Product & ReviewsAntibodies
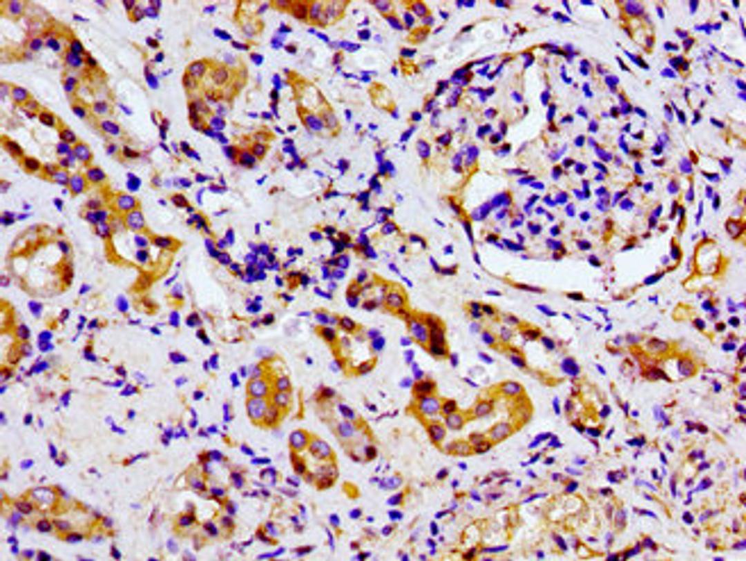
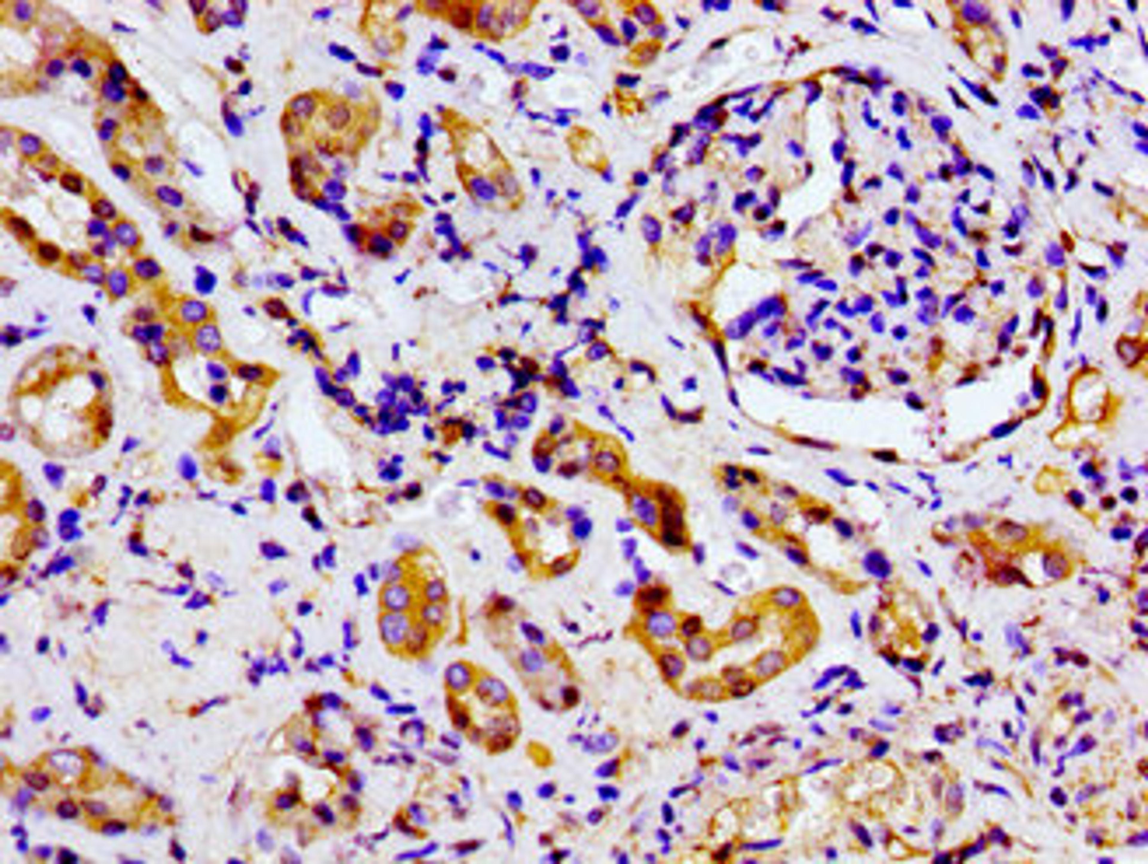
MARK2 Antibody
Product Details
- Cat. No.
- CSB-PA762568LA01HU
- Type
- Primary Antibody
- Clonality
- Polyclonal
- Host
- Rabbit
Biological Information
- Clonality: Polyclonal
- Host: Rabbit
- Reactivity: Human
- Antigen: Recombinant Human Serine/threonine-protein kinase MARK2 protein (373-594AA)
- Clone: N/A
- Conjugate: Non-conjugated
- Isotype: IgG
- Modifications: Non-modification
- Source: >95%, Protein G purified
- Gene: Q7KZI7
Handling
- Quantity: 100ug
- Storage: Upon receipt, store at -20°C or -80°C. Avoid repeated freeze.
- Buffer: Preservative: 0.03% Proclin 300<br />Constituents: 50% Glycerol, 0.01M PBS, pH 7.4
Applications
- ELISA (ELISA)
- Western Blotting (WB)
- Immunohistochemistry (IHC)



