Product & ReviewsAntibodies
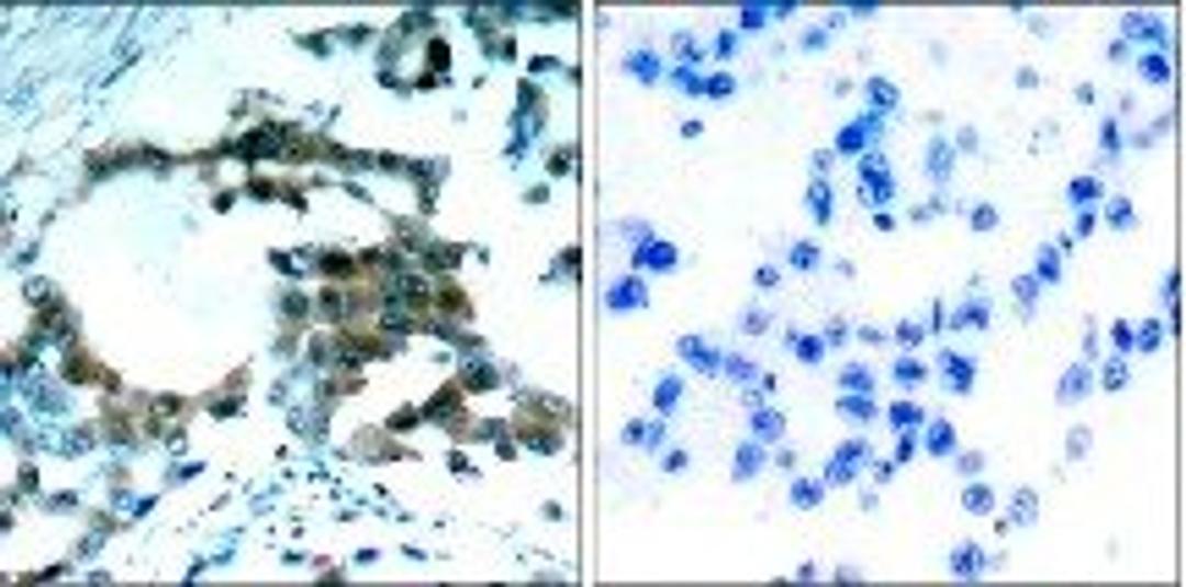
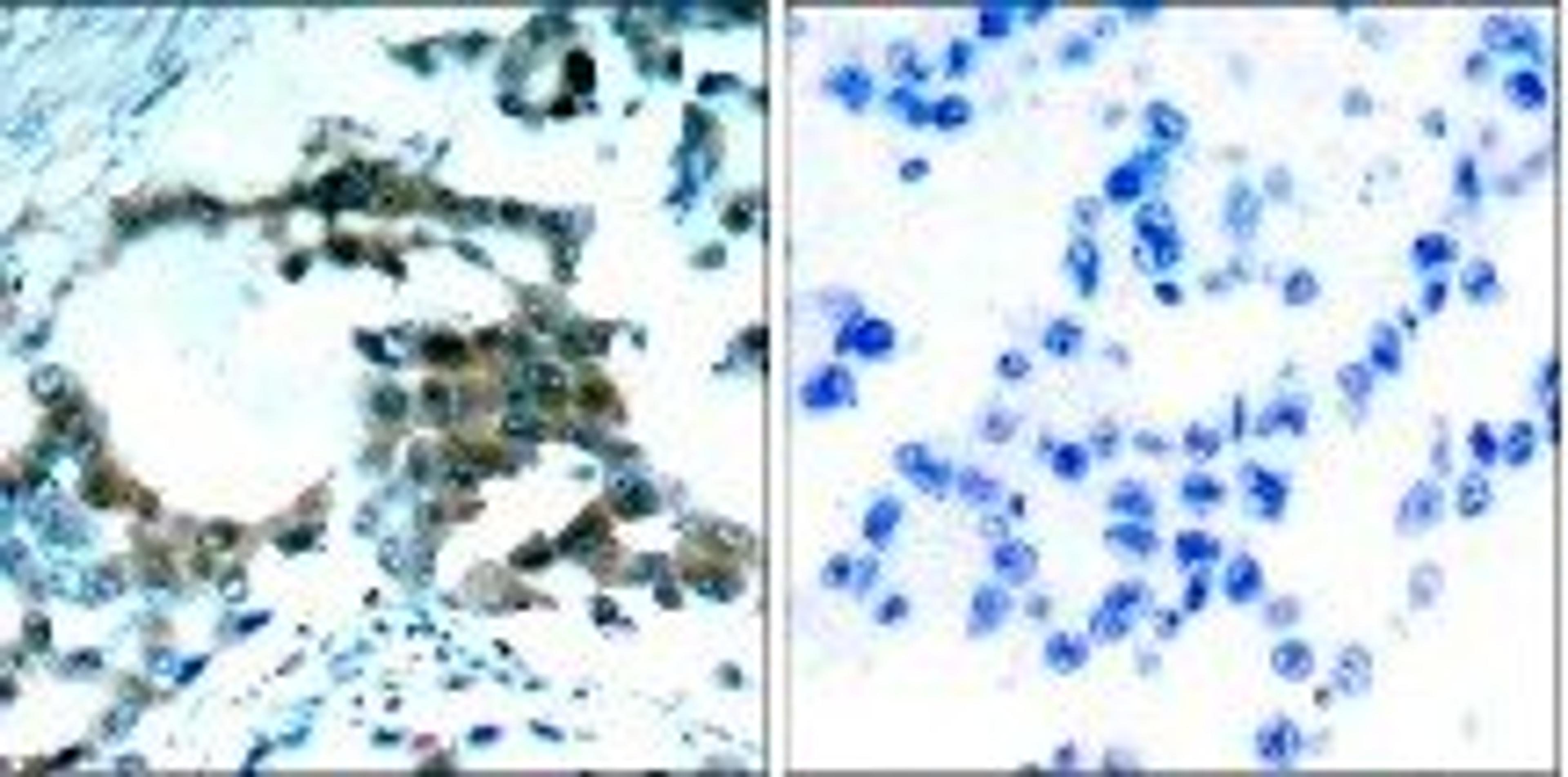
CDC2 (phospho-Thr161) antibody
Product Details
- Cat. No.
- orb14854
- Type
- Primary Antibody
- Clonality
- Polyclonal
- Host
- Rabbit

The supplier does not provide quotations for this antibody through SelectScience. You can search for similar antibodies in our Antibody Directory.
Description
Rabbit Polyclonal to CDC2 (phospho-Thr161)
Biological Information
- Clonality: Polyclonal
- Host: Rabbit
- Reactivity: Human, Mammalian, Mouse
- Isotype: IgG
Handling
- Quantity: 100 µg
- Storage: Store at -20°C for long-term storage. Store at 2-8°C for up to one month. Avoid freeze/thaw cycles.
- Buffer: Supplied as a 100 ug (3 mg/ml) aliquot in PBS, 20% glycerol and 0.05% sodium azide.
Applications
- Immunohistochemistry (Paraffin-Embedded Sections) (IHC (P))
- Western Blotting (WB)


