Product & ReviewsAntibodies

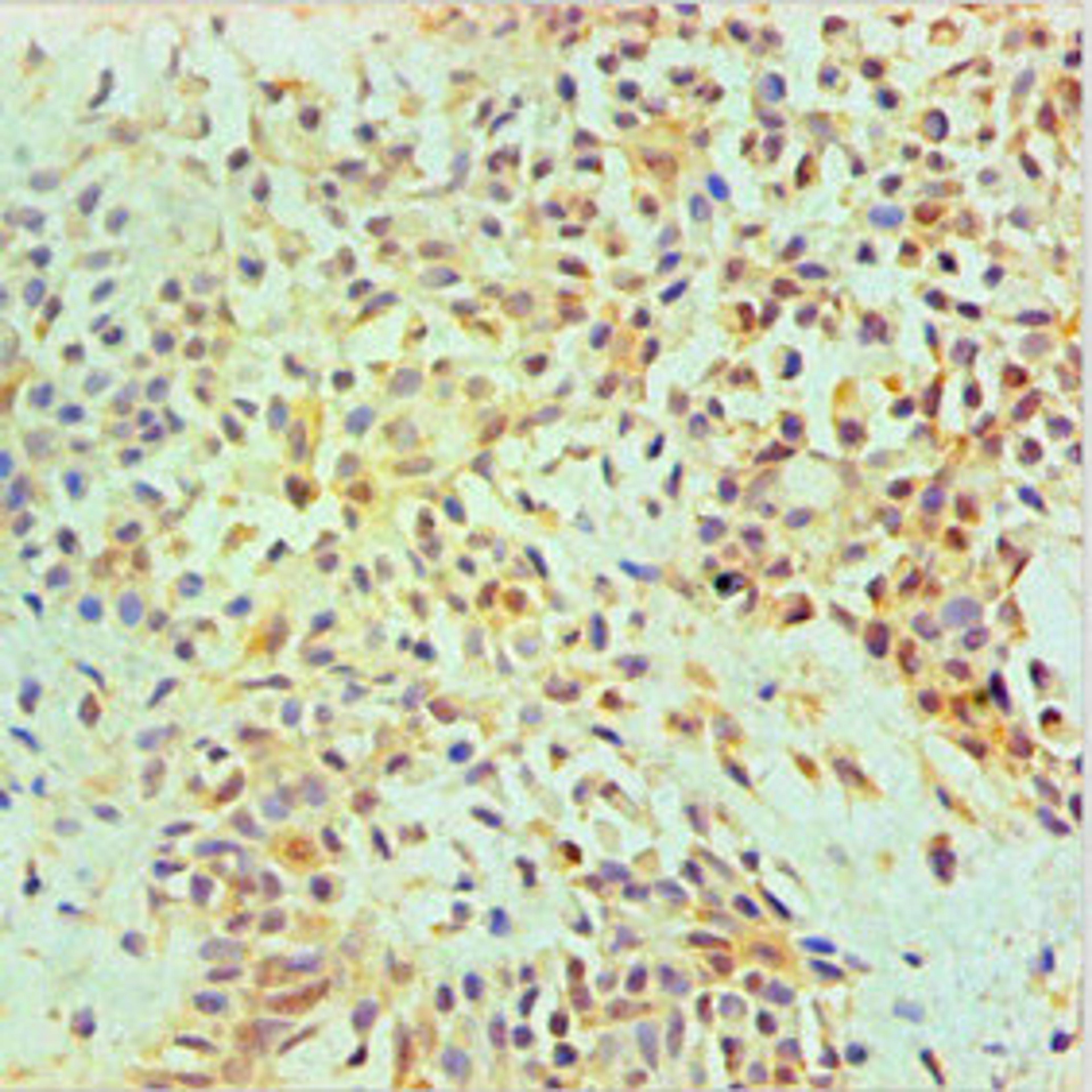
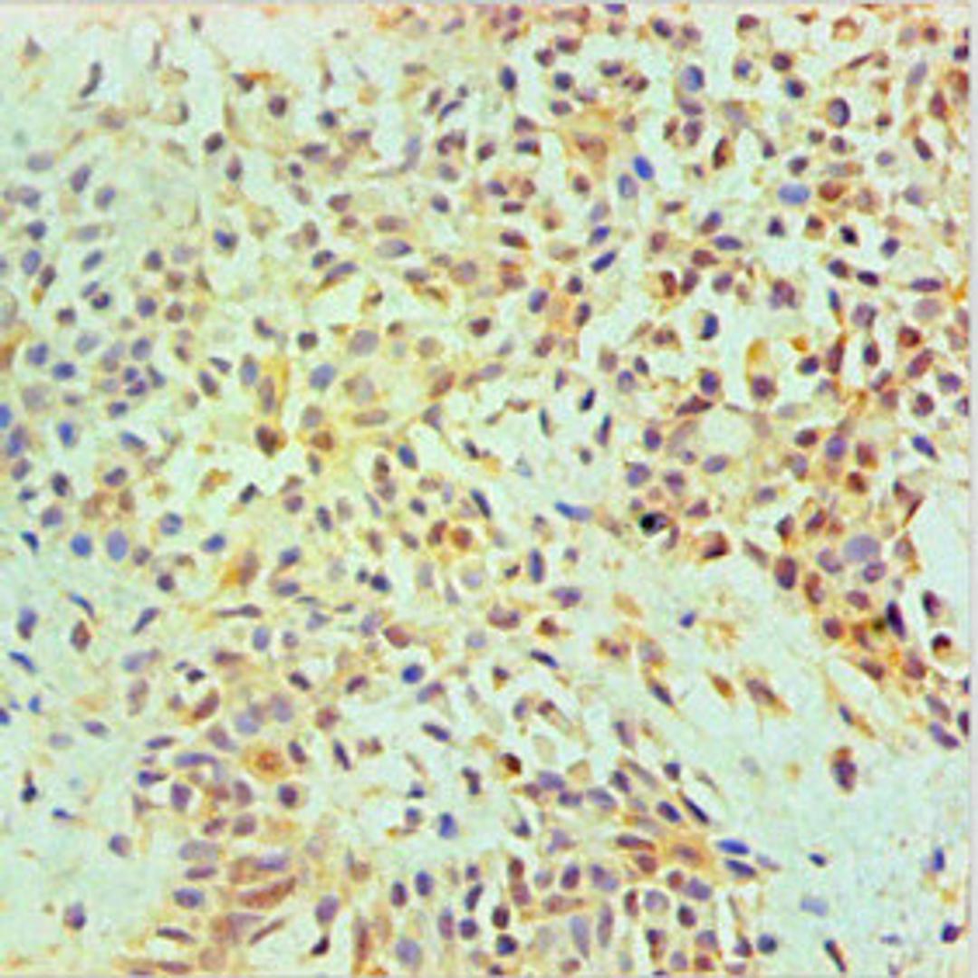
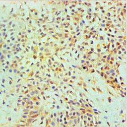
ANXA2 Monoclonal Antibody

Product Details

Cat. No.
CSB-MA0106441A0m
Type
Primary Antibody
Clonality
Monoclonal
Host
Mouse
Buy Now
CUSABIO

Receive your quote directly from the manufacturer.

Biological Information

  • Clonality: Monoclonal
  • Host: Mouse
  • Reactivity: Human
  • Antigen: Recombinant Human ANXA2 protein
  • Clone: 1A1E1
  • Conjugate: Non-conjugated
  • Isotype: IgG1
  • Modifications: Non-modification
  • Source: >95%,Protein G purified
  • Gene: P07355

Handling

  • Quantity: 100ug
  • Storage: Upon receipt, store at -20°C or -80°C. Avoid repeated freeze.
  • Buffer: Preservative: 0.03% Proclin 300<br />Constituents: 50% Glycerol, 0.01M PBS, PH 7.4

Applications

  • ELISA (ELISA)
  • Western Blotting (WB)
  • Immunohistochemistry (IHC)
Specificity rating
Sensitivity rating
Quality rating
Be the first to leave a review

Product Overview

Links