Product & ReviewsAntibodies
ASCL1 Antibody
Product Details
- Cat. No.
- CSB-PA677053
- Type
- Primary Antibody
- Clonality
- Polyclonal
- Host
- Rabbit
Biological Information
- Clonality: Polyclonal
- Host: Rabbit
- Reactivity: Human, Mouse, Rat
- Antigen: Synthetic peptide from Human protein at AA range: 190-236
- Clone: N/A
- Conjugate: Non-conjugated
- Isotype: IgG
- Modifications: Non-modification
- Source: The antibody was affinity-purified from rabbit serum by affinity-chromatography using specific immunogen.
- Gene: P50553
Handling
- Quantity: 100ug
- Storage: Upon receipt, store at -20°C or -80°C. Avoid repeated freeze.
- Buffer: PBS, pH 7.4, containing 0.02% sodium azide as Preservative and 50% Glycerol.
Applications
- ELISA (ELISA)
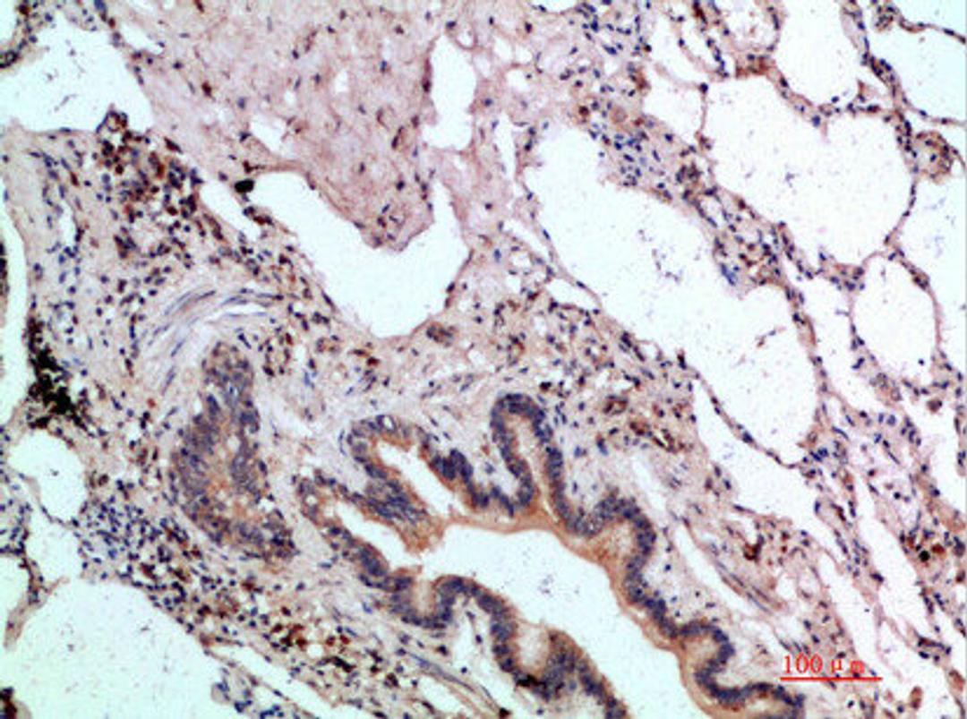
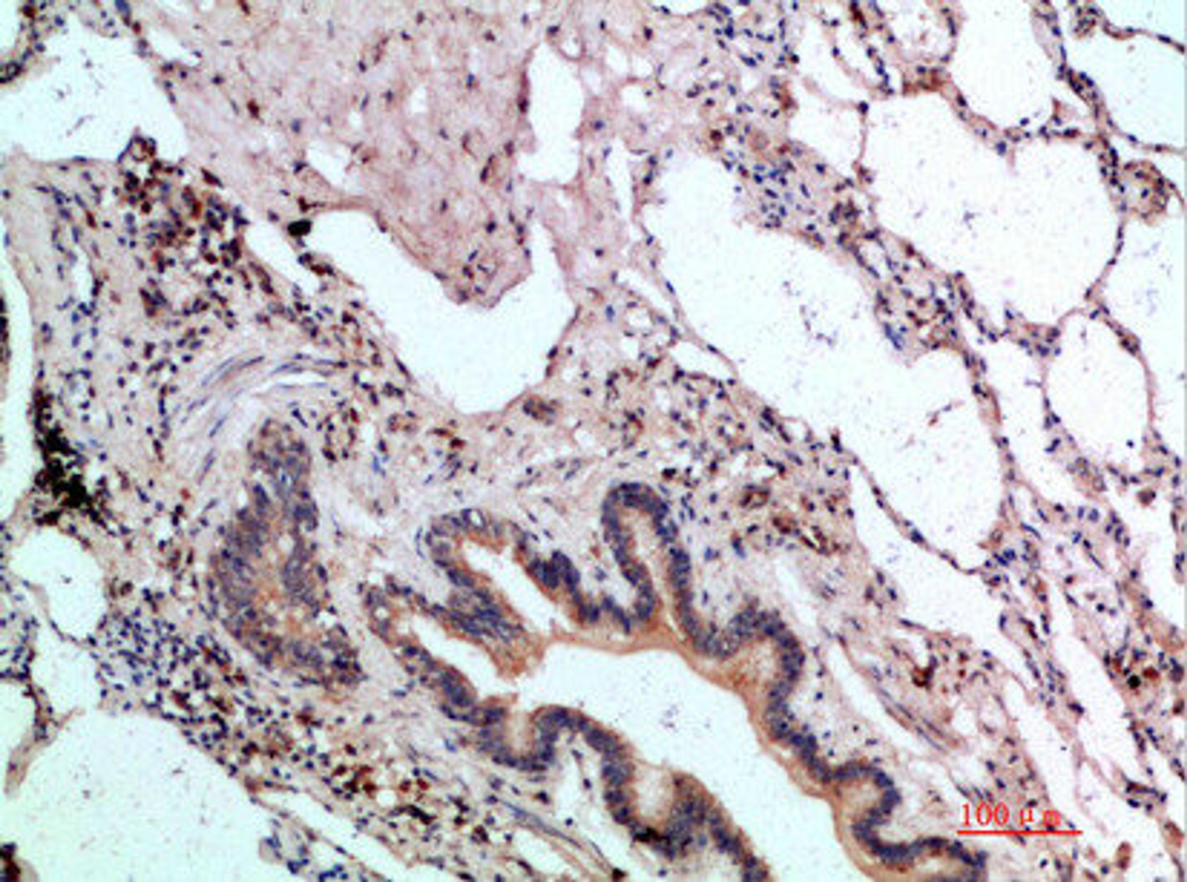
- Immunohistochemistry (IHC)



