Product & ReviewsAntibodies
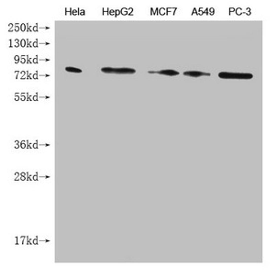
SMURF1 Monoclonal Antibody
Product Details
- Cat. No.
- CSB-MA875720A0m
- Type
- Primary Antibody
- Clonality
- Monoclonal
- Host
- Mouse
Biological Information
- Clonality: Monoclonal
- Host: Mouse
- Reactivity: Human
- Antigen: Recombinant Human E3 ubiquitin-protein ligase SMURF1 protein (198-374AA)
- Clone: 1A9H4
- Conjugate: Non-conjugated
- Isotype: IgG2a
- Modifications: Non-modification
- Source: >95%, Protein G purified
- Gene: Q9HCE7
Handling
- Quantity: 100ul
- Storage: Upon receipt, store at -20°C or -80°C. Avoid repeated freeze.
- Buffer: PBS with 0.1% Sodium Azide, 50% Glycerol, pH 7.3. -20°C, Avoid freeze / thaw cycles.
Applications
- ELISA (ELISA)
- Western Blotting (WB)
- Immunohistochemistry (IHC)
- Immunofluorescence (IF)
- Flow Cytometry (FC)



