Product & ReviewsAntibodies
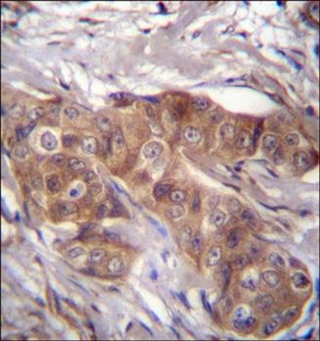
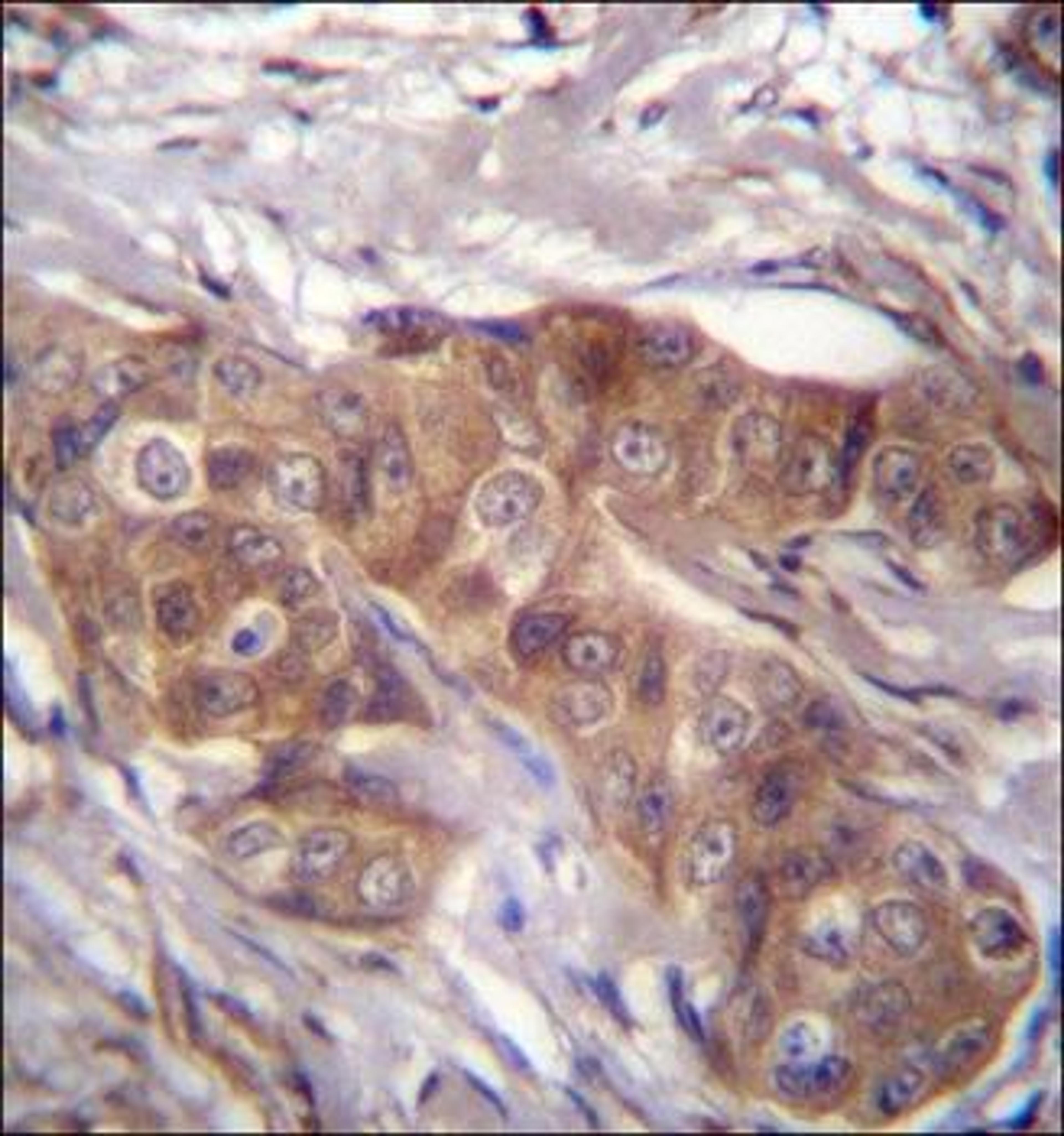
CLDN2 antibody
Product Details
- Cat. No.
- orb30656
- Type
- Primary Antibody
- Clonality
- Polyclonal
- Host
- Rabbit

The supplier does not provide quotations for this antibody through SelectScience. You can search for similar antibodies in our Antibody Directory.
Description
Peptide affinity purified rabbit polyclonal antibody.
Biological Information
- Clonality: Polyclonal
- Host: Rabbit
- Isotype: IgG
Handling
- Quantity: 50 µg, 100 µg
- Storage: Store at 4°C for up to two weeks. For long term storage, aliquot and store at -20°C, avoid freeze/thaw cycles.
- Buffer: Preservative: 0.03% Proclin 300Constituents: 50% Glycerol, 0.01M PBS, PH 7.4


