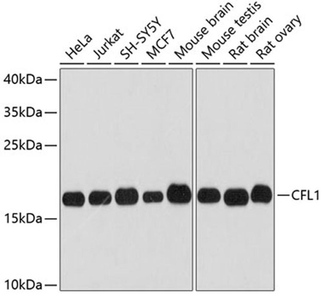
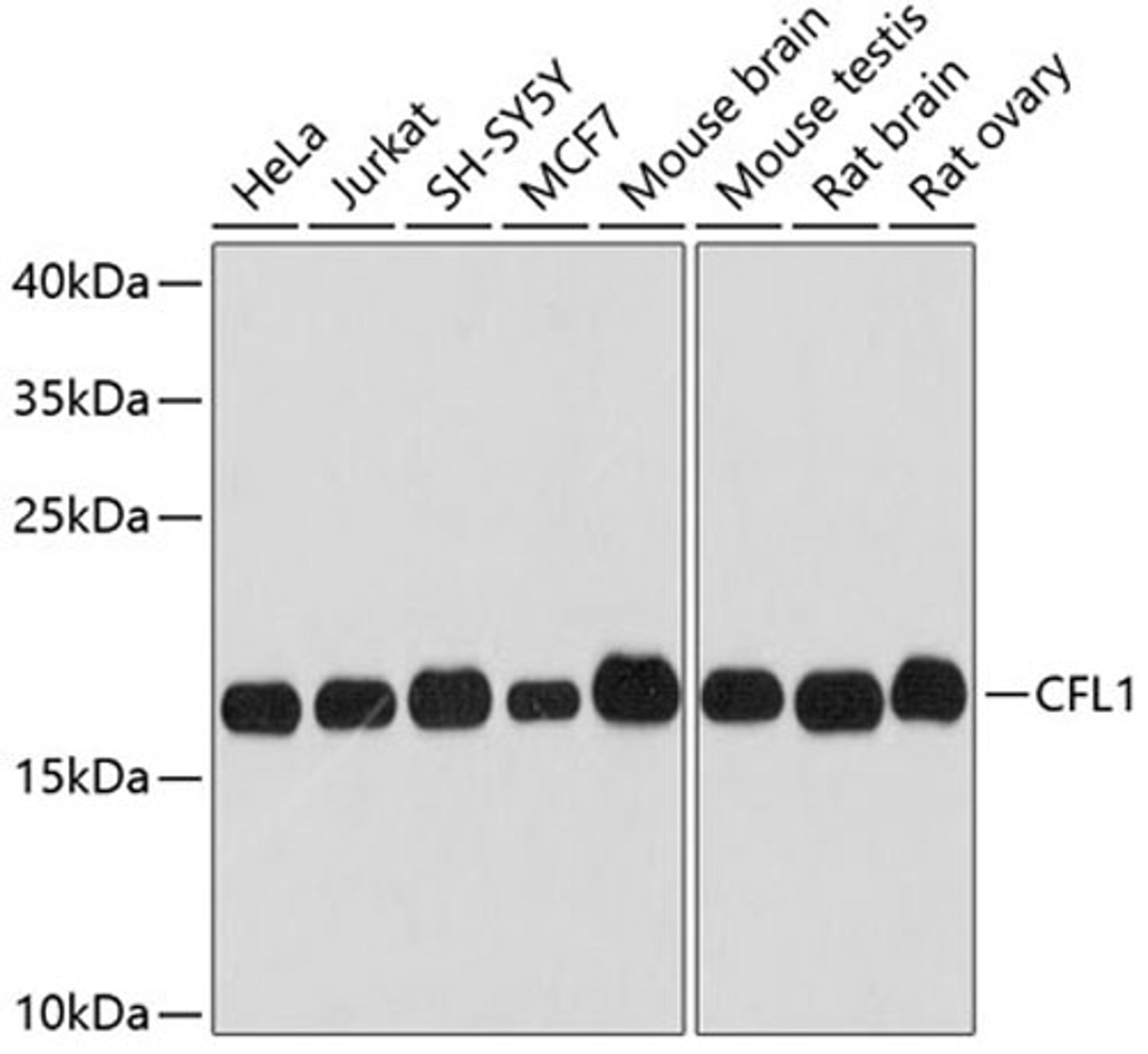
CFL1 Rabbit pAb
Product Details
- Cat. No.
- A1704
- Type
- Primary Antibody
- Clonality
- Polyclonal
- Host
- Rabbit

The supplier does not provide quotations for this antibody through SelectScience. You can search for similar antibodies in our Antibody Directory.
Description
The protein encoded by this gene can polymerize and depolymerize F-actin and G-actin in a pH-dependent manner. Increased phosphorylation of this protein by LIM kinase aids in Rho-induced reorganization of the actin cytoskeleton. Cofilin is a widely distributed intracellular actin-modulating protein that binds and depolymerizes filamentous F-actin and inhibits the polymerization of monomeric G-actin in a pH-dependent manner. It is involved in the translocation of actin-cofilin complex from cytoplasm to nucleus.[supplied by OMIM, Apr 2004]
Biological Information
- Clonality: Polyclonal
- Host: Rabbit
- Reactivity: Human, Mouse, Rat
Handling
- Specificity: 5
Applications
Best control antibody and customer service.
Western blot
AB Clonal antibodies are very high quality. I have yet to recieve an antibody that did not work or had non-specific binding. The company also has fast and excellent customer service. I have been using the AB clonal Cofilin 1 antibody as a control for 2 years and it is my antibody of choice. This is the only control antibody that I use because of its molecular weight and consistency. I would recommend AB clonal to any colleague.
Review Date: 3 Mar 2021 | ABclonal Technology


