Product & ReviewsAntibodies
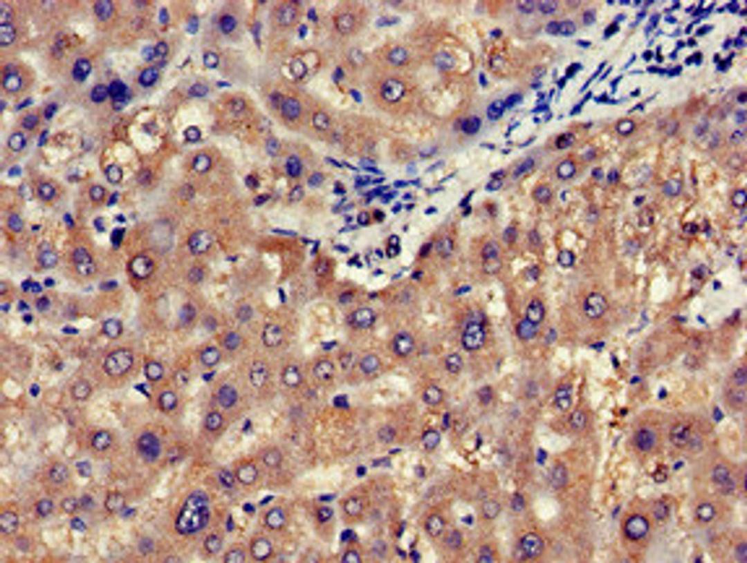
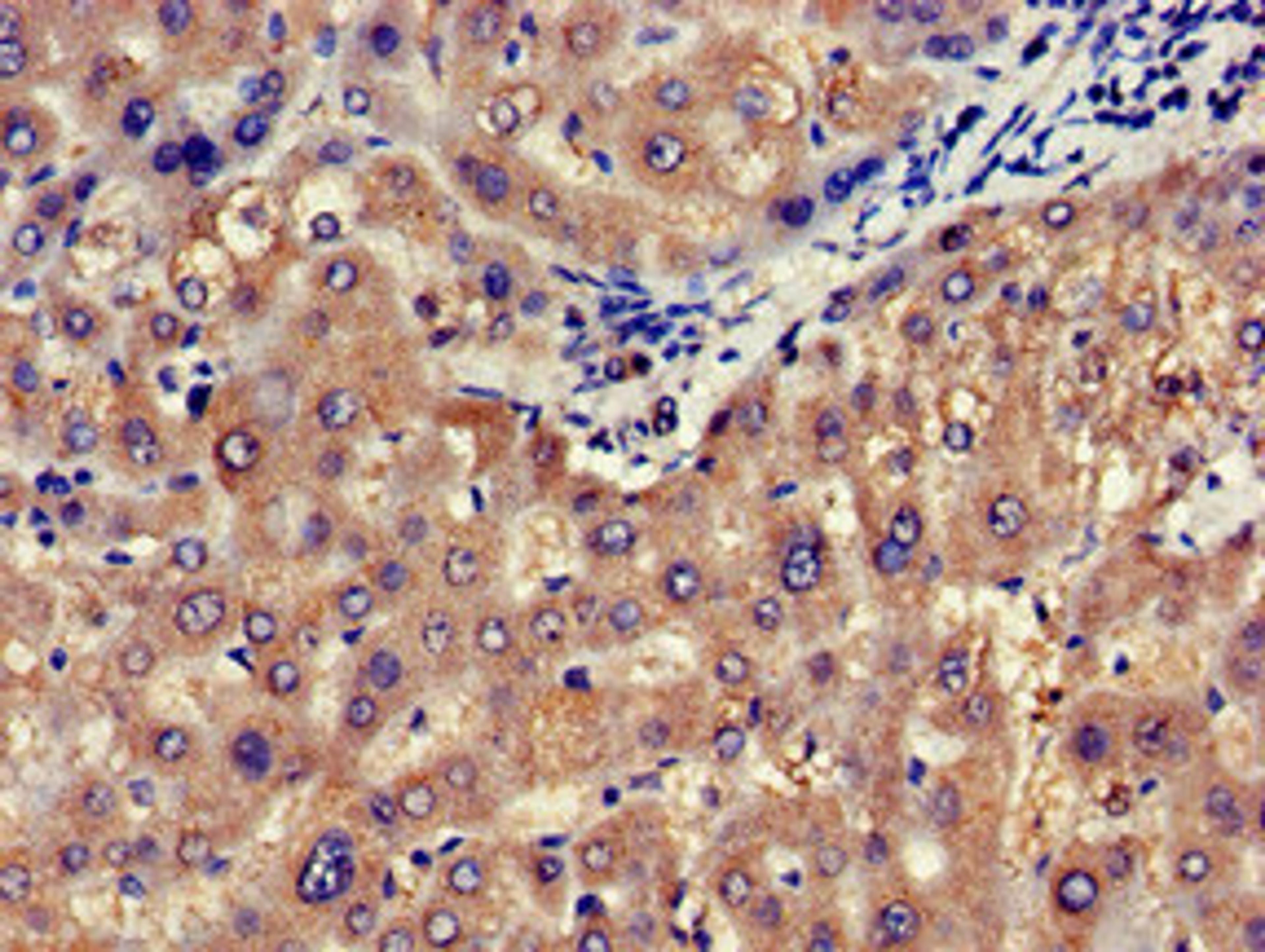
NOS1AP Antibody
Product Details
- Cat. No.
 - CSB-PA015942LA01HU
 - Type
 - Primary Antibody
 - Clonality
 - Polyclonal
 - Host
 - Rabbit
 
Biological Information
- Clonality: Polyclonal
 - Host: Rabbit
 - Reactivity: Human
 - Antigen: Recombinant Human Carboxyl-terminal PDZ ligand of neuronal nitric oxide synthase protein (176-288AA)
 - Clone: N/A
 - Conjugate: Non-conjugated
 - Isotype: IgG
 - Modifications: Non-modification
 - Source: >95%, Protein G purified
 - Gene: O75052
 
Handling
- Quantity: 100ug
 - Storage: Upon receipt, store at -20°C or -80°C. Avoid repeated freeze.
 - Buffer: Preservative: 0.03% Proclin 300<br />Constituents: 50% Glycerol, 0.01M PBS, pH 7.4
 
Applications
- ELISA (ELISA)
 - Immunohistochemistry (IHC)
 - Immunofluorescence (IF)
 



