Product & ReviewsAntibodies
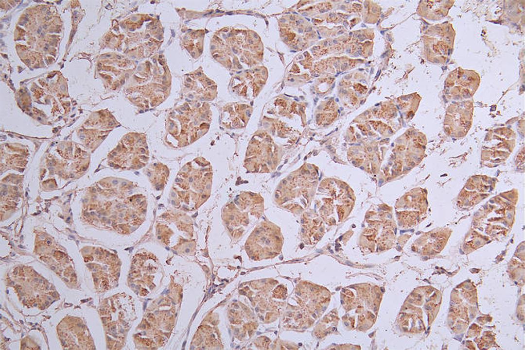
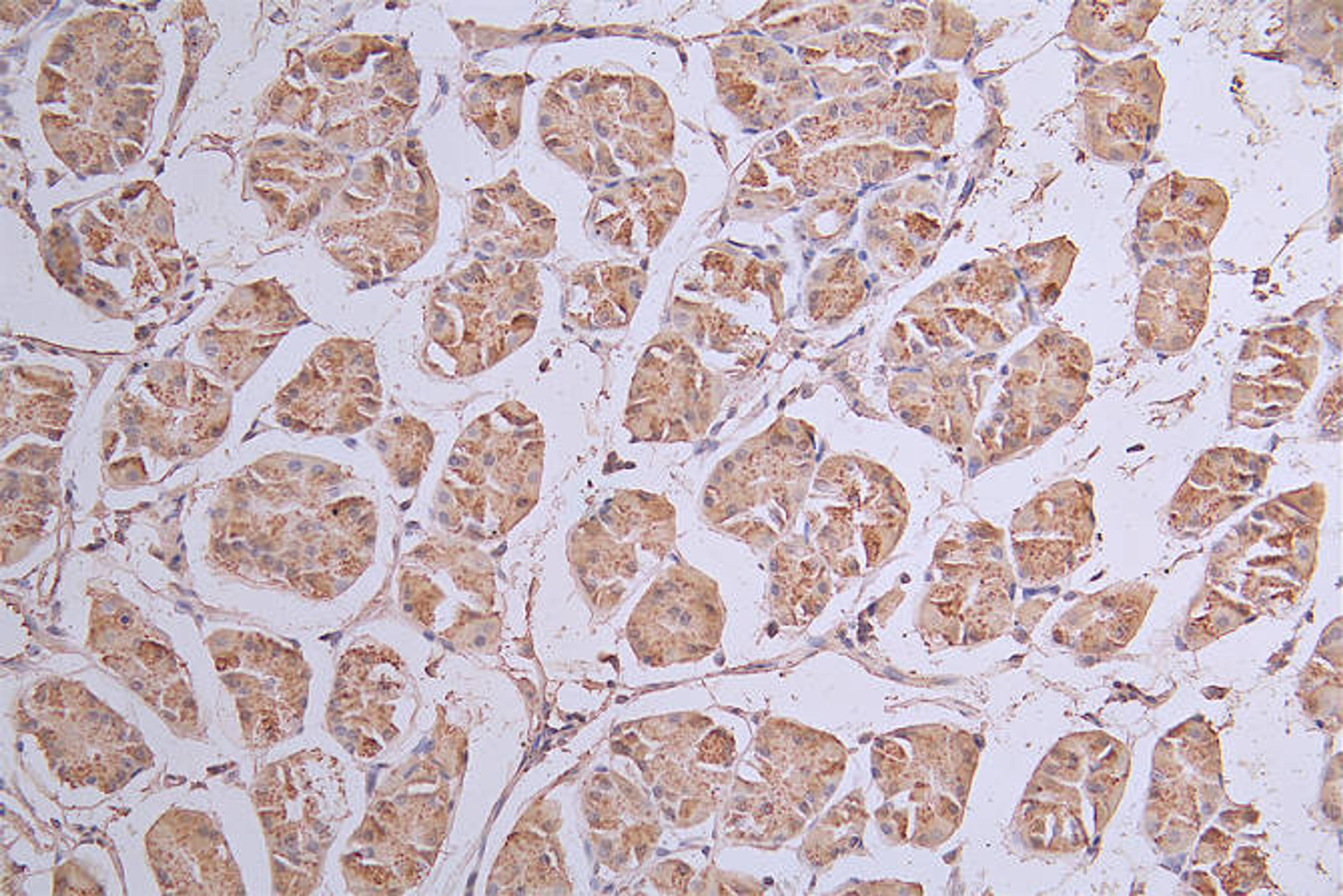
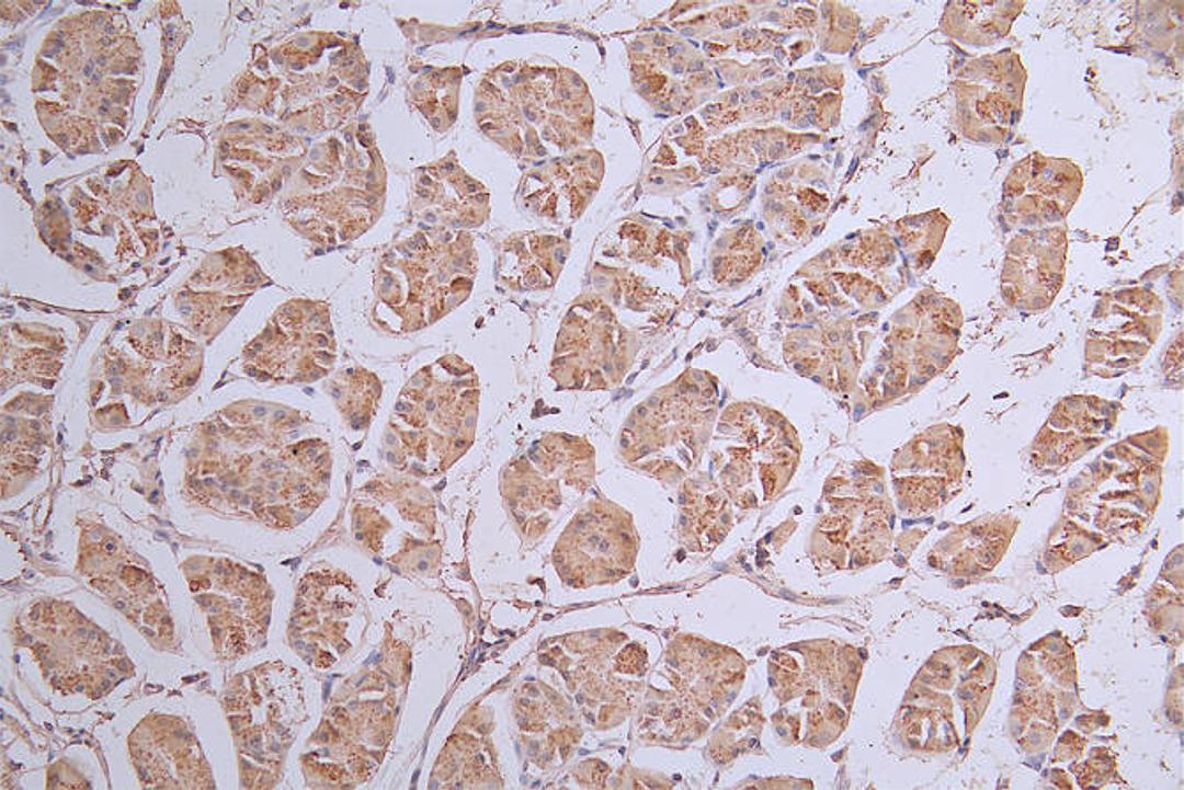
SIRPA Recombinant Monoclonal Antibody
Product Details
- Cat. No.
 - CSB-RA443117A0HU
 - Type
 - Primary Antibody
 - Clonality
 - Monoclonal
 
Biological Information
- Clonality: Monoclonal
 - Reactivity: Human
 - Antigen: A synthesized peptide derived from Human SIRPA
 - Clone: 3C3
 - Conjugate: Non-conjugated
 - Isotype: Rabbit IgG
 - Modifications: Non-modification
 - Source: Affinity-chromatography
 - Gene: P78324
 
Handling
- Quantity: 100ul
 - Storage: Upon receipt, store at -20°C or -80°C. Avoid repeated freeze.
 - Buffer: Rabbit IgG in phosphate buffered saline, pH 7.4, 150mM NaCl, 0.02% sodium azide and 50% glycerol.
 
Applications
- ELISA (ELISA)
 - Immunohistochemistry (IHC)
 - Flow Cytometry (FC)
 



