Product & ReviewsAntibodies
HIST1H2BC (Ab-23) Antibody
Product Details
- Cat. No.
 - CSB-PA010403PA23nme1HU
 - Type
 - Primary Antibody
 - Clonality
 - Polyclonal
 - Host
 - Rabbit
 
Biological Information
- Clonality: Polyclonal
 - Host: Rabbit
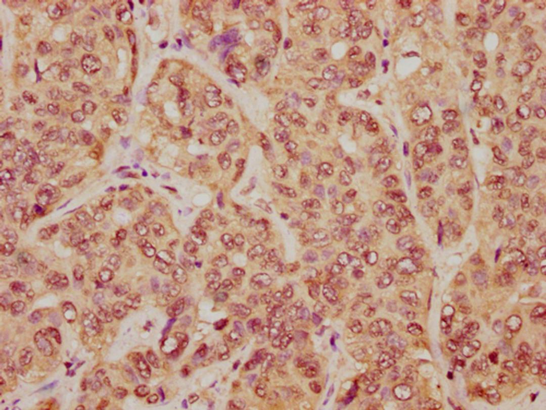
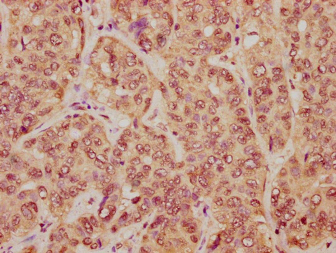
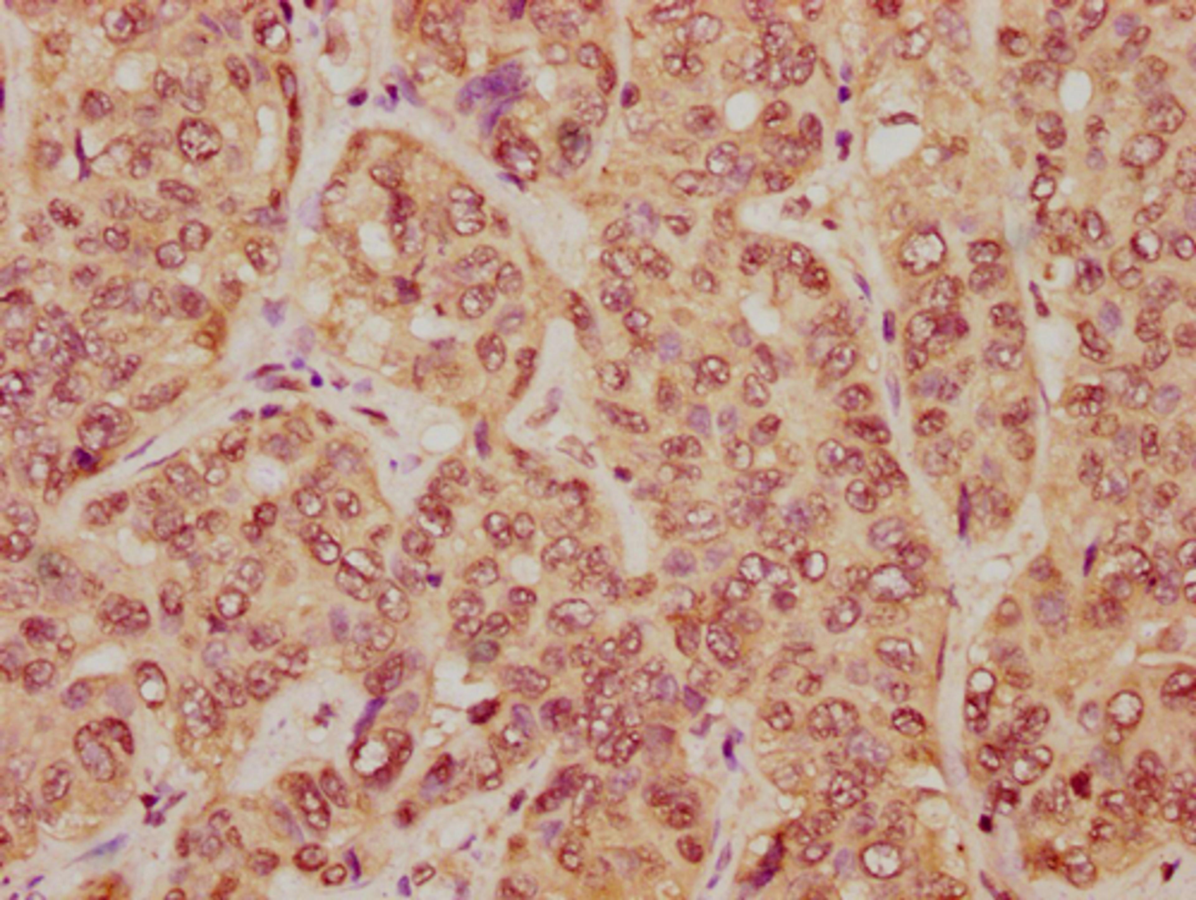
 - Reactivity: Human
 - Antigen: Synthesized peptide derived from Human Histone H2B type 1-C/E/F/G/I protein (17-28aa)
 - Clone: N/A
 - Conjugate: Non-conjugated
 - Isotype: IgG
 - Modifications: Non-modification
 - Source: Antigen Affinity Purified
 - Gene: P62807
 
Handling
- Quantity: 100ul
 - Storage: Upon receipt, store at -20°C or -80°C. Avoid repeated freeze.
 - Buffer: Preservative: 0.03% Proclin 300<br />Constituents: 50% Glycerol, 0.01M PBS, pH 7.4
 
Applications
- ELISA (ELISA)
 - Immunohistochemistry (IHC)
 



