Product & ReviewsAntibodies
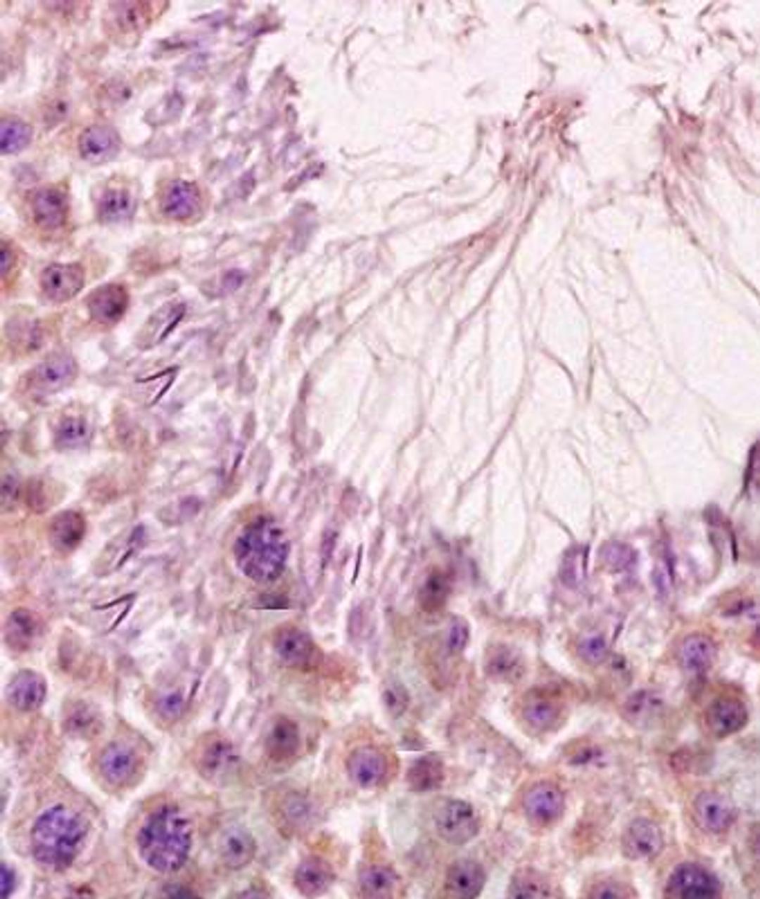
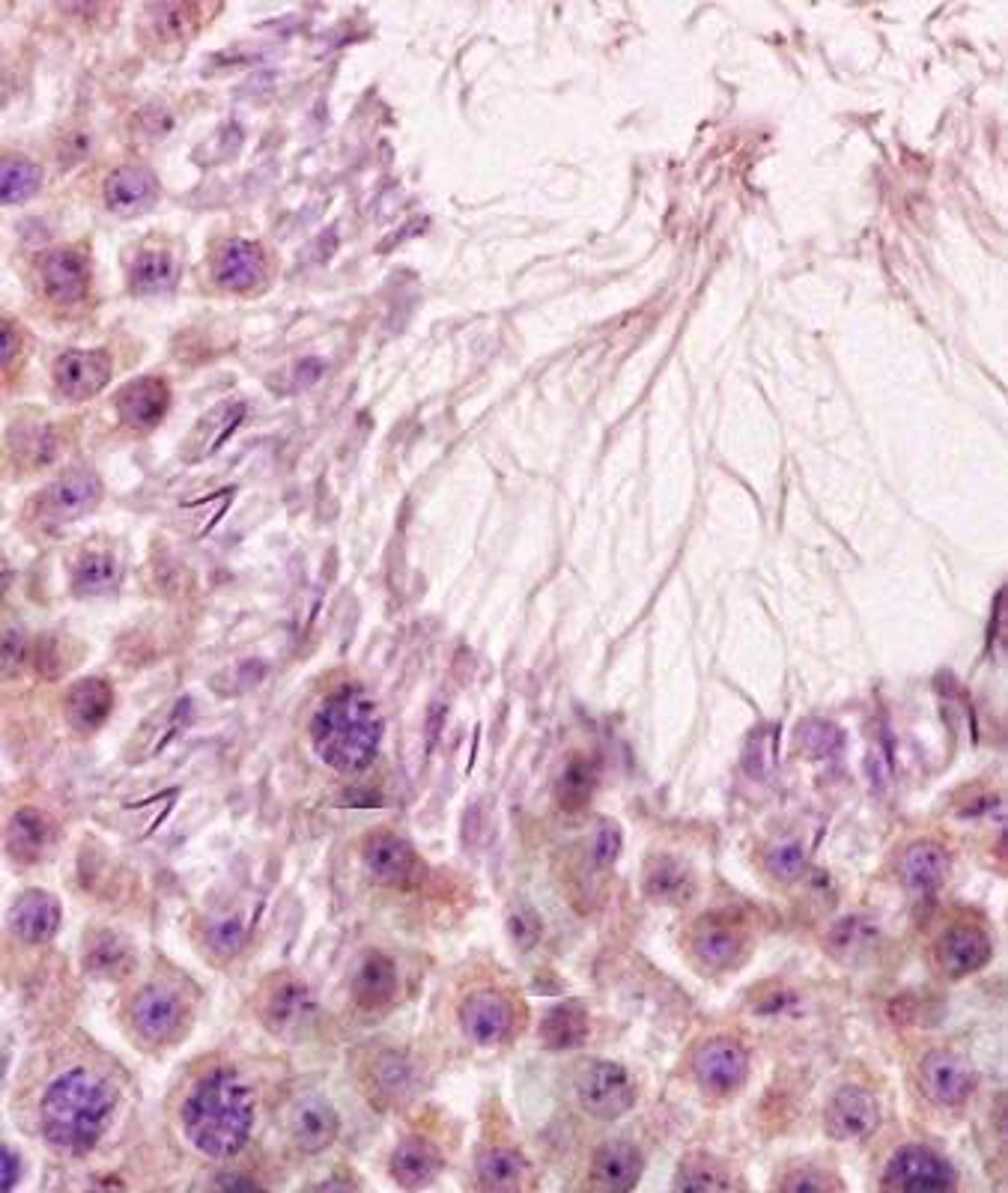
CD20 antibody (PerCP)
Product Details
- Cat. No.
- orb44645
- Type
- Primary Antibody
- Clonality
- Polyclonal
- Host
- Mouse

The supplier does not provide quotations for this antibody through SelectScience. You can search for similar antibodies in our Antibody Directory.
Description
Mouse Monoclonal to CD20.
Biological Information
- Clonality: Polyclonal
- Host: Mouse
- Isotype: IgG2b
Handling
- Quantity: 100 µg
- Storage: Store at 4°C for up to two weeks. For long term storage, aliquot and store at -20°C, avoid freeze/thaw cycles.
- Buffer: 0.01M TBS (pH7.4) 0.5% BSA 0.015% Proclin300 25% glycerol
Applications
- Flow Cytometry (FC)
- Immunohistochemistry (Frozen Sections) (IHC (Fr))
- Immunoprecipitation (IP)


