Product & ReviewsAntibodies

TMPRSS15 Antibody

Product Details

Cat. No.
CSB-PA018824ESR2HU
Type
Primary Antibody
Clonality
Polyclonal
Host
Rabbit
Buy Now
CUSABIO

Receive your quote directly from the manufacturer.

Biological Information

  • Clonality: Polyclonal
  • Host: Rabbit
  • Reactivity: Human
  • Antigen: Recombinant Human Enteropeptidase protein (40-300AA)
  • Clone: N/A
  • Conjugate: Non-conjugated
  • Isotype: IgG
  • Modifications: Non-modification
  • Source: Antigen Affinity Purified
  • Gene: P98073

Handling

  • Quantity: 100ul
  • Storage: Upon receipt, store at -20°C or -80°C. Avoid repeated freeze.
  • Buffer: PBS with 0.02% sodium azide, 50% glycerol, pH7.3.

Applications

  • ELISA (ELISA)
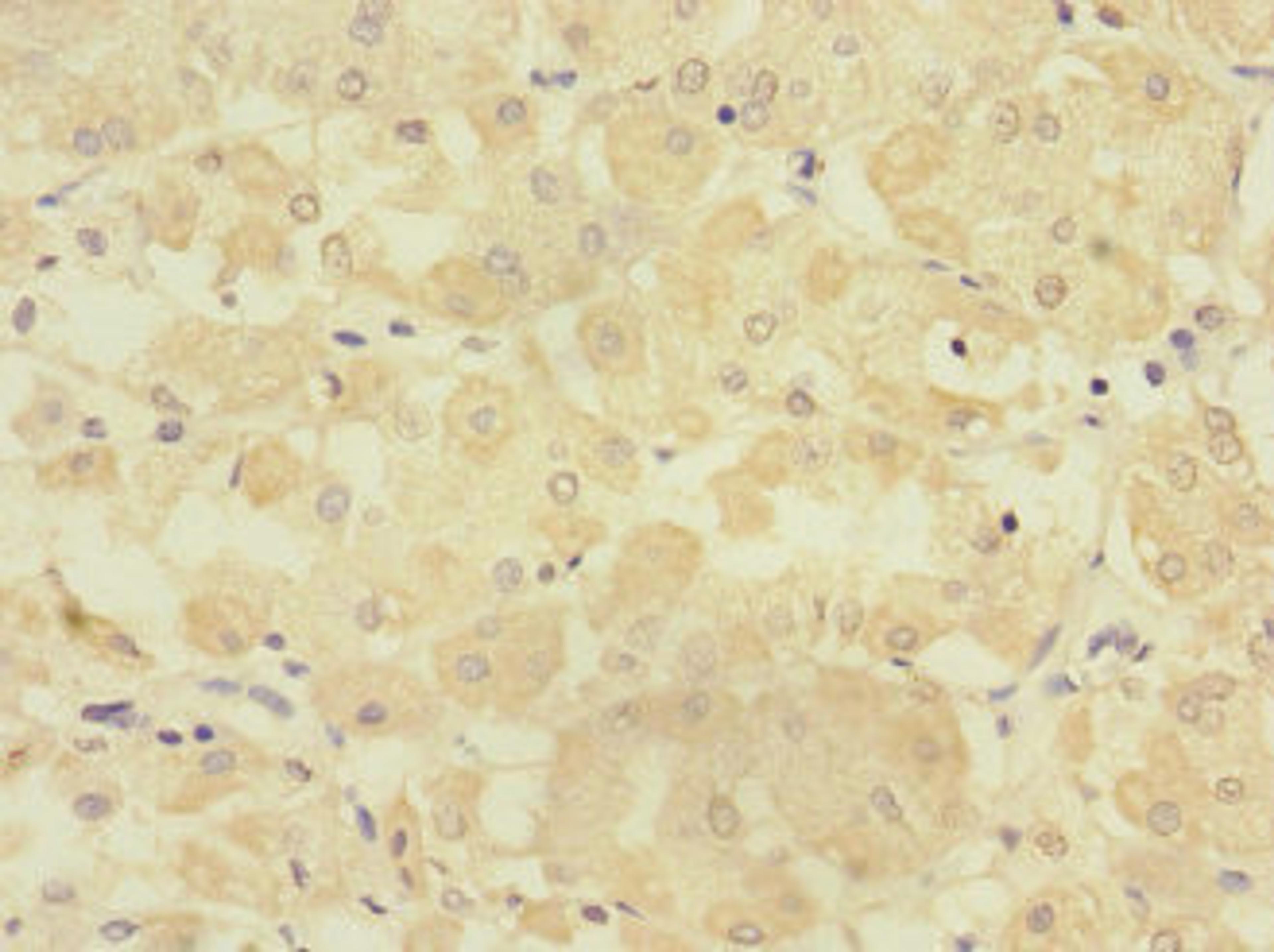
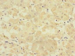
  • Immunohistochemistry (IHC)
  • Immunoprecipitation (IP)
Specificity rating
Sensitivity rating
Quality rating
Be the first to leave a review

Product Overview

Links