Product & ReviewsAntibodies
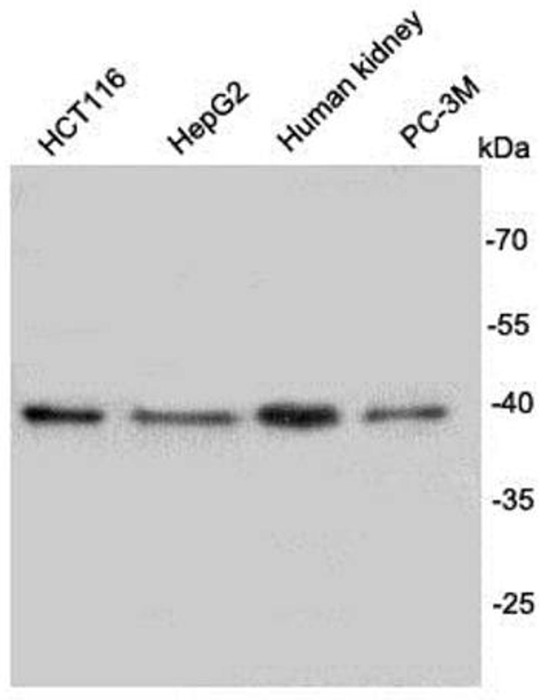
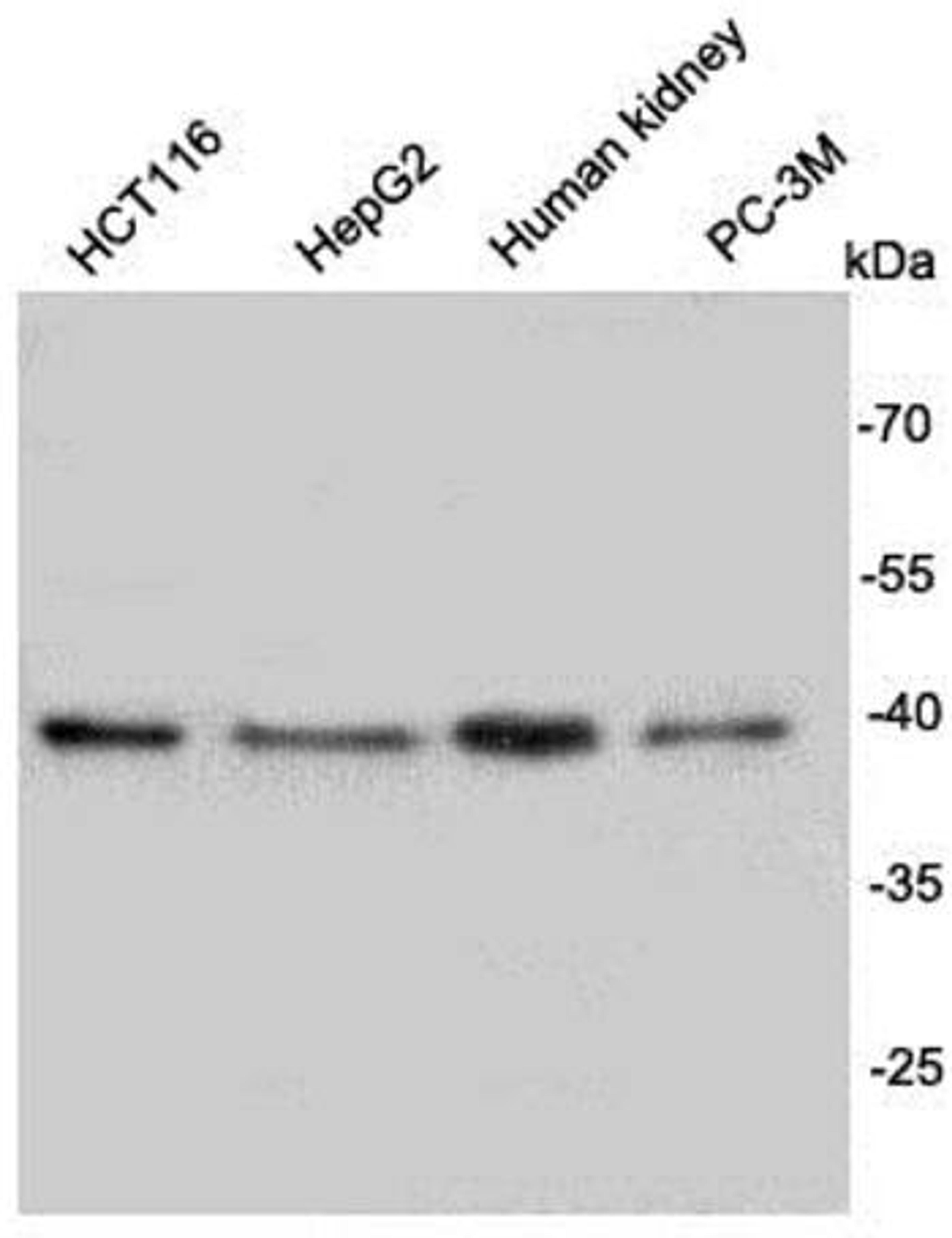
CRISPR-Cas9 antibody
Product Details
- Cat. No.
- orb195937
- Type
- Primary Antibody
- Clonality
- Monoclonal
- Host
- Rabbit

The supplier does not provide quotations for this antibody through SelectScience. You can search for similar antibodies in our Antibody Directory.


