Product & ReviewsAntibodies
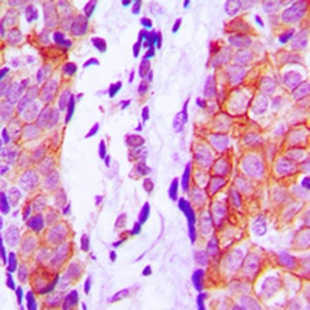
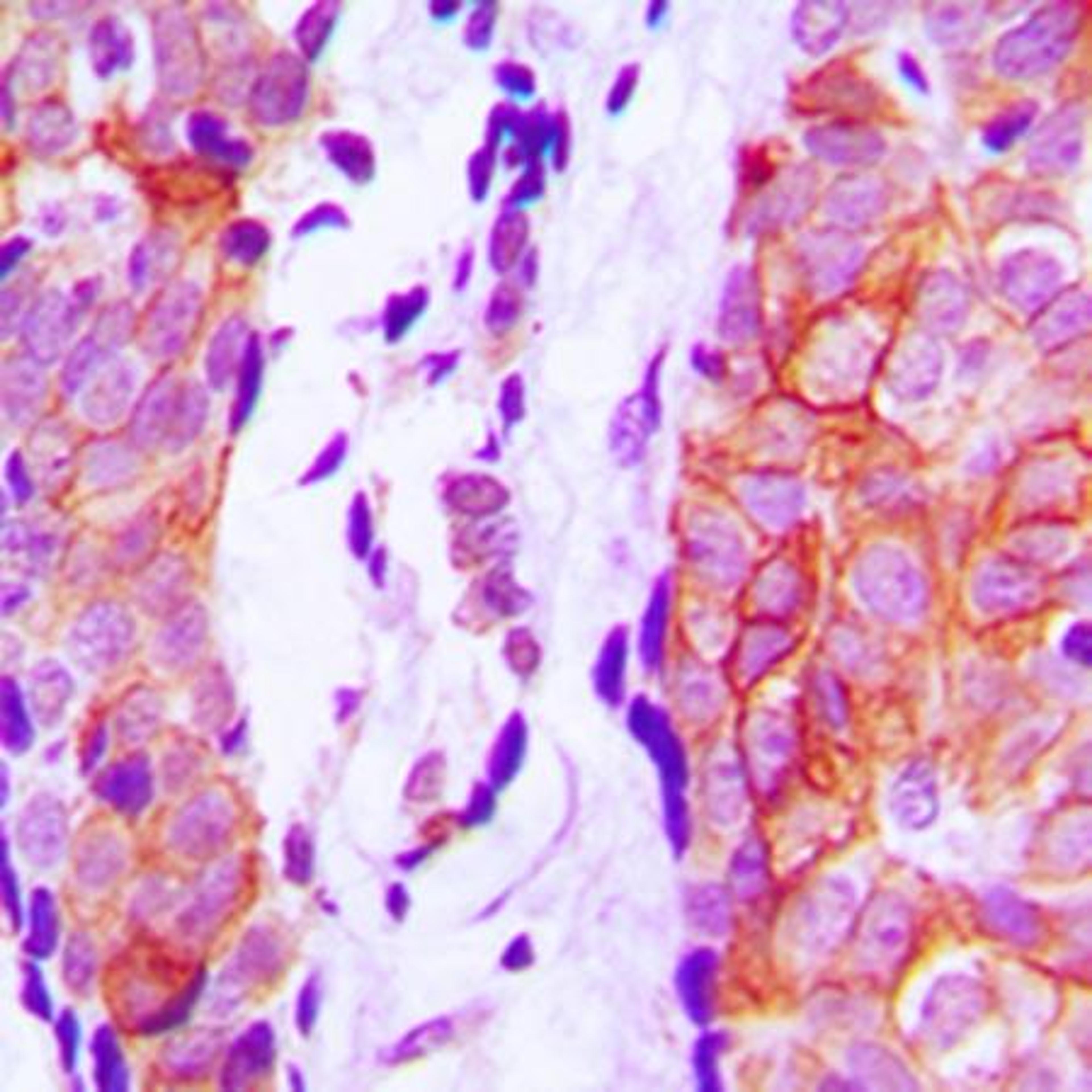
CD115 (phospho-Y809) antibody
Product Details
- Cat. No.
- orb256473
- Type
- Primary Antibody
- Clonality
- Polyclonal
- Host
- Rabbit

The supplier does not provide quotations for this antibody through SelectScience. You can search for similar antibodies in our Antibody Directory.
Description
Rabbit polyclonal antibody to CD115 (phospho-Y809)
Biological Information
- Clonality: Polyclonal
- Host: Rabbit
- Reactivity: Cat (Feline), Human, Mammalian, Mouse, Zebrafish
- Isotype: IgG
- Gene: 8350; 8351; 8352; 8353; 8354; 8355; 8356; 8357; 8358; 8968; 126961; 333932; 653604; 3020; 3021
Handling
- Quantity: 200 µl, 30 µl (Trial size), 100 µl
- Storage: Store at 4°C. Upon delivery aliquot and store at -20°C for one year. Avoid freeze/thaw cycles.
- Buffer: Liquid in 0.42% Potassium phosphate, 0.87% Sodium chloride, pH 7.3, 30% glycerol, and 0.01% sodium azide.
Applications
- Western Blotting (WB)


