Product & ReviewsAntibodies
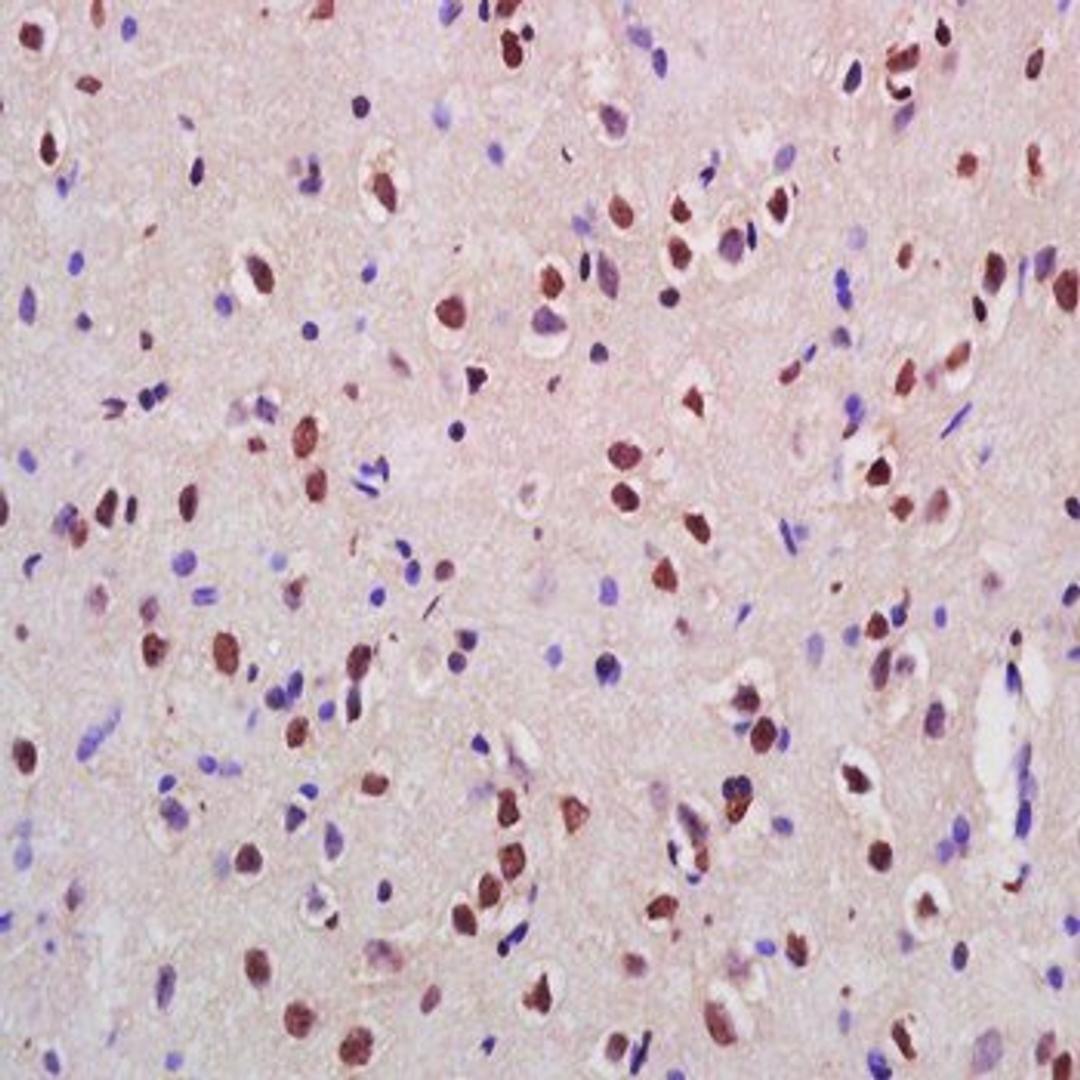
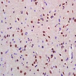
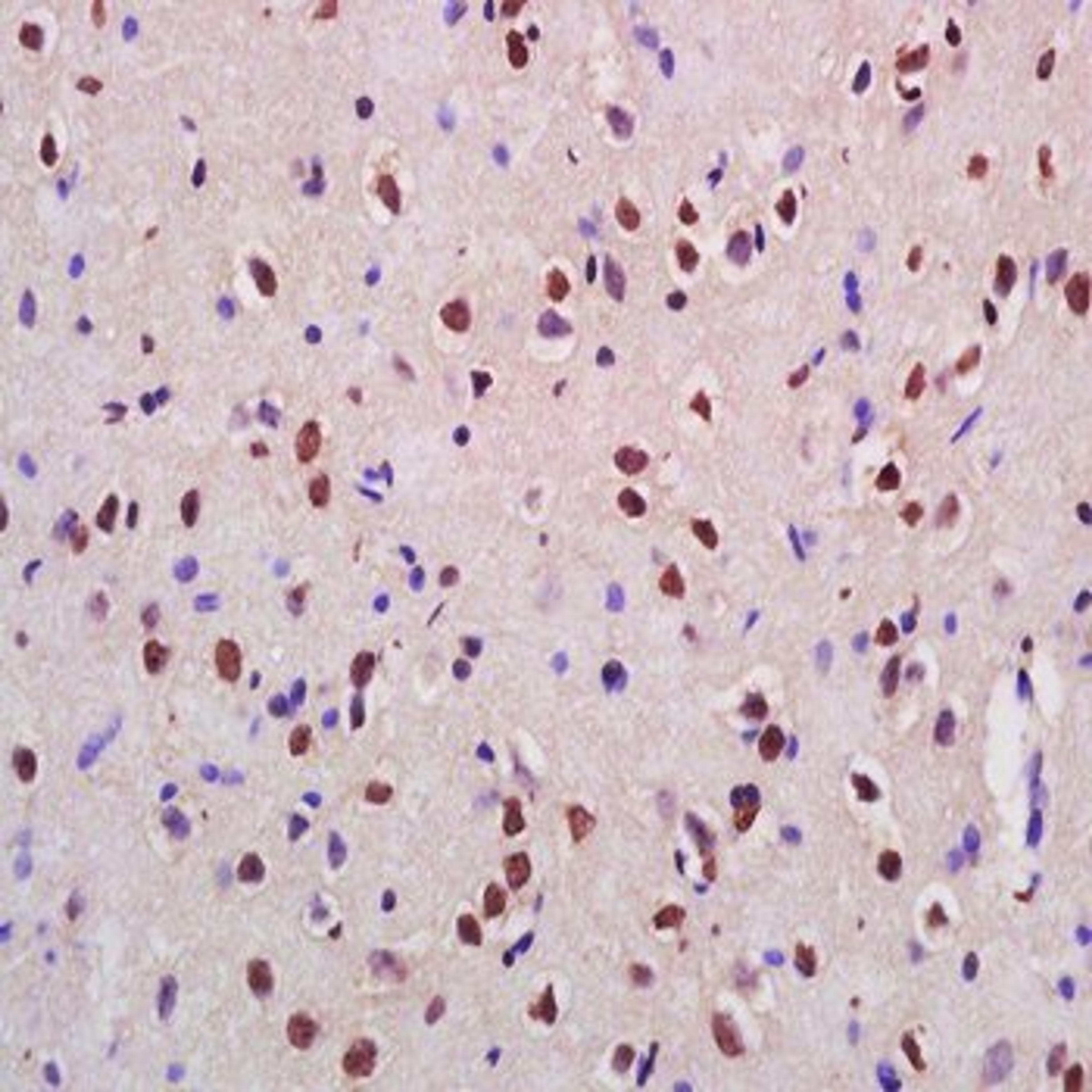
CSFV Envelope glycoprotein E2 antibody
Product Details
- Cat. No.
- orb156468
- Type
- Primary Antibody
- Clonality
- Polyclonal
- Host
- Rabbit

The supplier does not provide quotations for this antibody through SelectScience. You can search for similar antibodies in our Antibody Directory.
Description
Rabbit polyclonal antibody to CSFV Envelope glycoprotein E2.
Biological Information
- Clonality: Polyclonal
- Host: Rabbit
- Reactivity: Virus
- Isotype: IgG
- Gene: 120
Handling
- Quantity: 100 µg
- Storage: Store at 4°C for one month and at -20°C for a longer time. Avoid repeated freezing and thawing.
- Buffer: 0.01M TBS (pH7.4) 0.5% BSA 0.015% Proclin300 25% glycerol


