Product & ReviewsAntibodies
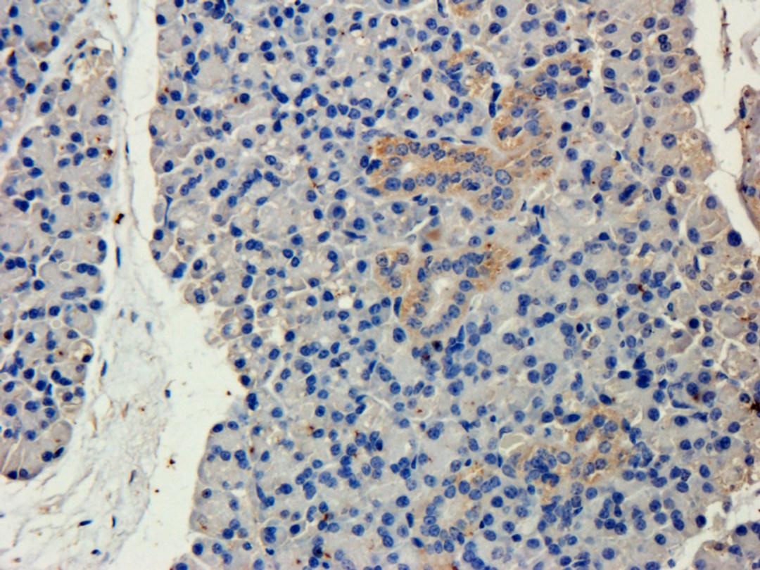
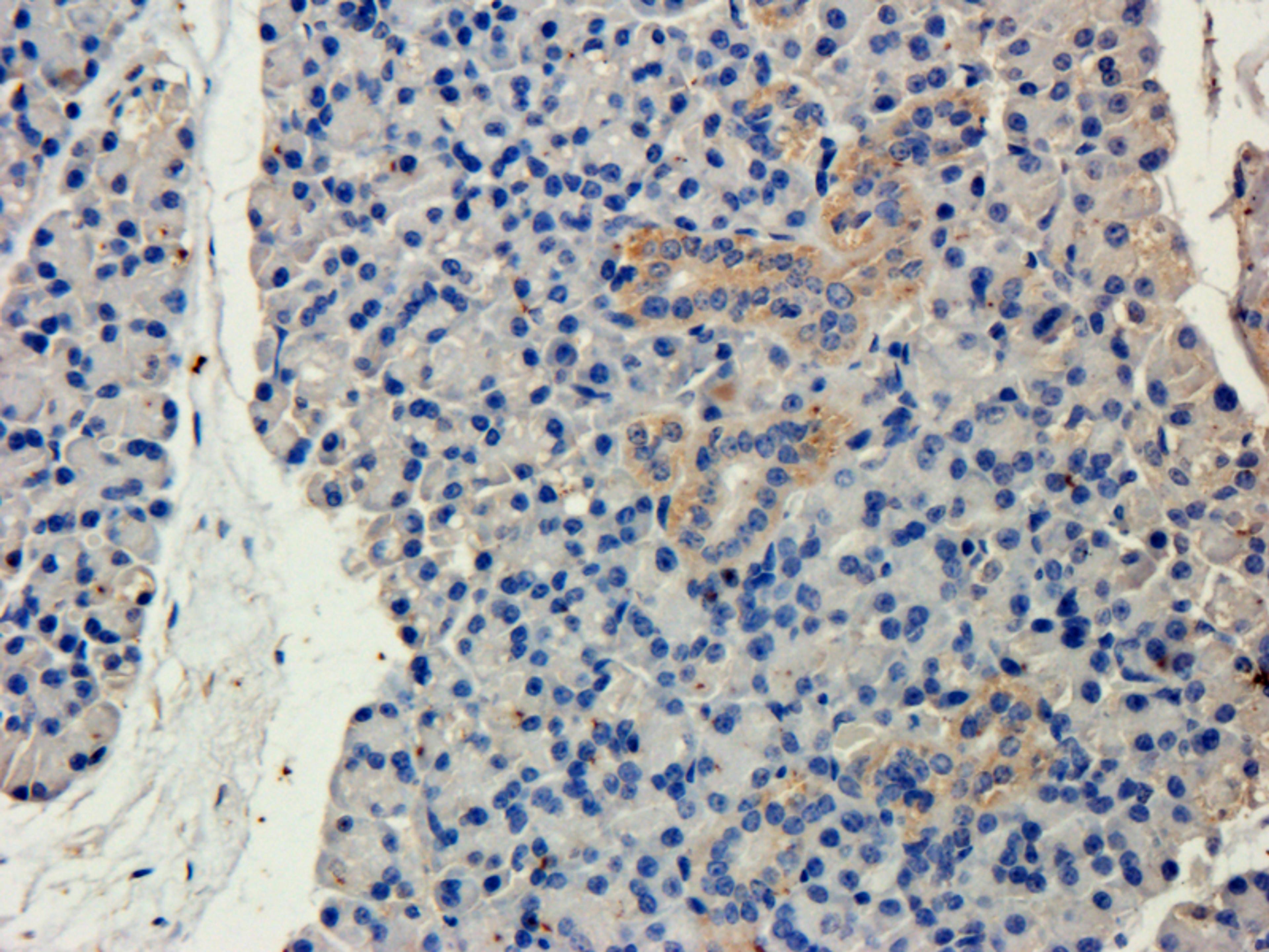
CD19 antibody
Product Details
- Cat. No.
- orb10306
- Type
- Primary Antibody
- Clonality
- Polyclonal
- Host
- Rabbit

The supplier does not provide quotations for this antibody through SelectScience. You can search for similar antibodies in our Antibody Directory.
Description
Rabbit polyclonal antibody to CD19. The protein is expressed on normal and neoplastic B cells and also in some bone marrow cells; which amplifies the signaling cascade in B cells. CD19 plays a role in regulating B cell proliferation. In addition; defects in CD19 are the cause of immunodeficiency common variable type 3 (CVID3).
Biological Information
- Clonality: Polyclonal
- Host: Rabbit
- Reactivity: Human
- Clone: NULL
- Conjugate: Unconjugated
- Isotype: IgG
- Gene: 930
Handling
- Quantity: 100 ?g; 200 ?g
- Storage: Store at 4°C for up to two weeks. For long term storage; aliquot and store at -20°C; avoid freeze/thaw cycles.
- Buffer: 10 mM PBS; 0.02% sodium azide
Applications
- Fluorescent Assay (FA)


