Product & ReviewsAntibodies
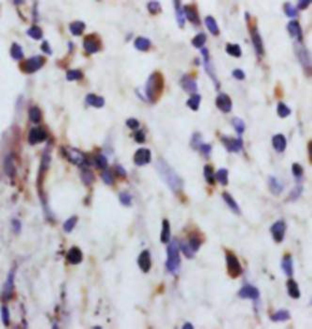
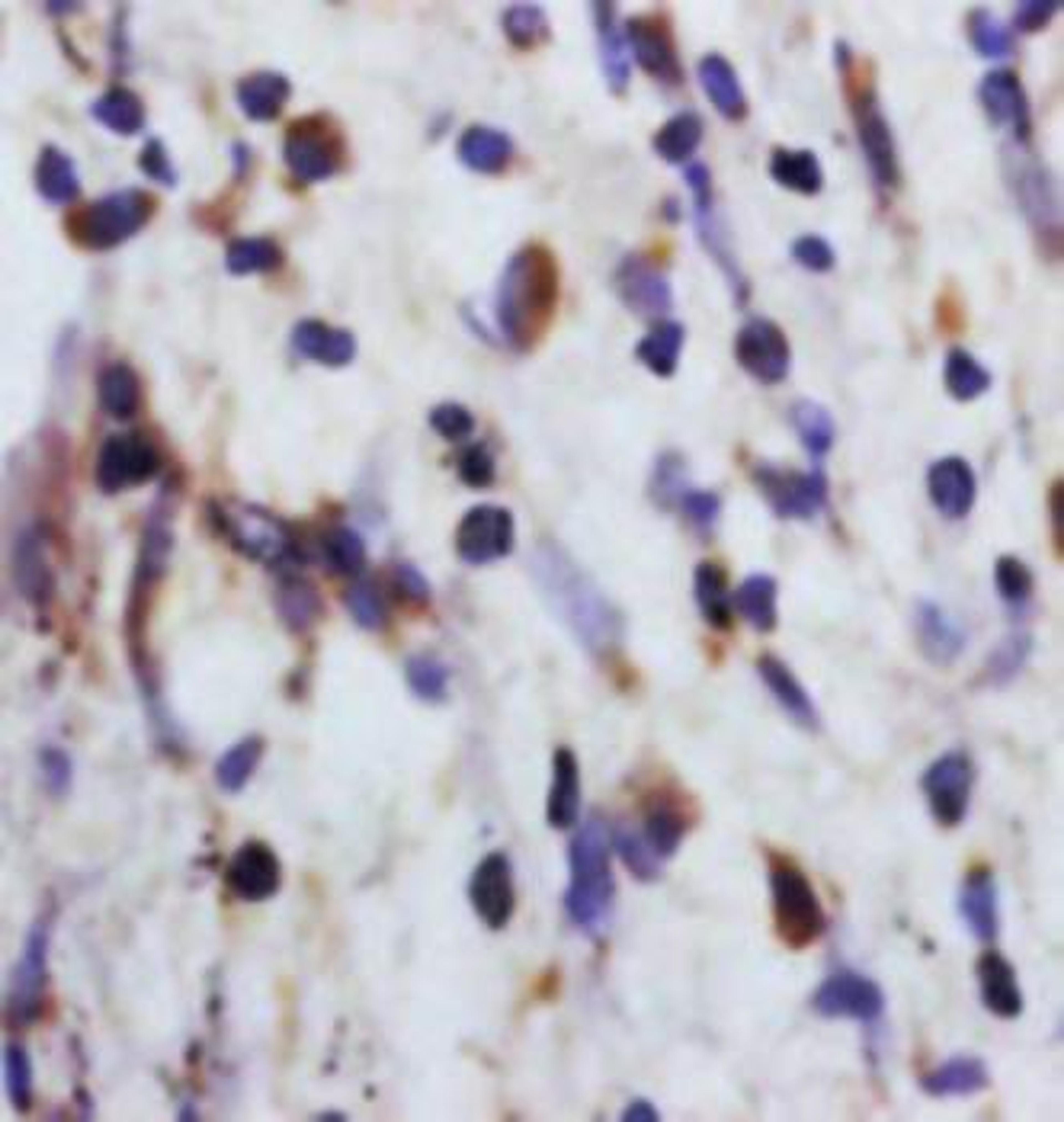
Clara cell protein 16 antibody
Product Details
- Cat. No.
- orb10261
- Type
- Primary Antibody
- Clonality
- Polyclonal
- Host
- Rabbit

The supplier does not provide quotations for this antibody through SelectScience. You can search for similar antibodies in our Antibody Directory.
Description
Rabbit polyclonal antibody to Clara cell protein 16
Biological Information
- Clonality: Polyclonal
- Host: Rabbit
- Reactivity: Mouse, Rat
- Isotype: IgG
- Gene: 2908
Handling
- Quantity: 50 µl, 100 µl, 20 µl (Trial size)
- Storage: Store at -20°C.Stable for 12 months from date of receipt.
- Buffer: Phosphate buffer saline, pH. 7.4, 150mM NaCl, 0.02% sodium azide and 50% glycerol.
Applications
- ELISA (ELISA)
- Immunohistochemistry (Paraffin-Embedded Sections) (IHC (P))
- Western Blotting (WB)


