Product & ReviewsAntibodies
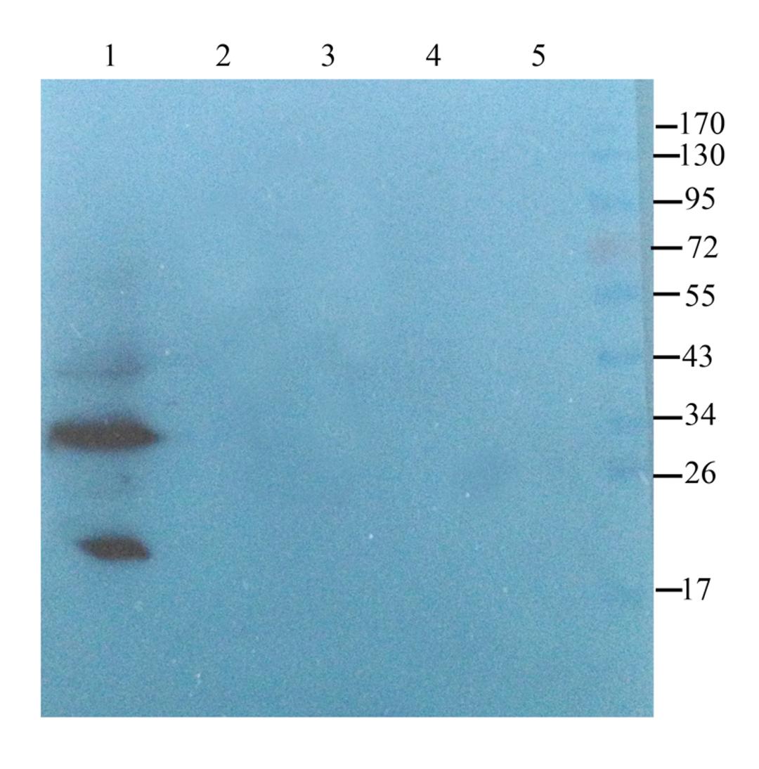
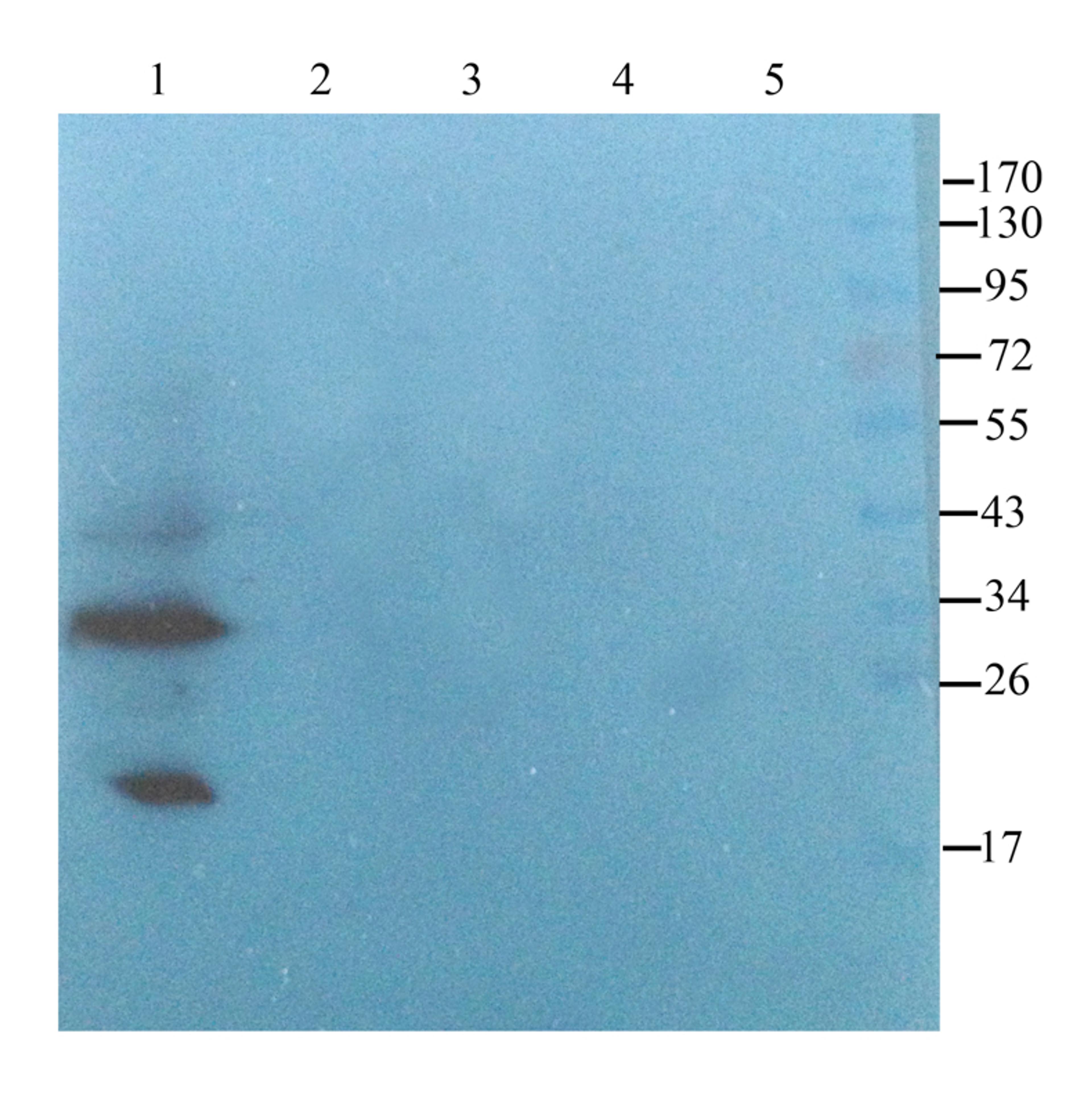
CD274 antibody
Product Details
- Cat. No.
- orb10162
- Type
- Primary Antibody
- Clonality
- Polyclonal
- Host
- Rabbit

The supplier does not provide quotations for this antibody through SelectScience. You can search for similar antibodies in our Antibody Directory.
Description
The CD274 antibody is commonly known as PD-L1. B7-H1 is the target ; it is a member of the B7 family; and belongs to the Ig superfamily. B7-H1 is expressed on a majority of leukocytes. CD274 is also Involved in the signaling ; it also helps in the production of IL10 and IFNG; in an IL2-dependent and a PDCD1-independent manner. Interaction with PDCD1 inhibits T-cell proliferation and cytokine production.
Biological Information
- Clonality: Polyclonal
- Host: Rabbit
- Reactivity: Human, Mouse, Rat
- Clone: NULL
- Conjugate: Unconjugated
- Isotype: IgG
- Gene: 29126
Handling
- Quantity: 100 ?g
- Storage: Store at 4°C for up to two weeks. For long term storage; aliquot and store at -20°C; avoid freeze/thaw cycles.
- Buffer: 10 mM PBS; 0.02% sodium azide
Applications
- ELISA (ELISA)
- Immunohistochemistry (Paraffin-Embedded Sections) (IHC (P))
- Western Blotting (WB)


