: 0.1 mg
- Storage: Store at 2-8°C.
- Buffer: PBS with 15 mM sodium azide, approx. pH 7.4
Applications
- ELISA (ELISA)


