Product & ReviewsAntibodies
NPC1L1 Recombinant Monoclonal Antibody
Product Details
- Cat. No.
- CSB-RA921474A0HU
- Type
- Primary Antibody
- Clonality
- Monoclonal
Biological Information
- Clonality: Monoclonal
- Reactivity: Human
- Antigen: A synthesized peptide derived from human NPC1L1
- Clone: 4B10
- Conjugate: Non-conjugated
- Isotype: Rabbit IgG
- Modifications: Non-modification
- Source: Affinity-chromatography
- Gene: Q9UHC9
Handling
- Quantity: 100ul
- Storage: Upon receipt, store at -20°C or -80°C. Avoid repeated freeze.
- Buffer: Rabbit IgG in phosphate buffered saline, pH 7.4, 150mM NaCl, 0.02% sodium azide and 50% glycerol.
Applications
- ELISA (ELISA)
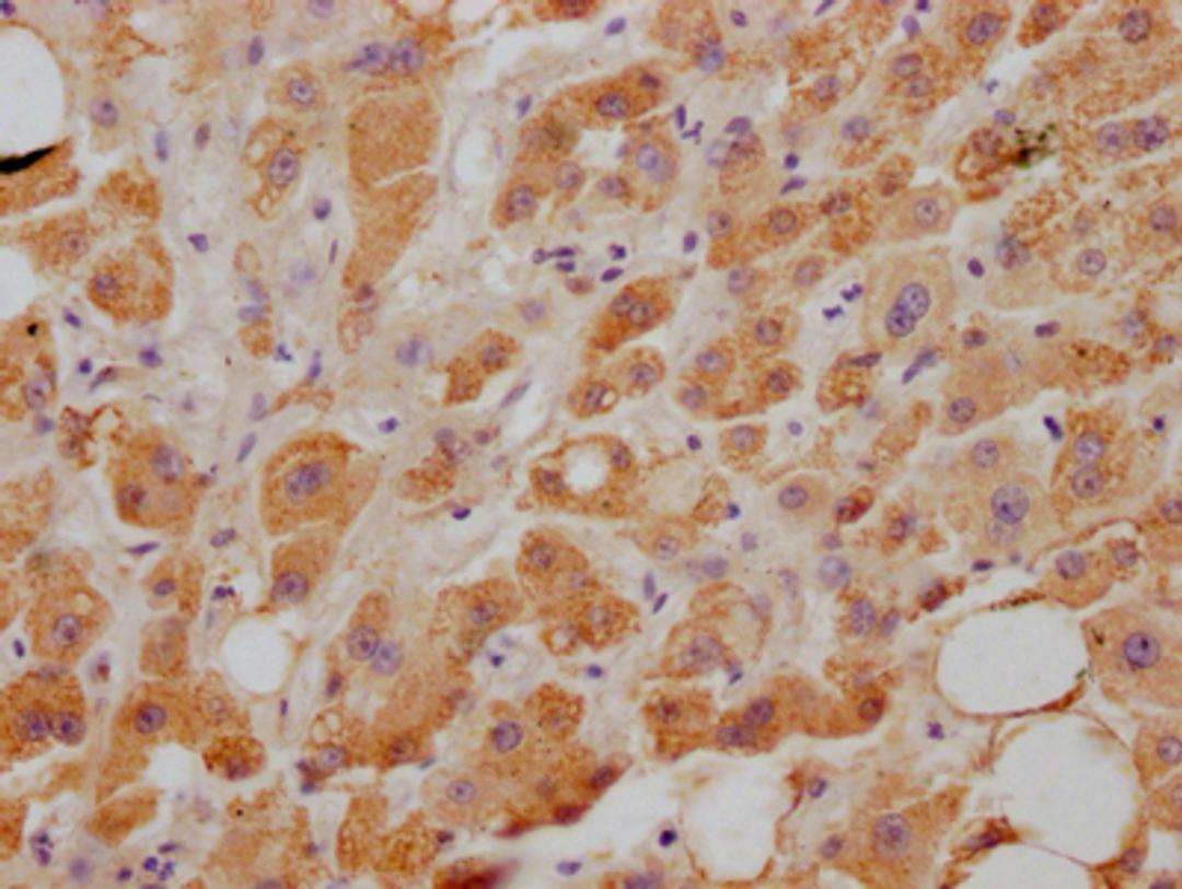
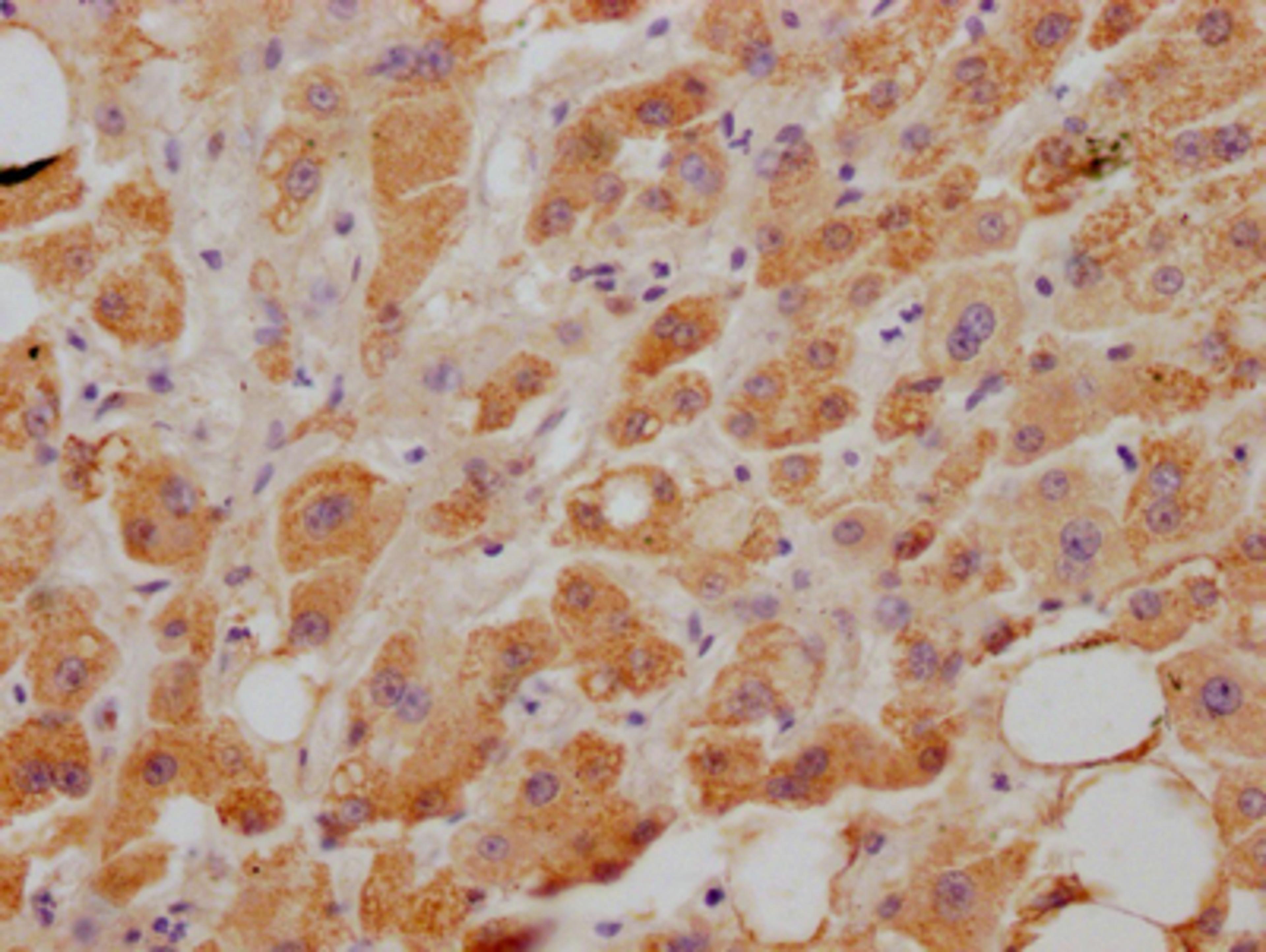
- Immunohistochemistry (IHC)



