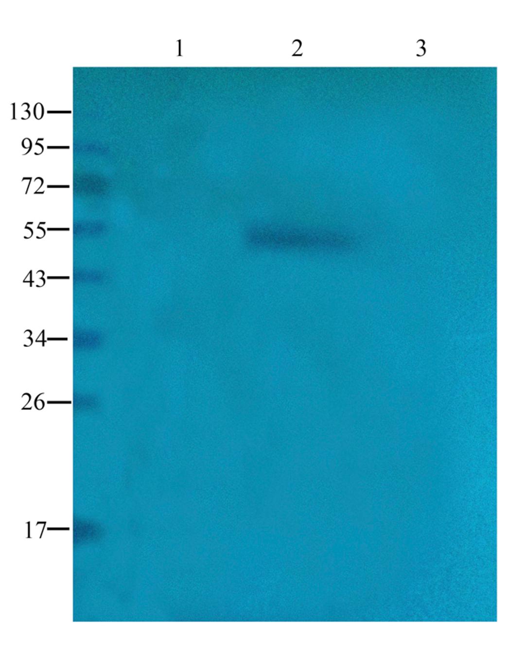
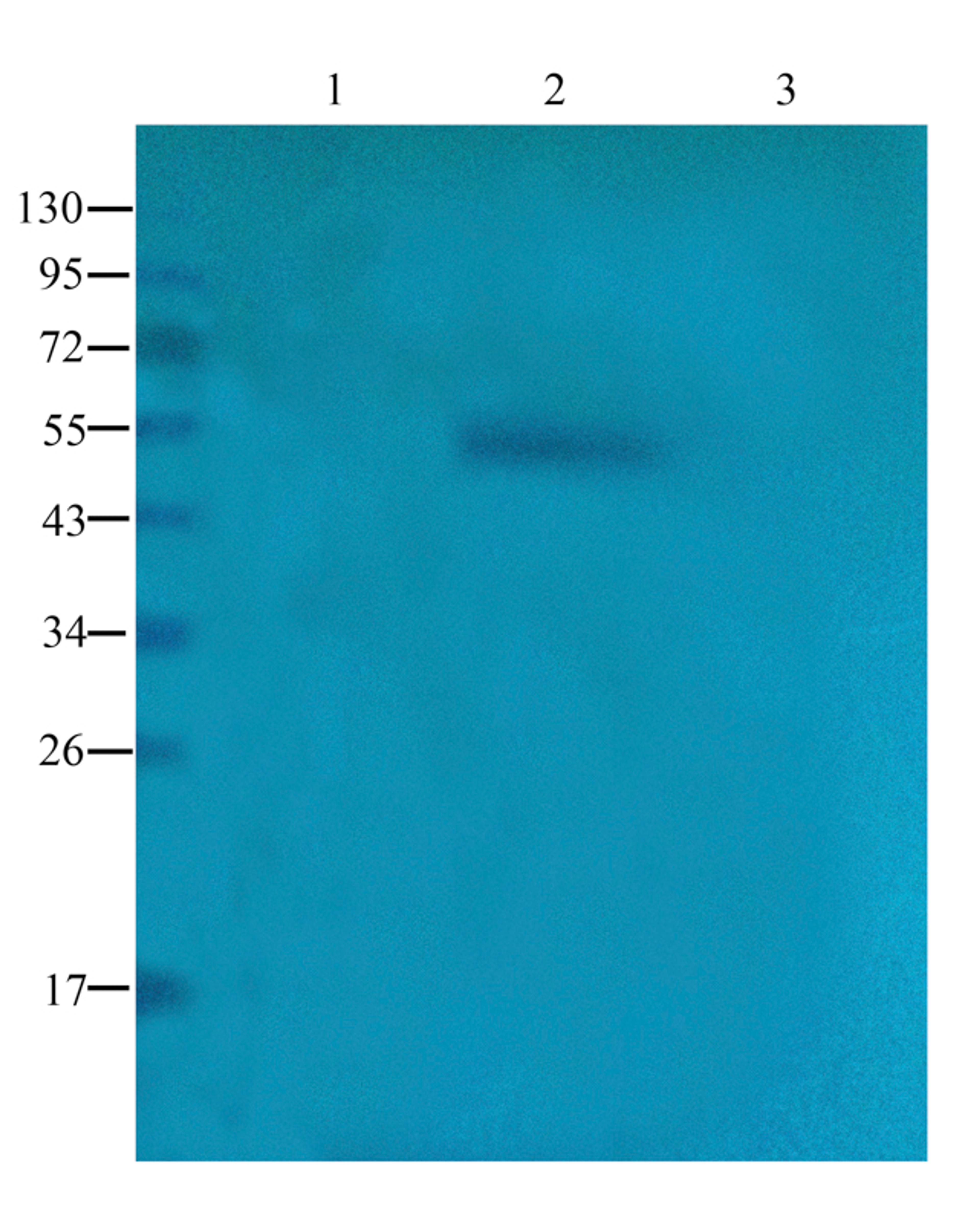
CD20 antibody
Product Details
- Cat. No.
- orb10307
- Type
- Primary Antibody
- Clonality
- Polyclonal
- Host
- Rabbit

The supplier does not provide quotations for this antibody through SelectScience. You can search for similar antibodies in our Antibody Directory.
Description
CD20 antigen is a type of tumor marker. Also called CD20. There's a protein found on B cells (a type of white blood cell). It may be found in higher than normal amounts in patients with certain types of B-cell lymphomas and leukemias. Measuring the amount of CD20 antigen on blood cells may help to diagnose cancer or plan cancer treatment.The protein has no known natural ligand[8] and its function is to enable optimal B-cell immune response; specifically against T-independent antigens.It is suspected that it acts as a calcium channel in the cell membrane.It has been shown that CD20 also plays a role in the microenvironmental interactions of B cells.
Biological Information
- Clonality: Polyclonal
- Host: Rabbit
- Reactivity: Human, Mouse, Rat
- Clone: NULL
- Conjugate: Unconjugated
- Isotype: IgG
- Gene: 931
Handling
- Quantity: 100 ?g
- Storage: Store at 4°C for up to two weeks. For long term storage; aliquot and store at -20°C; avoid freeze/thaw cycles.
- Buffer: 10 mM PBS; 0.02% sodium azide
Applications
- ELISA (ELISA)
- Immunohistochemistry (Paraffin-Embedded Sections) (IHC (P))
- Western Blotting (WB)


