Product & ReviewsAntibodies

ANPEP Recombinant Monoclonal Antibody

Product Details

Cat. No.
CSB-RA993633A0HU
Type
Primary Antibody
Clonality
Monoclonal
Buy Now
CUSABIO

Receive your quote directly from the manufacturer.

Biological Information

  • Clonality: Monoclonal
  • Reactivity: Human
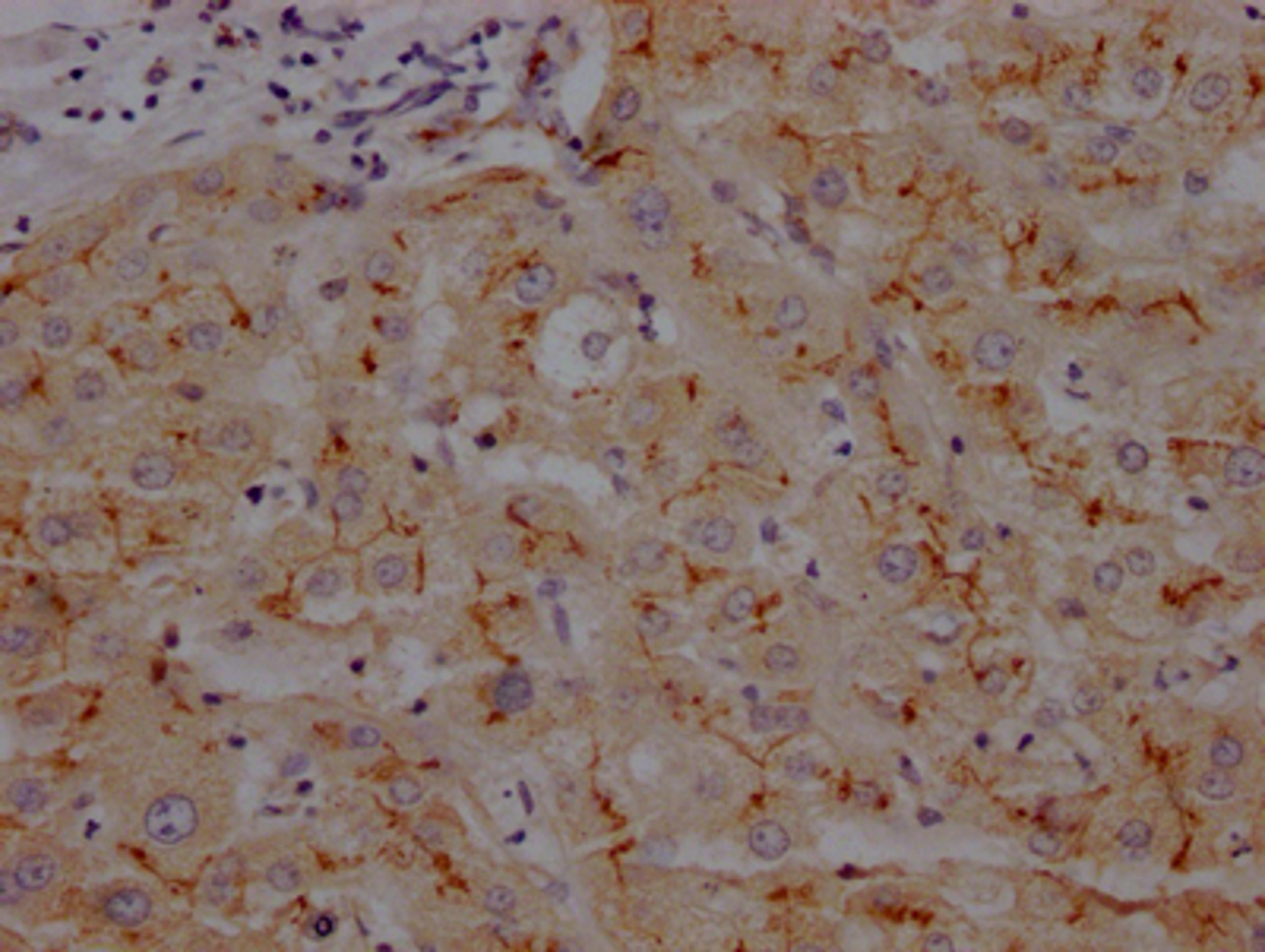
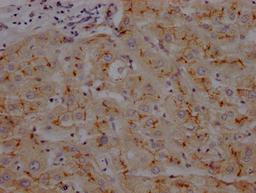
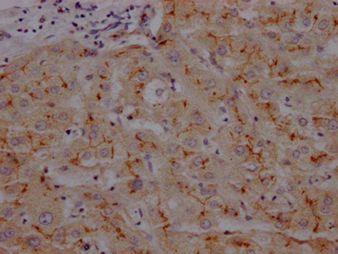
  • Antigen: A synthesized peptide derived from human CD13
  • Clone: 6E9
  • Conjugate: Non-conjugated
  • Isotype: Rabbit IgG
  • Modifications: Non-modification
  • Source: Affinity-chromatography
  • Gene: P15144

Handling

  • Quantity: 100ul
  • Storage: Upon receipt, store at -20°C or -80°C. Avoid repeated freeze.
  • Buffer: Rabbit IgG in phosphate buffered saline, pH 7.4, 150mM NaCl, 0.02% sodium azide and 50% glycerol.

Applications

  • ELISA (ELISA)
  • Immunohistochemistry (IHC)
Specificity rating
Sensitivity rating
Quality rating
Be the first to leave a review

Product Overview

Links