Product & ReviewsAntibodies
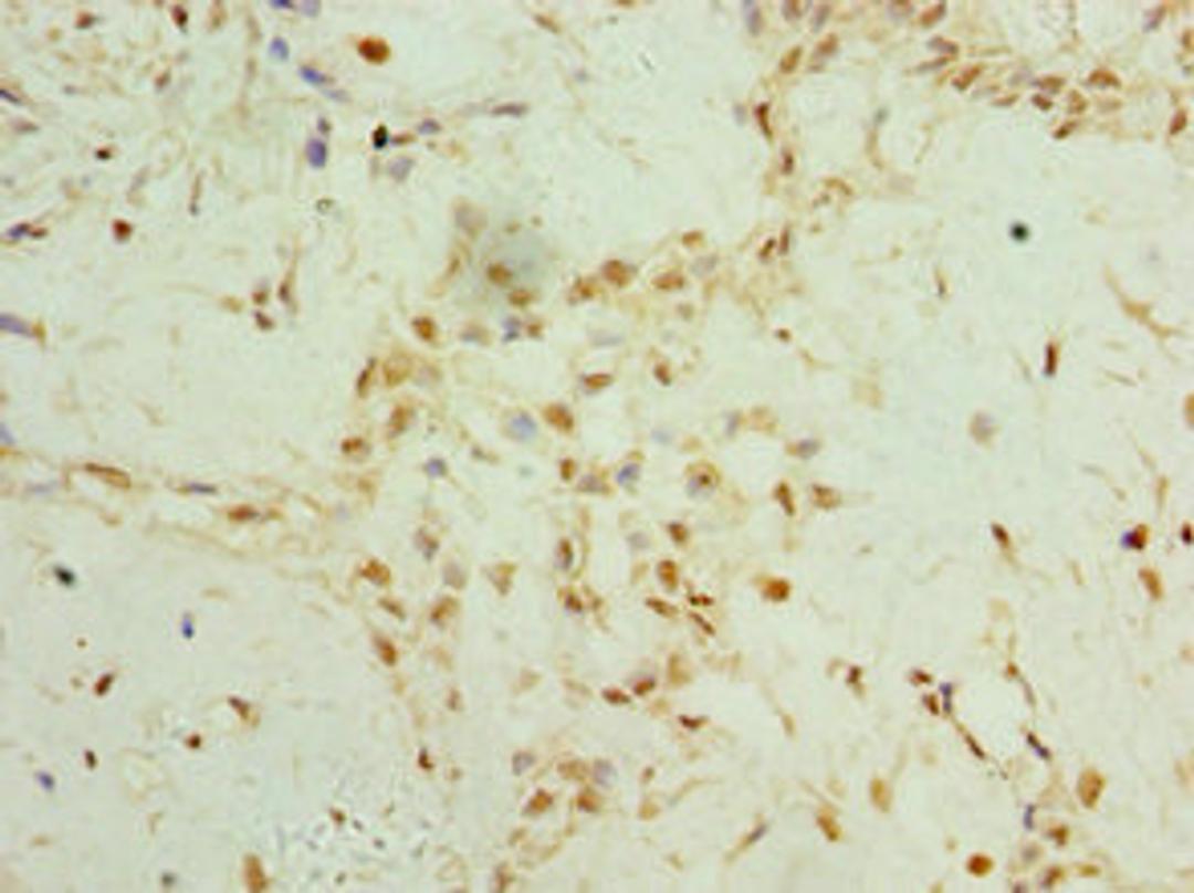
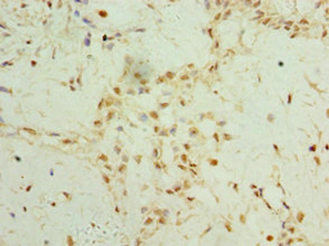
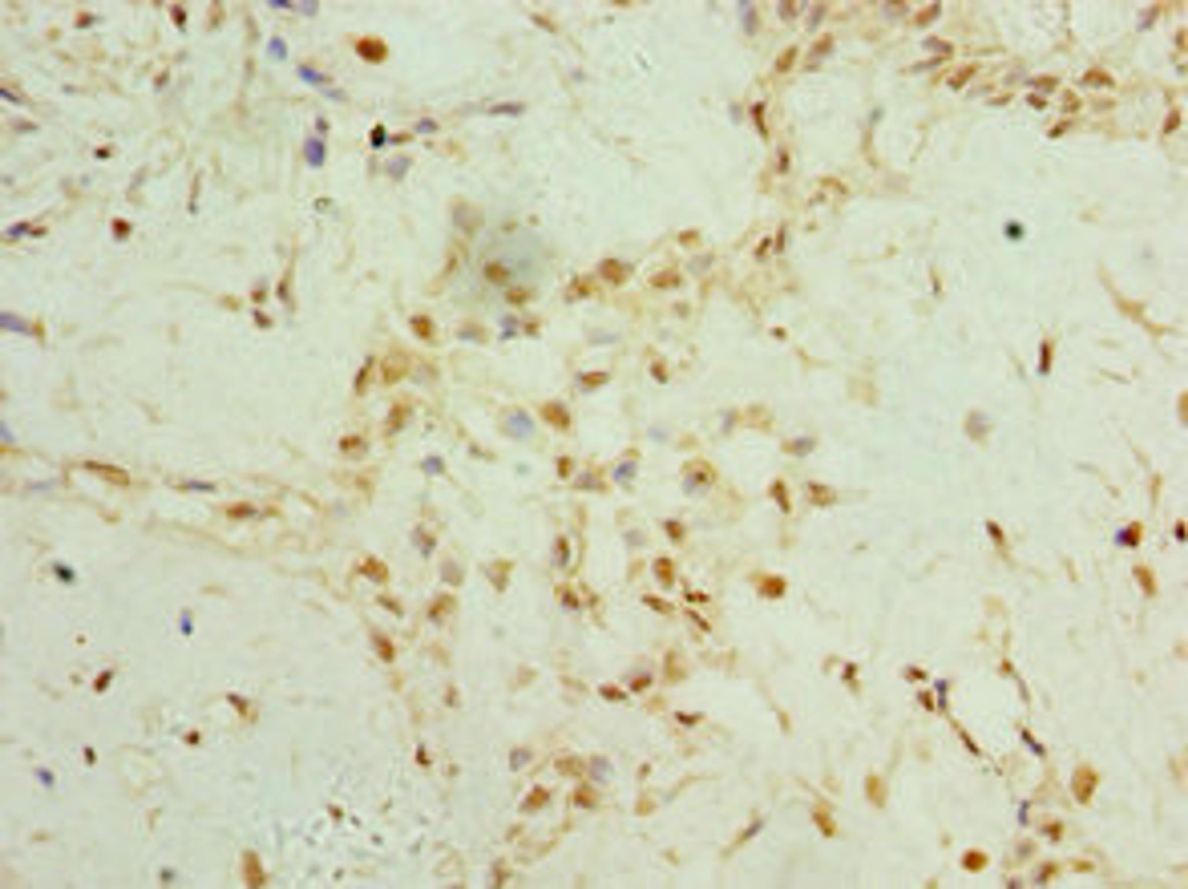
TET2 Antibody
Product Details
- Cat. No.
 - CSB-PA764560ESR1HU
 - Type
 - Primary Antibody
 - Clonality
 - Polyclonal
 - Host
 - Rabbit
 
Biological Information
- Clonality: Polyclonal
 - Host: Rabbit
 - Reactivity: Human
 - Antigen: Recombinant Human Methylcytosine dioxygenase TET2 protein (1833-2002AA)
 - Clone: N/A
 - Conjugate: Non-conjugated
 - Isotype: IgG
 - Modifications: Non-modification
 - Source: Antigen Affinity Purified
 - Gene: Q6N021
 
Handling
- Quantity: 100ul
 - Storage: Upon receipt, store at -20°C or -80°C. Avoid repeated freeze.
 - Buffer: PBS with 0.02% sodium azide, 50% glycerol, pH7.3.
 
Applications
- ELISA (ELISA)
 - Immunohistochemistry (IHC)
 



