Product & ReviewsAntibodies
APCS Recombinant Monoclonal Antibody
Product Details
- Cat. No.
- CSB-RA001898MA1HU
- Type
- Primary Antibody
- Clonality
- Monoclonal
Biological Information
- Clonality: Monoclonal
- Reactivity: Human
- Antigen: Recombinant Human APCS protein
- Clone: 25G7
- Conjugate: Non-conjugated
- Isotype: hIgG1
- Modifications: Non-modification
- Source: Affinity-chromatography
- Gene: P02743
Handling
- Quantity: 100ul
- Storage: Upon receipt, store at -20°C or -80°C. Avoid repeated freeze.
- Buffer: Preservative: 0.03% Proclin 300<br />Constituents: 50% Glycerol, 0.01M PBS, PH 7.4
Applications
- ELISA (ELISA)
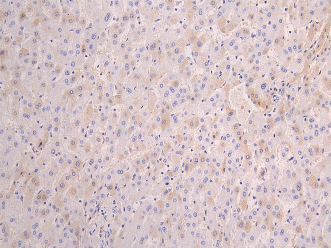
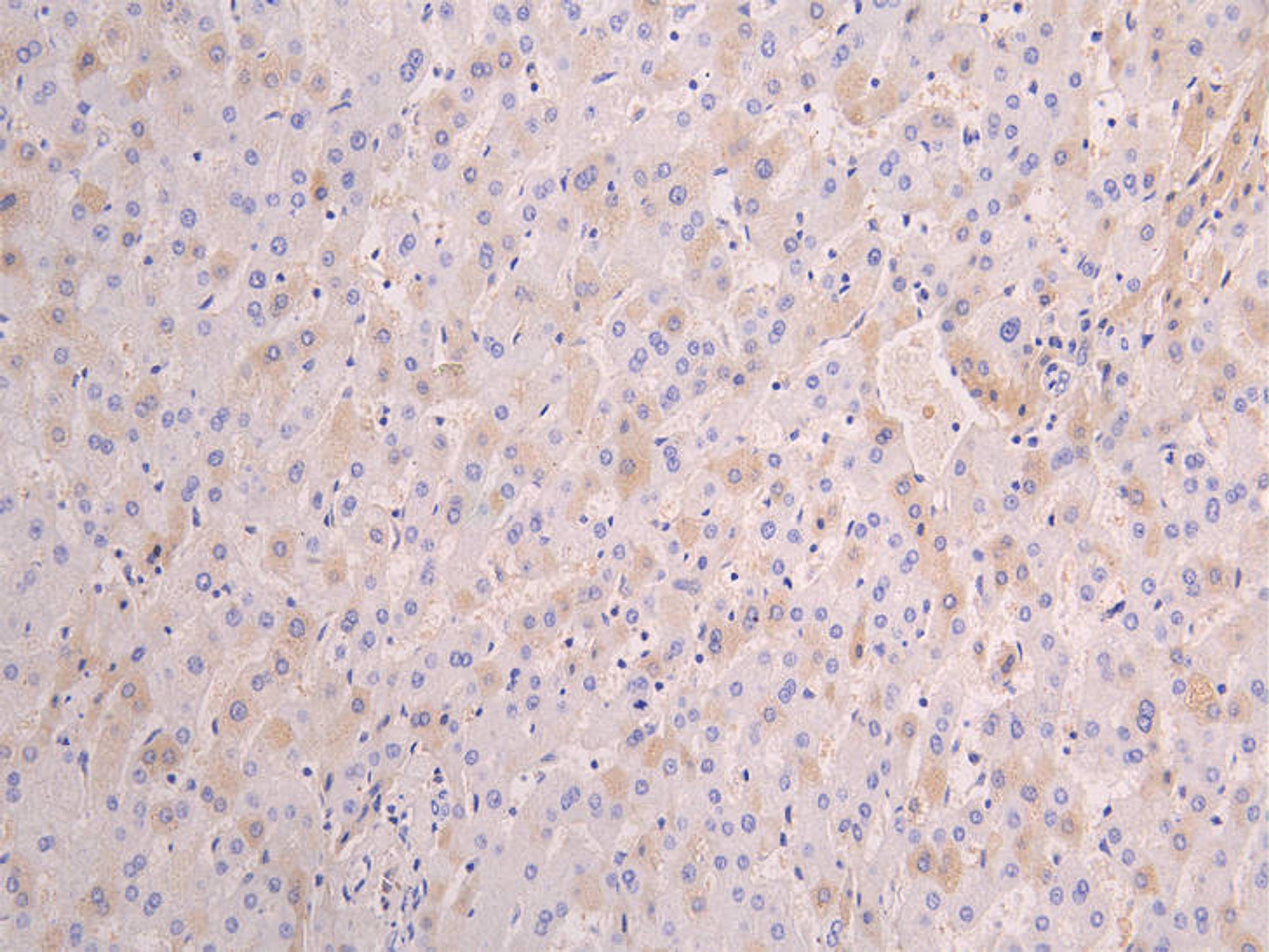
- Immunohistochemistry (IHC)



