Product & ReviewsAntibodies
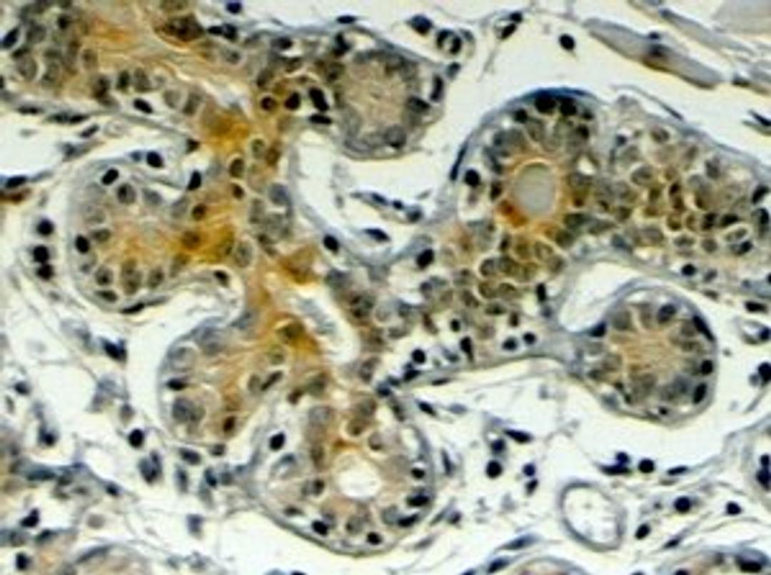
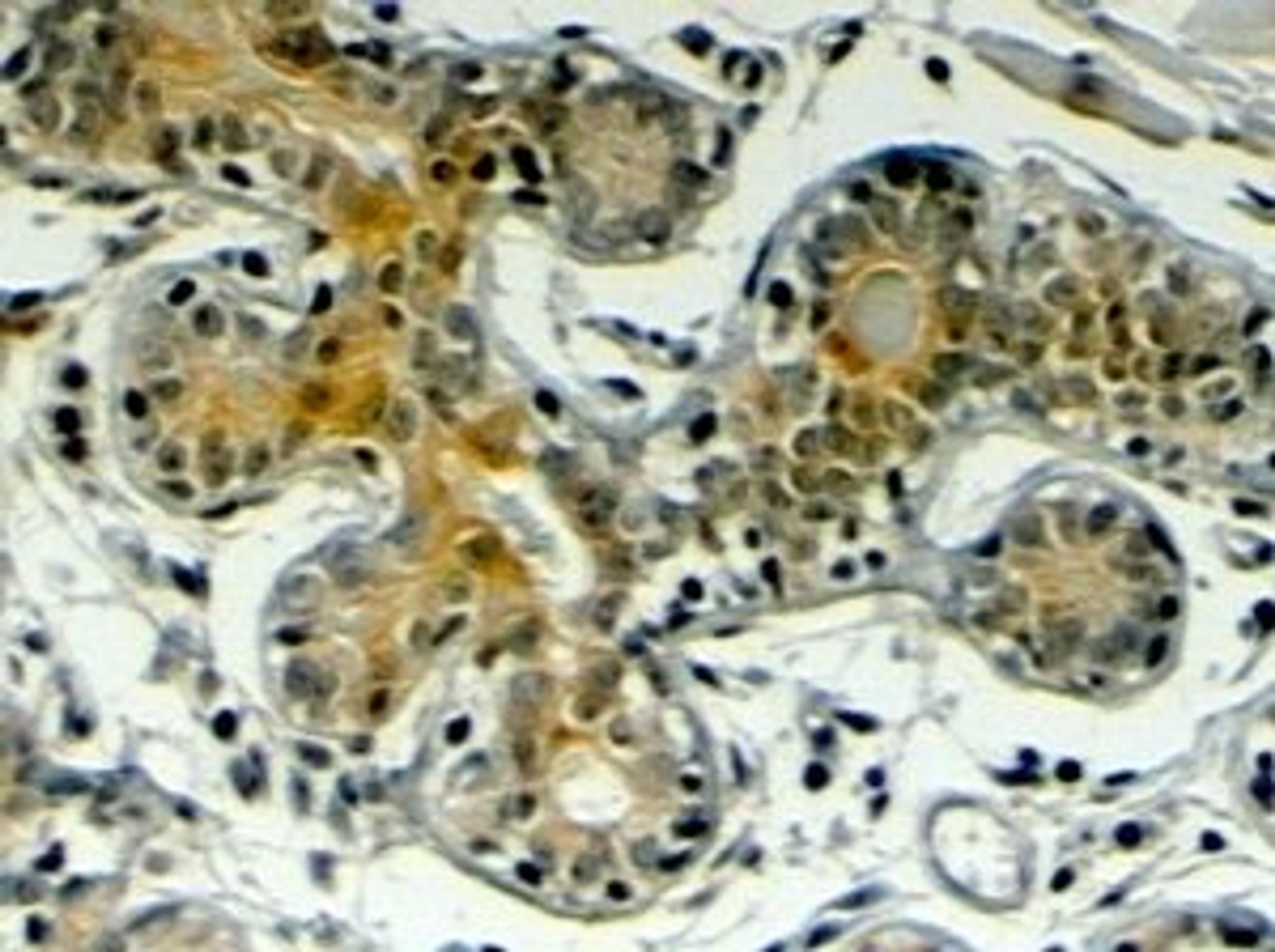
DENND2D antibody
Product Details
- Cat. No.
- orb1911
- Type
- Primary Antibody
- Clonality
- Polyclonal
- Host
- Rabbit

The supplier does not provide quotations for this antibody through SelectScience. You can search for similar antibodies in our Antibody Directory.
Description
Rabbit polyclonal antibody to DENND2D
Biological Information
- Clonality: Polyclonal
- Host: Rabbit
- Reactivity: Human, Mammalian, Mouse
- Isotype: IgG
Handling
- Quantity: 100 µl
- Storage: Store at 4°C for short term and at -20°C for long term. Avoid repeated freeze / thaw cycles
- Buffer: 1 TBS (pH7.4), 0.5%BSA, 40%Glycerol.
Applications
- ELISA (ELISA)
- Immunohistochemistry (Paraffin-Embedded Sections) (IHC (P))
- Western Blotting (WB)


