Product & ReviewsAntibodies
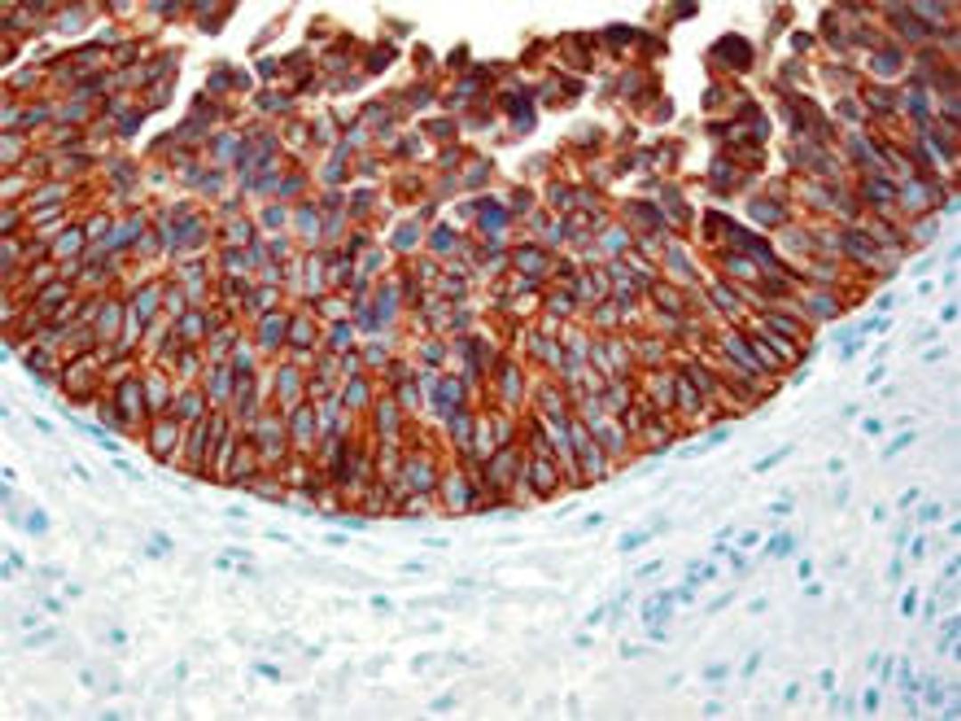
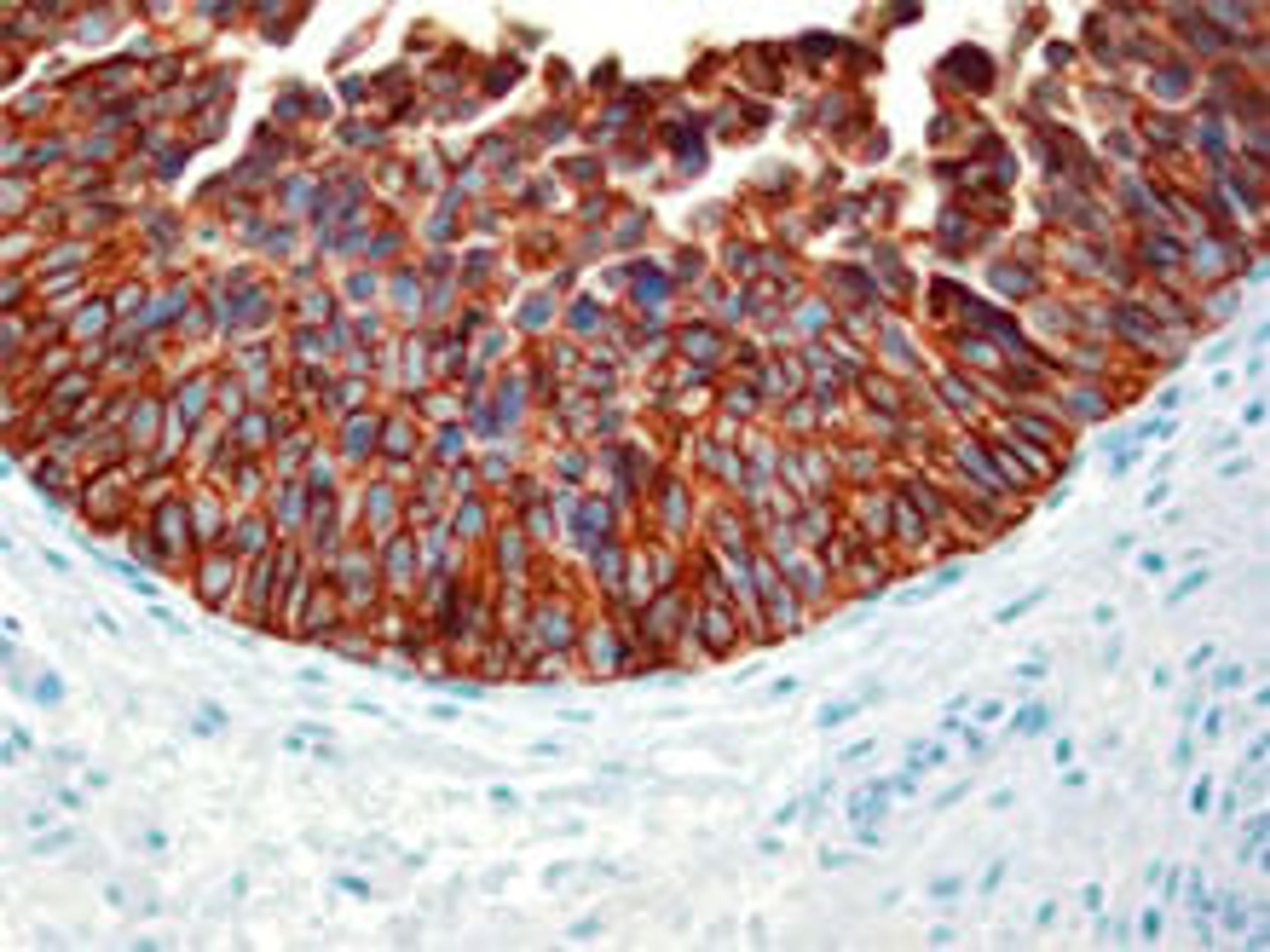
Cytokeratin (OSCAR) Monoclonal Antibody, Purified
Product Details
- Cat. No.
- 908201
- Type
- Primary Antibody
- Clonality
- Monoclonal
- Host
- Mouse

The supplier does not provide quotations for this antibody through SelectScience. You can search for similar antibodies in our Antibody Directory.
Description
Cytokeratin (OSCAR) Monoclonal Antibody, Purified; Clone: OSCAR; Reactivity: Human, Dog, Primate; Apps: IHC; Size: 1 ml
Biological Information
- Clonality: Monoclonal
- Host: Mouse
- Reactivity: Dog (Canine), Human, Primate
- Clone: OSCAR
- Conjugate: PURE
- Isotype: Mouse IgG2a
Handling
- Quantity: 1 ml
- Storage: 2°C-8°C
- Specificity: 5
Applications
- Immunohistochemistry (IHC)
Excellent.
Application Area:
Immunocytochemistry
Very good, excellent. Provides good color in my sections.
Review Date: 18 Jun 2019 | BioLegend


