Product & ReviewsAntibodies

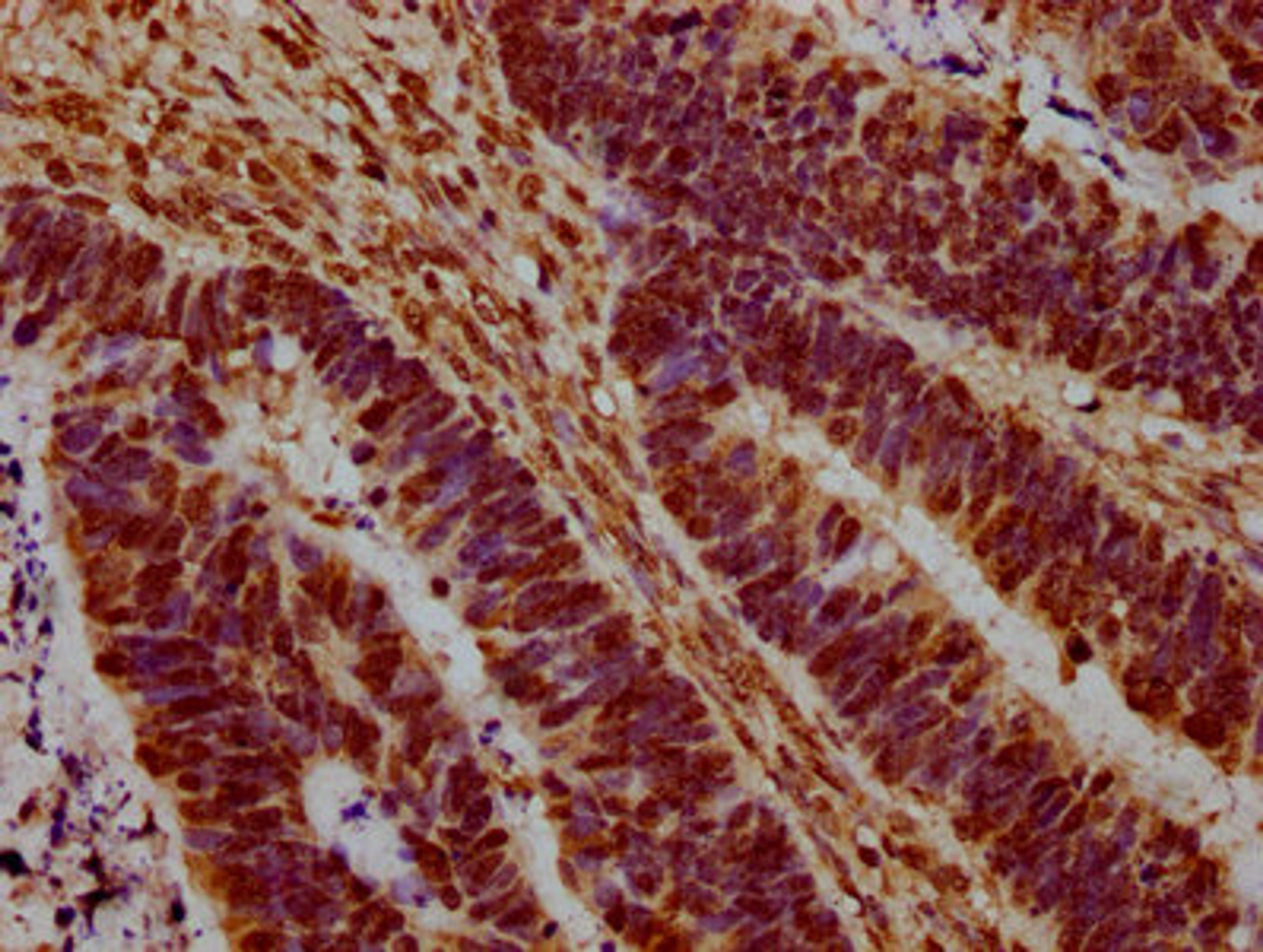
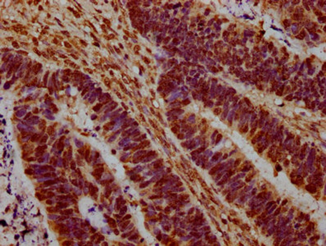
HIST1H1C (Ab-45) Antibody

Product Details

Cat. No.
CSB-PA010378OA45nme1HU
Type
Primary Antibody
Clonality
Polyclonal
Host
Rabbit
Buy Now
CUSABIO

Receive your quote directly from the manufacturer.

Biological Information

  • Clonality: Polyclonal
  • Host: Rabbit
  • Reactivity: Human
  • Antigen: Peptide sequence around site of Lys (45) derived from Human Histone H1.2
  • Clone: N/A
  • Conjugate: Non-conjugated
  • Isotype: IgG
  • Modifications: Non-modification
  • Source: Antigen Affinity Purified
  • Gene: P16403

Handling

  • Quantity: 100ul
  • Storage: Upon receipt, store at -20°C or -80°C. Avoid repeated freeze.
  • Buffer: Preservative: 0.03% Proclin 300<br />Constituents: 50% Glycerol, 0.01M PBS, pH 7.4

Applications

  • ELISA (ELISA)
  • Immunohistochemistry (IHC)
  • Immunofluorescence (IF)
  • Chromatin Immunoprecipitation (ChIP)
Specificity rating
Sensitivity rating
Quality rating
Be the first to leave a review

Product Overview

Links