Product & ReviewsAntibodies
CLEC9A antibody
Product Details
- Cat. No.
- orb156399
- Type
- Primary Antibody
- Clonality
- Polyclonal
- Host
- Rabbit

The supplier does not provide quotations for this antibody through SelectScience. You can search for similar antibodies in our Antibody Directory.
Description
Rabbit polyclonal antibody to CLEC9A.
Biological Information
- Clonality: Polyclonal
- Host: Rabbit
- Reactivity: Human, Mouse, Rat
- Isotype: IgG
Handling
- Quantity: 100 μg
- Storage: Store at 4°C for up to two weeks. For long term storage, aliquot and store at -20°C, avoid freeze/thaw cycles.
- Buffer: 0.01M TBS (pH7.4), 0.5% BSA, 0.015% ProClin™ 300 and 25% glycerol
- Specificity: 3
Applications
- ELISA (ELISA)
- Immunocytochemistry (ICC)
- Immunofluorescence (IF)
- Immunohistochemistry (Paraffin-Embedded Sections) (IHC (P))
- Western Blotting (WB)
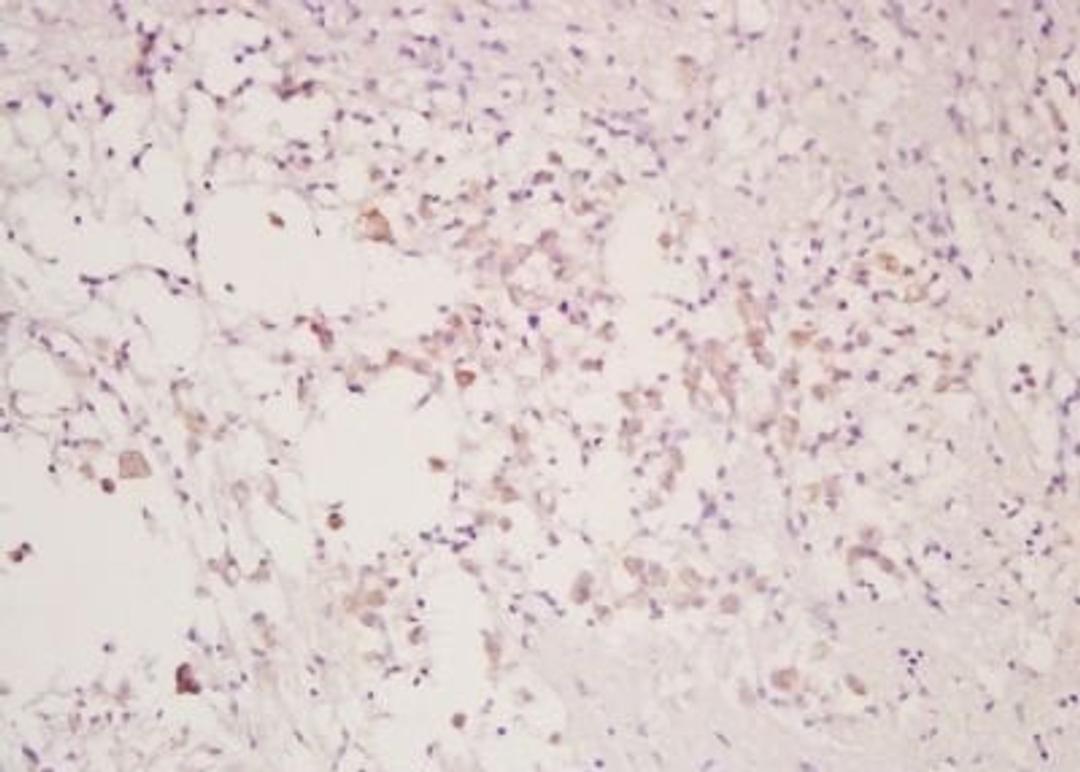
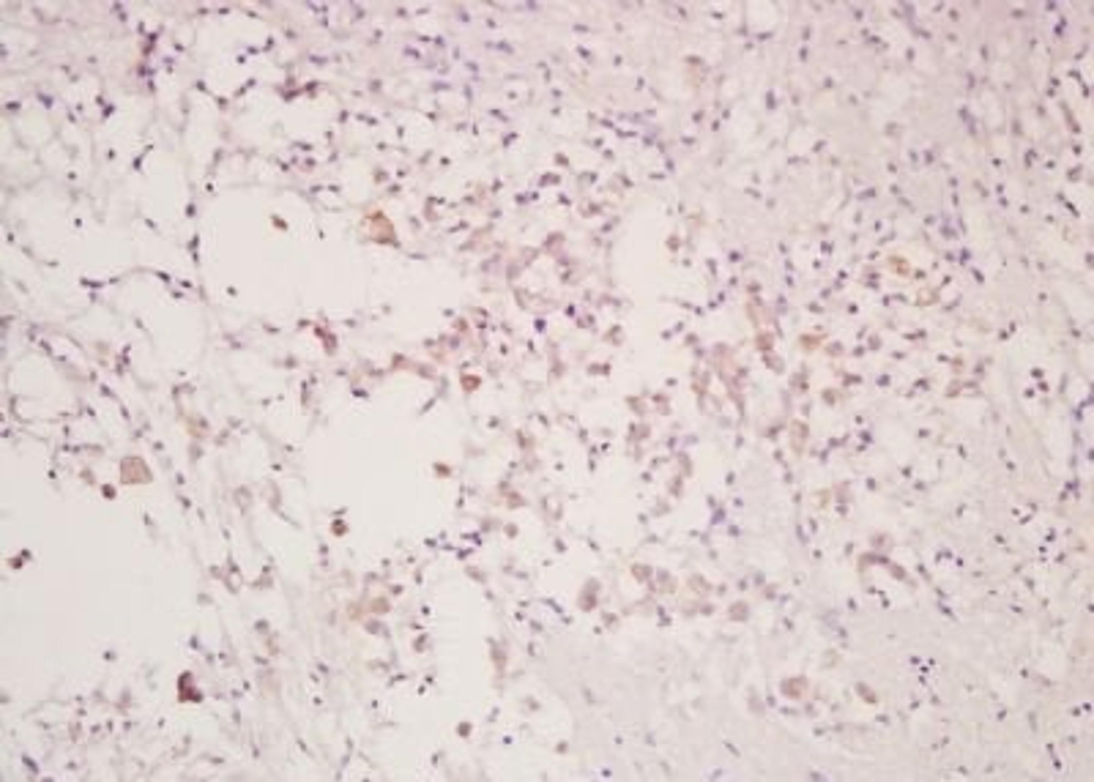
Satisfactory service from Biorbyt.
Application Area:
immunohistochemistry
Used on untreated and heat treated FFPE sections of human tonsil and mouse lymph node. Antibody concentrations of orb156399 tested were 10, 2 and 0.4µg/mL ON @ 4°C. Used with ABC-HRP and double-IF with XCL1 which resulted in some dbl+ but gave also many other unexpected single-CLEC9a positive cells. Our collaborator contacted Biorbyt and received another antibody.
Review Date: 15 Jan 2020 | Biorbyt


