Product & ReviewsAntibodies
MAPK14 Monoclonal Antibody
Product Details
- Cat. No.
- CSB-MA626776
- Type
- Primary Antibody
- Clonality
- Monoclonal
- Host
- Mouse
Biological Information
- Clonality: Monoclonal
- Host: Mouse
- Reactivity: Human, Mouse, Rat
- Antigen: Synthetic Peptide of P38
- Clone: 5G5
- Conjugate: Non-conjugated
- Isotype: IgG
- Modifications: Non-modification
- Source: The antibody was affinity-purified from mouse ascites by affinity-chromatography using specific immunogen.
- Gene: Q16539
Handling
- Quantity: 100ug
- Storage: Upon receipt, store at -20°C or -80°C. Avoid repeated freeze.
- Buffer: PBS, pH 7.4, containing 0.02% sodium azide as Preservative and 50% Glycerol.
Applications
- ELISA (ELISA)
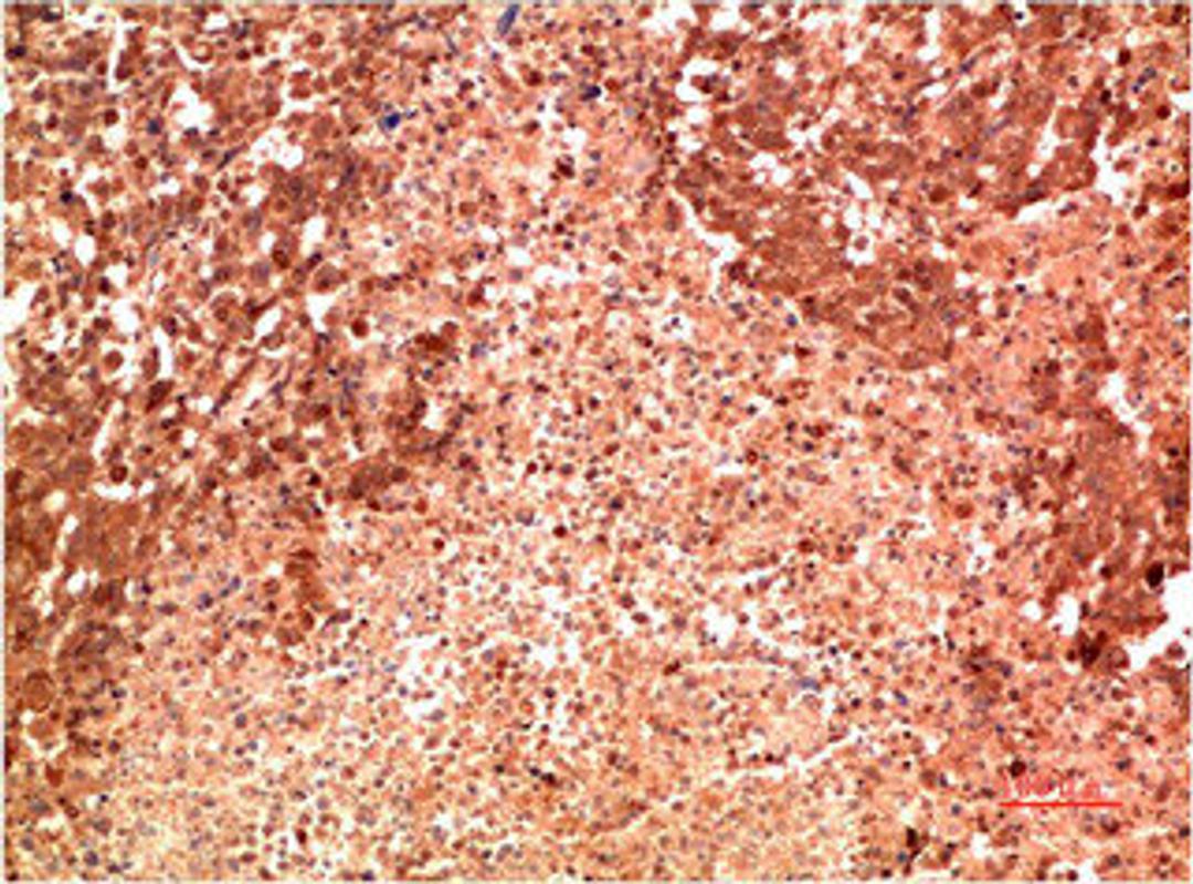
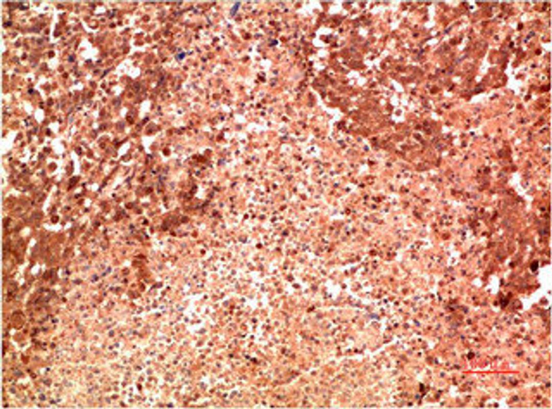
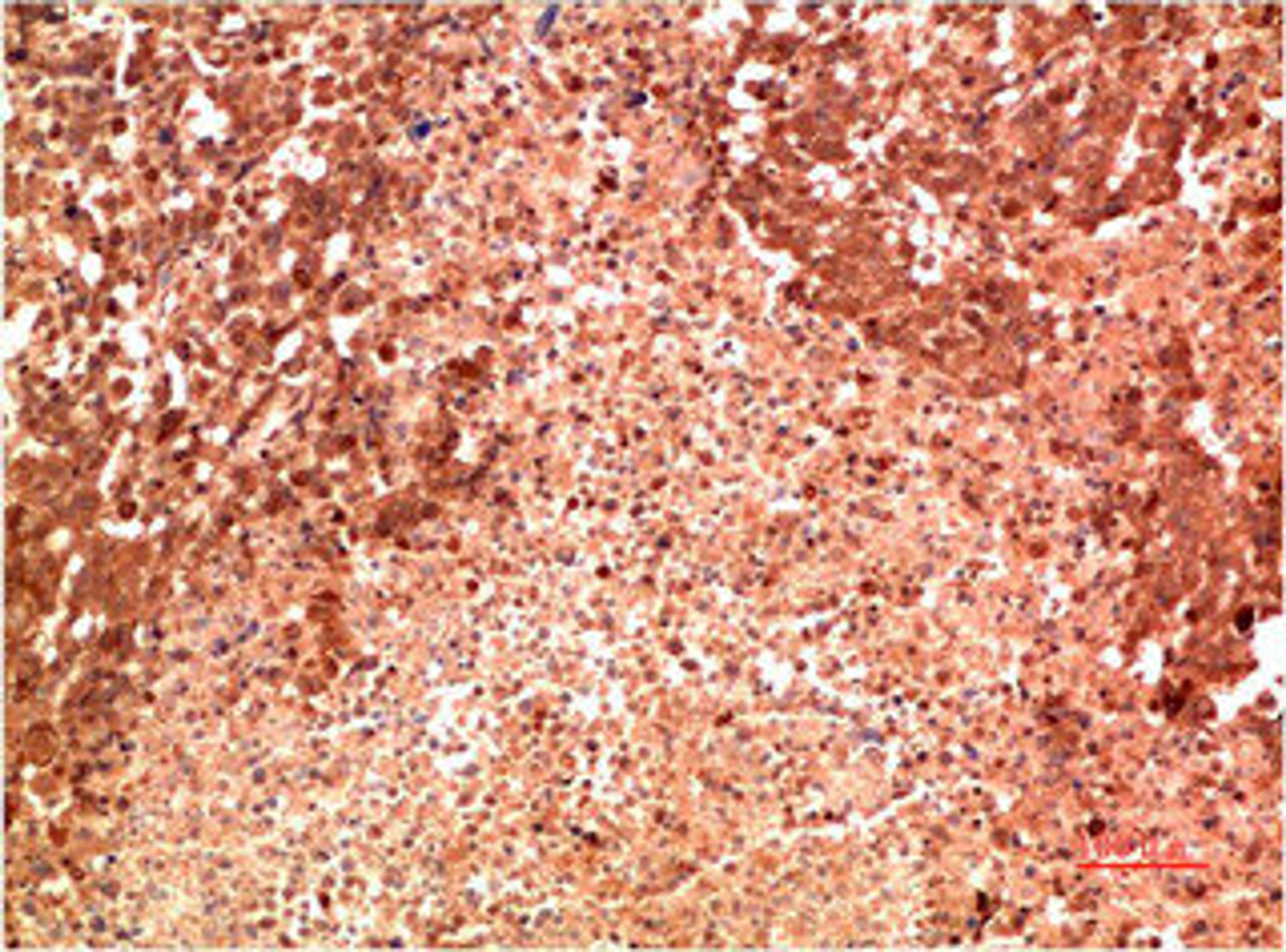
- Immunohistochemistry (IHC)



