Product & ReviewsAntibodies
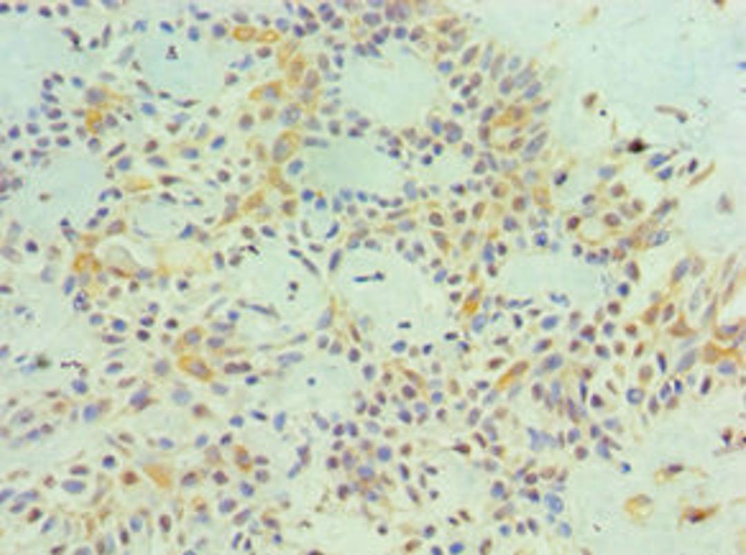
MAGEA1 Antibody
Product Details
- Cat. No.
- CSB-PA013323ESR2HU
- Type
- Primary Antibody
- Clonality
- Polyclonal
- Host
- Rabbit
Biological Information
- Clonality: Polyclonal
- Host: Rabbit
- Reactivity: Human
- Antigen: Recombinant Human Melanoma-associated antigen 1 protein (1-309AA)
- Clone: N/A
- Conjugate: Non-conjugated
- Isotype: IgG
- Modifications: Non-modification
- Source: Antigen Affinity Purified
- Gene: P43355
Handling
- Quantity: 100ul
- Storage: Upon receipt, store at -20°C or -80°C. Avoid repeated freeze.
- Buffer: PBS with 0.02% sodium azide, 50% glycerol, pH7.3.
Applications
- ELISA (ELISA)
- Immunohistochemistry (IHC)
- Immunoprecipitation (IP)



