Product & ReviewsAntibodies
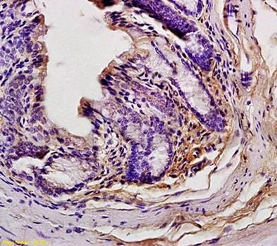
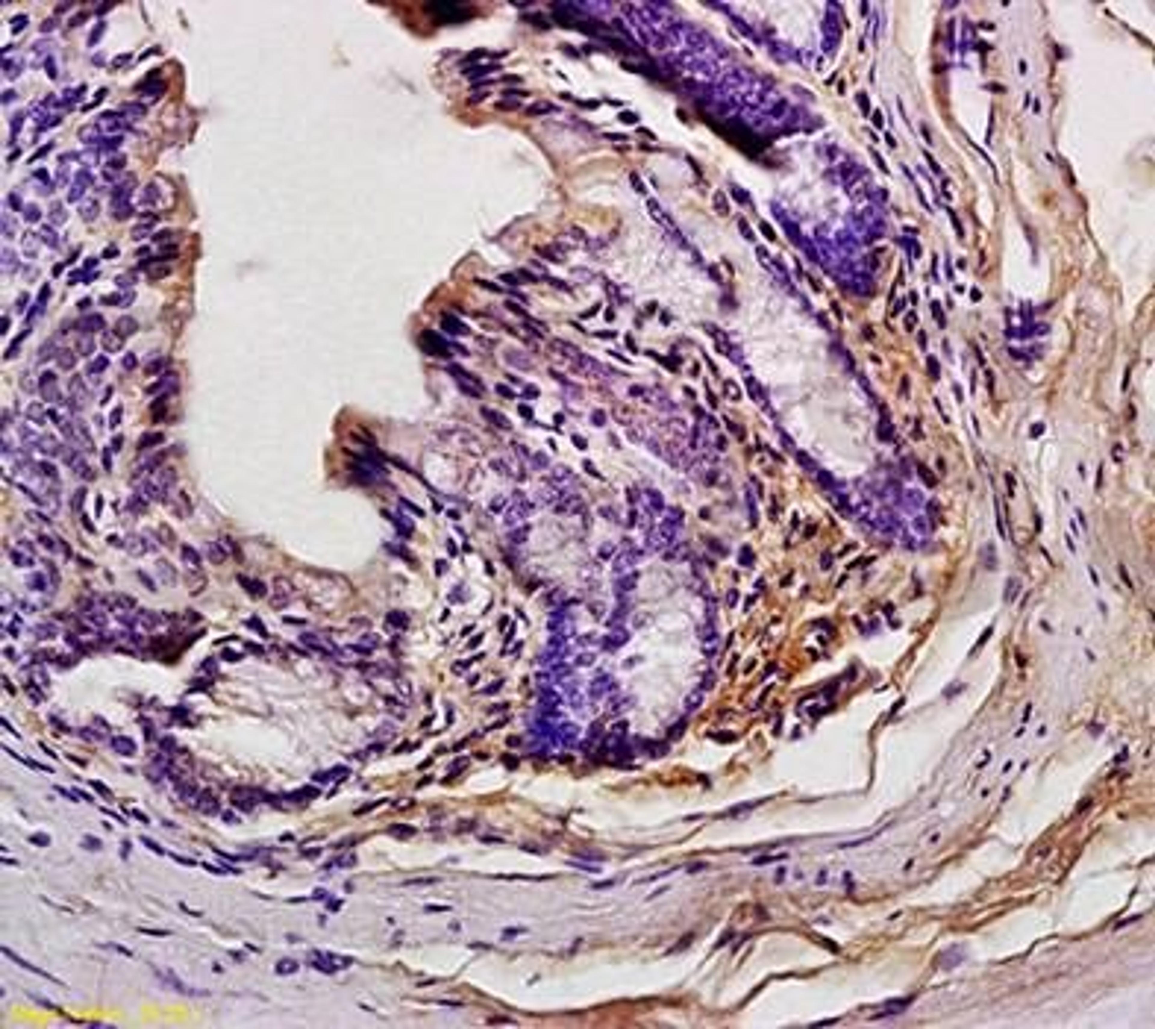
DMT1 antibody
Product Details
- Cat. No.
- orb5976
- Type
- Primary Antibody
- Clonality
- Polyclonal
- Host
- Rabbit

The supplier does not provide quotations for this antibody through SelectScience. You can search for similar antibodies in our Antibody Directory.
Description
Rabbit polyclonal to DMT1
Biological Information
- Clonality: Polyclonal
- Host: Rabbit
- Reactivity: Bovine, Human, Mammalian, Mouse
- Isotype: IgG
Handling
- Quantity: 100 µl
- Storage: Store at 4°C for up to two weeks. For long term storage, aliquot and store at -20°C, avoid freeze/thaw cycles.
- Buffer: 0.01% NaN3
Applications
- ELISA (ELISA)
- Immunofluorescence (Paraffin-Embedded Sections) (IF (P))
- Immunohistochemistry (Frozen Sections) (IHC (Fr))
- Immunohistochemistry (Paraffin-Embedded Sections) (IHC (P))
- Western Blotting (WB)


