Product & ReviewsAntibodies
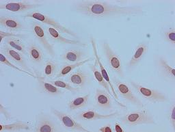
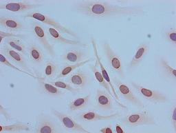
Acetyl-HIST1H4A (K12) Antibody
Product Details
- Cat. No.
- CSB-PA010429PA12acHU
- Type
- Primary Antibody
- Clonality
- Polyclonal
- Host
- Rabbit
Biological Information
- Clonality: Polyclonal
- Host: Rabbit
- Reactivity: Human
- Antigen: Peptide sequence around site of Acetyl-Lys (12) derived from Human Histone H4
- Clone: N/A
- Conjugate: Non-conjugated
- Isotype: IgG
- Modifications: Acetylated
- Source: Antigen Affinity Purified
- Gene: P62805
Handling
- Quantity: 100ul
- Storage: Upon receipt, store at -20°C or -80°C. Avoid repeated freeze.
- Buffer: Preservative: 0.03% Proclin 300<br />Constituents: 50% Glycerol, 0.01M PBS, pH 7.4
Applications
- ELISA (ELISA)
- Immunocytochemistry (ICC)
- Immunofluorescence (IF)
- Chromatin Immunoprecipitation (ChIP)



