Product & ReviewsAntibodies
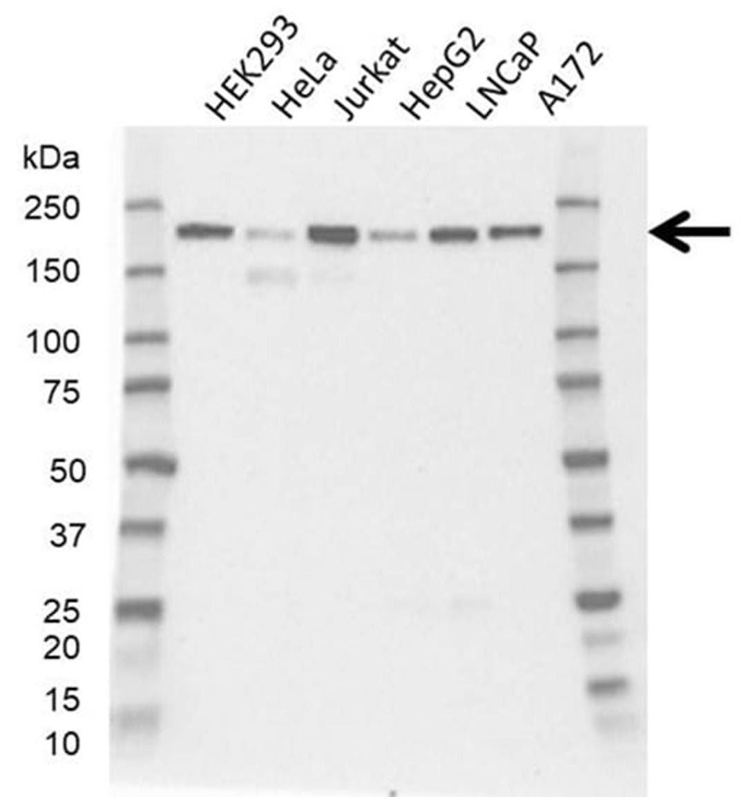
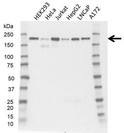
CDK13
Product Details
- Cat. No.
- VMA00875
- Type
- Primary Antibody
- Clonality
- Monoclonal
- Host
- Mouse

The supplier does not provide quotations for this antibody through SelectScience. You can search for similar antibodies in our Antibody Directory.


